Найти в Дзене

Почему образуется зубной налет и как эффективно его удалять?

Зубной налет – это липкая биопленка, которая образуется на зубах и деснах. Зубной налет содержит бактерии, которые питаются углеводами, поступающими с пищей. Без эффективного удаления зубного налета бактерии размножаются, увеличивая количество зубного налета, который постепенно затвердевает, образуя зубной камень. При этом кариесогенные бактерии зубного налета, потребляя углеводы, продуцируют кислоты, разрушающие зубную эмаль. Кроме этого некоторые бактерии зубного налета выделяют токсины, поражающие десны. Все это приводит к различным проблемам, включая: Вот почему важно ежедневно удалять налет с зубов и знать, как правильно это делать. Что вызывает образование налета на зубах и как его предотвратить? Зубная биопленка естественным образом образуется в полости рта, поэтому вы ничего не можете сделать, чтобы полностью избавиться от зубного налета или остановить его ежедневное образование. Однако, пища и напитки, которые вы употребляете, напрямую влияют на количество биопленки на ваших з
Оглавление

Зубной налет – это липкая биопленка, которая образуется на зубах и деснах. Зубной налет содержит бактерии, которые питаются углеводами, поступающими с пищей.

Без эффективного удаления зубного налета бактерии размножаются, увеличивая количество зубного налета, который постепенно затвердевает, образуя зубной камень. При этом кариесогенные бактерии зубного налета, потребляя углеводы, продуцируют кислоты, разрушающие зубную эмаль. Кроме этого некоторые бактерии зубного налета выделяют токсины, поражающие десны.

Все это приводит к различным проблемам, включая:

  • развитие кариеса;
  • изменение цвета зубов;
  • заболевания десен;
  • неприятный запах изо рта;
  • зубной камень;
  • потерю зубов.

Вот почему важно ежедневно удалять налет с зубов и знать, как правильно это делать.

Что вызывает образование налета на зубах и как его предотвратить?

Зубная биопленка естественным образом образуется в полости рта, поэтому вы ничего не можете сделать, чтобы полностью избавиться от зубного налета или остановить его ежедневное образование.

Однако, пища и напитки, которые вы употребляете, напрямую влияют на количество биопленки на ваших зубах. Бактерии зубного налета питаются углеводами (включая сахар) - возможно, вы замечали, что после употребления конфет, шоколада и других сахаросодержащих продуктов зубной налет образуется быстрее и в большем количестве.

Регулярное употребление алкоголя также нарушает баланс полезных бактерий в полости рта, способствуя образованию зубного налета.

Сокращение потребления этих продуктов или, по крайней мере, ограничение потреблением их во время еды, а не во время перекусов в течение дня, поможет свести к минимуму образование зубного налета. Было доказано, что некоторые продукты помогают уменьшить образование налета на зубах и способствуют улучшению здоровья десен, но они не заменяют чистку зубов щеткой и использование зубной нити или межзубных ершиков.

Еще одним средством, которое может помочь, являются пробиотики для полости рта. Они помогают бороться с патогенными бактериями в полости рта, которые могут содержаться в зубном налете.

Беременные женщины более склонны к образованию налета на зубах из-за гормональных изменений, поэтому важно уделять повышенное внимание гигиене полости рта во время беременности, чтобы скопление налета на зубах не превратилось в зубной камень.

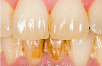
Как выглядит зубной налет?

Налет на зубах трудно заметить, потому что он почти бесцветный, иногда бледно-желтый. Скорее всего, вы почувствуете его, проведя языком по зубам или поскоблив зуб ногтем. Если вы только что поели или давно не чистили зубы, то, скорее всего, вы сможете почувствовать на зубах шероховатые участки. Это зубной налет.

Если вы хотите увидеть, где именно на ваших зубах образовался налет, воспользуйтесь средством для индикации зубного налета. Оно окрашивает зубную биопленку и показывает, где вам нужно сосредоточить свои усилия при чистке зубов.

Зубной налет и зубной камень

В чем разница между зубным налетом и зубным камнем?

Если вы не удаляете зубной налет с зубов должным образом, он начинает затвердевать. Всего за несколько часов он может стать твердым, что затрудняет его удаление. Но через несколько дней он впитывает минералы из слюны и образует твердое вещество, называемое зубным камнем. Зубной камень часто образуется в промежутках между зубами, вдоль линии десен и под десной.

