Найти в Дзене

Опасные пломбы. Как распознать бомбу замедленного действия у себя во рту?

От того, насколько пломба качественная и адекватная по размеру, зависят сроки жизни вашего зуба и даже здоровье рта в целом. Как выглядит нормальная пломба? Нормальную пломбу невозможно обнаружить ни глазом, ни на ощупь. Это анатомически точная реставрация из современного фотополимера. Врач с ювелирной въедливостью восстанавливает фиссуры и бугорки, добиваясь идеального смыкания зуба с его антагонистом на противоположной челюсти. Что такое «пломбы-залипухи»? Когда пломба выглядит как плоская лепешка, без намеков на какую-либо анатомичность, это значит, что она уже основательно просела и не дает должного смыкания со стенками зуба. Под такой пломбой рано или поздно появится вторичный кариес. Если не принять меры, придется попрощаться с нервами (зубными и немножко со своими собственными). Помимо непосредственного риска для самого зуба, с пломбой-лепешкой медленно, но верно начнутся изменения прикуса, не исключены трещины и даже сколы. Другая разновидность опасных пломб 一 пломба-гигант
Оглавление

От того, насколько пломба качественная и адекватная по размеру, зависят сроки жизни вашего зуба и даже здоровье рта в целом.

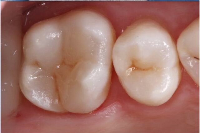
Как выглядит нормальная пломба?

Нормальную пломбу невозможно обнаружить ни глазом, ни на ощупь. Это анатомически точная реставрация из современного фотополимера. Врач с ювелирной въедливостью восстанавливает фиссуры и бугорки, добиваясь идеального смыкания зуба с его антагонистом на противоположной челюсти.

Пример анатомически правильной реставрации зуба
Пример анатомически правильной реставрации зуба

Что такое «пломбы-залипухи»?

Когда пломба выглядит как плоская лепешка, без намеков на какую-либо анатомичность, это значит, что она уже основательно просела и не дает должного смыкания со стенками зуба. Под такой пломбой рано или поздно появится вторичный кариес. Если не принять меры, придется попрощаться с нервами (зубными и немножко со своими собственными).

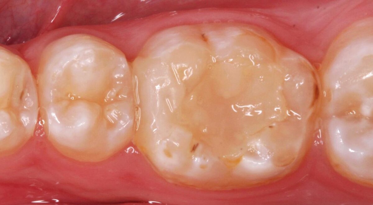
Пример старой большой просевшей пломбы
Пример старой большой просевшей пломбы

Помимо непосредственного риска для самого зуба, с пломбой-лепешкой медленно, но верно начнутся изменения прикуса, не исключены трещины и даже сколы.

Другая разновидность опасных пломб 一 пломба-гигант. Восстанавливать зуб фотополимером допустимо, если он разрушен менее, чем на 50%. Если более половины родных тканей зуба в труху, то в ход идет керамические вкладки или коронки.

Если кариозная полость огромная, то очевидно, родных стенок осталось мало: они не выдержат ни веса самой пломбы, ни жевательной нагрузки, которая на них ляжет. Врач должен оценить масштаб катастрофы и вынести вердикт: пломба, вкладка или коронка. Если от зуба остался шиш, а в него заливают пломбировочный материал, это значит только одно: скоро пациент придет на имплантацию. Нормальное же, адекватное решение врача направлено на то, чтобы зуб стоял как можно дольше.

Фото до - старые пломбы, фото после - новые анатомические реставрации
Фото до - старые пломбы, фото после - новые анатомические реставрации

В общем все, кто не хочет допустить фатального конца для  своего зуба, следите за пломбами.

Если стоматолог говорит, что ваша пломба уже не пломба, а залипуха, ее надо менять, значит надо менять.

Если стоматолог говорит, что пломба 一 это уже не ваш вариант, нужна вкладка, значит нужна вкладка.

У вас есть опасные пломбы? Моргните, пожалуйста. Или просто напишите в комментариях.