Найти в Дзене

Виниры или коронки?

Кто-то до сих пор думает, что коронки – это эхо 90-х годов, они золотые и блестящие, ну или, по крайней мере, сильно отличающиеся от «родных» зубов.
Мы ходим экспериментально доказать вам, что в руках настоящего мастера и коронки, и виниры могут быть красивыми, естественными и визуально неотличимыми друг от друга. Попробуйте угадать, какие зубы на фото восстановлены винирами, а какие – коронками? Правильный ответ: ⬇️ ⬇️ ⬇️ ⬇️ ⬇️ Хотите себе такую же идеальную улыбку? Приглашаем в гости в Belgravia Dental Studio. И гарантируем: о том, что у вас стоят виниры или коронки, будете знать только вы и ваш доктор! Автор реставрации - стоматолог-ортопед Максим Платонов. www.belgraviadent.ru Запись на прием: +7 495 106-81-81 Наши клиники: ул. Молодогвардейская, д. 2 к. 1 Проспект Мира, д. 36 стр. 1 Ленинградское шоссе, д. 92а ул. Гарибальди, д. 15 ул. Ефремова, 10 стр. 1 к. 4/5

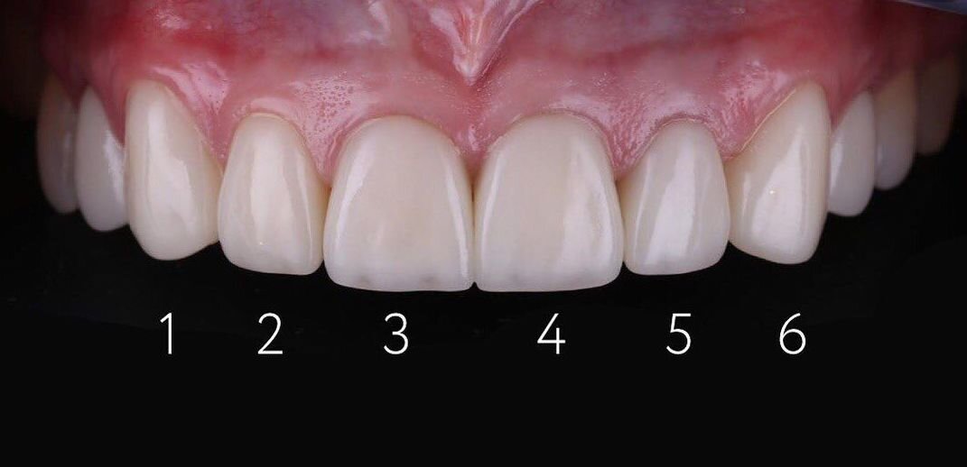
Кто-то до сих пор думает, что коронки – это эхо 90-х годов, они золотые и блестящие, ну или, по крайней мере, сильно отличающиеся от «родных» зубов.

Мы ходим экспериментально доказать вам, что в руках настоящего мастера и коронки, и виниры могут быть красивыми, естественными и визуально неотличимыми друг от друга. Попробуйте угадать, какие зубы на фото восстановлены винирами, а какие – коронками?

Правильный ответ:

⬇️

⬇️

⬇️

⬇️

⬇️

-2

Хотите себе такую же идеальную улыбку? Приглашаем в гости в Belgravia Dental Studio. И гарантируем: о том, что у вас стоят виниры или коронки, будете знать только вы и ваш доктор!

Автор реставрации - стоматолог-ортопед Максим Платонов.

www.belgraviadent.ru

Запись на прием: +7 495 106-81-81

Наши клиники:

ул. Молодогвардейская, д. 2 к. 1

Проспект Мира, д. 36 стр. 1

Ленинградское шоссе, д. 92а

ул. Гарибальди, д. 15

ул. Ефремова, 10 стр. 1 к. 4/5