Со временем зубной камень разрастается, уплотняется и темнеет. Он может травмировать десны и в конечном итоге привести к заболеванию десен.

Зубной камень крепко держится на зубах, и его очень трудно удалить самостоятельно. Если вы заметили на зубах белый, желтый, коричневый или черный зубной камень - твердое вещество, которое не удаляется обычной щеткой или зубной нитью, - вам необходимо посетить стоматолога для профессиональной чистки зубов.

Как удалить налет с зубов?

Лучший способ ежедневного удаления налета на зубах - это тщательная чистка зубов и использование зубной нити. Но при этом необходимо соблюдать правильную технику чистки зубов. Вам также необходимо уделять достаточное количество времени для эффективной чистки зубов утром и вечером.

-2

Некоторые люди считают, что электрическая зубная щетка обеспечивает более эффективное удаление зубного налета, чем ручная. Однако одна лишь чистка зубов щеткой неэффективна для удаления налета между зубами, поэтому важно ежедневно пользоваться зубной нитью.

Вот несколько основных шагов для тщательного удаления зубного налета до того, как он превратится в зубной камень:

  • Чистите зубы дважды в день – утром и перед сном – в течение как минимум двух минут.
  • Используйте зубную щетку с мягкой щетиной и избегайте слишком сильного нажима.
  • Наклоняйте щетку под углом 45 градусов к зубу, чтобы достать ниже линии десны.
  • При использовании мануальной зубной щетки чистите зубы выметающими движениями от десны к краю зуба.
  • Сосредоточьтесь на чистке всех поверхностей каждого зуба.
  • Используйте зубную нить для очищения межзубных промежутков до или после чистки зубов.
Зубную биопленку нельзя удалить простым полосканием водой, хотя полоскание после еды может помочь смыть некоторые остатки пищи, сахаров и кислот. Вы также можете использовать фторсодержащий ополаскиватель для рта или жевать жевательную резинку без сахара, чтобы поддерживать чистоту зубов между чистками.
Профессиональная гигиена полости рта
Профессиональная гигиена полости рта
Лучший способ избавиться от налета и зубного камня - это профессиональная чистка зубов. Чистку следует проводить не реже одного раза в шесть месяцев, чтобы предотвратить чрезмерное образование зубного налета. Однако в зависимости от вашего анамнеза и предрасположенности к заболеваниям чистка может потребоваться чаще. Скопление зубного налета может привести к нездоровому состоянию десен и кариесу. Обычная чистка зубов занимает всего 30 минут и включает в себя снятие налета и полировку.

Какие зубные пасты лучше всего удаляют налет на зубах?

Эффективное удаление налета с зубов в большей степени зависит от режима и техники чистки зубов, чем от того, какая у вас зубная щетка или паста. Если вы правильно чистите зубы и используете зубную нить для очищения межзубных промежутков, этого должно быть достаточно, чтобы зубной налет не появлялся, независимо от того, какой зубной пастой вы пользуетесь.

Однако, существуют определенные ингредиенты зубной пасты, которые могут помочь:

Пищевая сода (бикарбонат натрия): Щелочность пищевой соды помогает сбалансировать кислотность зубной биопленки. Ее абразивность также может помочь более эффективно удалить налет с зубов.

Пирофосфат натрия: Регулярное использование зубной пасты, содержащей этот ингредиент, может препятствовать образованию зубного налета.

Триклозан: Этот антибактериальный агент борется с бактериями, живущими в зубном налете.

Цитрат цинка: Доказано, что этот ингредиент снижает жизнеспособность бактерий зубного налета в течение 12 часов после чистки зубов.

Ополаскиватели для полости рта

Ополаскиватели для рта могут содержать определенные ингредиенты, которые помогают уменьшить количество бактерий и защитить зубы от образования налета, в частности фторид и цетилпиридиния хлорид. Однако само по себе использование ополаскивателя для рта не является эффективным способом удаления налета на зубах или предотвращения его образования, и оно, конечно, не должно заменять чистку зубов щеткой и зубной нитью.

Как удалить зубной камень?
Зубной камень может удалить только стоматолог-гигиенист. В ходе профессиональной чистки зубов используются специальные инструменты для удаления зубного камня.

#медицина #здоровье #стоматология #зубнойналет #здоровьезубов