Найти в Дзене
Нечай.про

В мире несколько десятков миллионов людей-киборгов

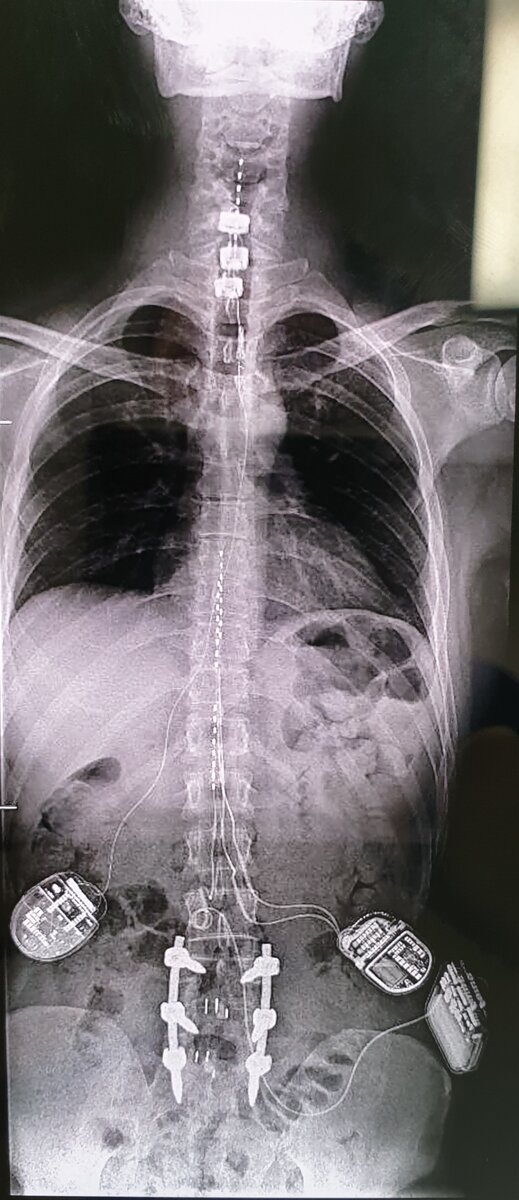
Музыка для чтения подойдет - вот эта. Нет, я не пересмотрел научной фантастики. И этот заголовок не для красного словца. Дословно "киборг" переводится как кибернетический организм. Или, другими словами, это организм, соединяющий в себе механические и биологические начала. В мире более 8 миллионов людей с имплантированным кардиостимулятором, еще у нескольких миллионов инсулиновые помпы, центральные и периферические нейростимуляторы. В соответствии с определением, все они киборги. О последних сегодня и поговорим. А помогут нам в этом Анна Гофман - старший лаборант НИИ Клинической хирургии и пациент, который был у меня на приеме на последнем дежурстве. Вот его рентген: Видите эти схемы с проводами, идущими к позвоночнику? Это нейростимуляторы, которые передают электрический импульс на нейроны. Нейроны – возбудимые клетки, которые обладают способностью генерировать электрический импульс. Эдакие микробатарейки, которых только в головном мозге более 80 миллиардов. Созданный нейронами импу

Музыка для чтения подойдет - вот эта.

Нет, я не пересмотрел научной фантастики. И этот заголовок не для красного словца. Дословно "киборг" переводится как кибернетический организм. Или, другими словами, это организм, соединяющий в себе механические и биологические начала.

В мире более 8 миллионов людей с имплантированным кардиостимулятором, еще у нескольких миллионов инсулиновые помпы, центральные и периферические нейростимуляторы. В соответствии с определением, все они киборги. О последних сегодня и поговорим. А помогут нам в этом Анна Гофман - старший лаборант НИИ Клинической хирургии и пациент, который был у меня на приеме на последнем дежурстве. Вот его рентген:

Рентген пациента N, - киборга.
Рентген пациента N, - киборга.

Видите эти схемы с проводами, идущими к позвоночнику? Это нейростимуляторы, которые передают электрический импульс на нейроны.

Нейроны – возбудимые клетки, которые обладают способностью генерировать электрический импульс. Эдакие микробатарейки, которых только в головном мозге более 80 миллиардов. Созданный нейронами импульс, как ток по кабелям, проводится по нервным окончаниям и достигает нужной мишени, которая в свою очередь на воздействие данного импульса даёт определенный ответ. Нейроны связаны между собой длинными отростками - аксонами - по которым ток идет от нейрона и дендритами, по которым он идет к нейрону. В зависимости от мишени ответ на стимуляцию будет отличаться. Например, если это мышца —> будет сокращение, если клетки желудка —> секреция желудочного сока, если болевой нейрон —> боль. Иногда возникают «сбои» в работе нейронов и они становятся гипервозбудимыми. Это приводит, например, к хроническому болевому синдрому. Либо, наоборот, в результате какого-либо заболевания, травмы или операции на позвоночнике повреждаются нейроны, составляющие спиной мозг что приводит к снижению или полному прекращению проведению импульса. На этом фоне возникают нарушения стимуляции скелетных мышц (паралич и человек не может ходить или вовсе двигаться) и / или мышц тазовых органов.

Нейростимуляция – процесс передачи электрического тока по электродам на нейроны, в ходе которого происходит модуляция импульса: либо происходит его генерация, либо блокировка.

Основными показаниями к нейростимуляции спинного мозга являются лечение хронического болевого синдрома, нарушение работы тазовых органов (например, проблемы с мочеиспусканием на фоне поражения крестцового отдела спинного мозга) и стимуляция / блокировка зон в головном мозге.

-2

Нейростимулятор представляет собой изолированное устройство, похожее на кардиостимулятор, состоящее из батареи и управляющей электроники. Он воспринимает с неповрежденного участка и направляет в обход поврежденного электрические импульсы, необходимые для односторонней или двусторонней стимуляции. Эти импульсы проводятся по электродам в спинной мозг.

-3

Электроды, отходящие от блока нейростимулятора, представляют собой тонкие изолированные провода с несколькими контактами на кончике.

-4

Электрод имплантируется в эпидуральное пространство, чтобы проводить туда электрический ток для осуществления нейростимуляции. Сама процедура установки нейростимулятора происходит под рентгенологическим контролем. Выглядит это так

-5

Пациент, чей рентген на заглавной фотографии - военный журналист. Вы его знаете, это довольно одиозная фигура. Он на протяжении 8 лет после травмы может передвигаться и контролировать тазовые органы благодаря нейростимуляторам. В верхней части спинного мозга происходит регистрация импульса, который передается в нижнюю, минуя поврежденный участок. Железный человек. Во всех смыслах.

#киборги #киборгизация #нейростимуляция #нейрохирургия #хроническаяболь #больвспине