Добавить в корзинуПозвонить
Найти в Дзене

Покажет ли МРТ микронсульт и инсульт?

Инсульт — жизнеугрожающее патологическое состояние, характеризующееся острой ишемией мозговых тканей. Если недостаток кислорода привел к незначительным изменениям в ЦНС и разрешился самостоятельно, заболевание называют микроинсультом. При появлении первых признаков острой ишемии головного мозга следует незамедлительно обратиться за врачебной помощью. Врач для определения типа патологии и выбора тактики лечения может назначить магнитно-резонансную томографию. Результаты визуализации помогут уточнить локализацию участков некроза и тяжесть состояния пациента. МРТ играет важную роль в оценки эффективности назначенного лечения. Содержание: 1. Особенности заболевания 1.1 Виды инсульта 1.2 Отличие инсульта от микроинсульта 2. Как диагностируют инсульт и микроинсульт 2.1 Роль магнитно-резонансной томографии 3. Как проводят МРТ при инсульте и микроинсульте 3. Инсульт и микроинсульт на МРТ 4. Какое МРТ требуется 5. МРТ после инсульта Клинический Институт Мозга — негосударственное медицинское уч
Оглавление
Видно ли инсульт на МРТ?
Видно ли инсульт на МРТ?

Инсульт — жизнеугрожающее патологическое состояние, характеризующееся острой ишемией мозговых тканей. Если недостаток кислорода привел к незначительным изменениям в ЦНС и разрешился самостоятельно, заболевание называют микроинсультом. При появлении первых признаков острой ишемии головного мозга следует незамедлительно обратиться за врачебной помощью. Врач для определения типа патологии и выбора тактики лечения может назначить магнитно-резонансную томографию. Результаты визуализации помогут уточнить локализацию участков некроза и тяжесть состояния пациента. МРТ играет важную роль в оценки эффективности назначенного лечения.

Содержание:

1. Особенности заболевания

1.1 Виды инсульта

1.2 Отличие инсульта от микроинсульта

2. Как диагностируют инсульт и микроинсульт

2.1 Роль магнитно-резонансной томографии

3. Как проводят МРТ при инсульте и микроинсульте

3. Инсульт и микроинсульт на МРТ

4. Какое МРТ требуется

5. МРТ после инсульта

Клинический Институт Мозга — негосударственное медицинское учреждение, специализирующееся на обследовании и реабилитации пациентов с заболеваниями центральной нервной системы. У нас работают опытные неврологи, физиотерапевты, реабилитологи и врачи другого профиля. Предлагаем пройти диагностику с последующим составлением индивидуального плана восстановительного лечения. Мы используем физиотерапию, медикаментозную терапию, ЛФК и другие методики. Делаем все возможное, чтобы повысить качество и продолжительность жизни человека.

Особенности заболевания

В медицинской практике инсультом называют только острое и выраженное нарушение кровообращения в головном мозге, сопровождающееся кислородным голоданием и повреждением нейронов. В зависимости от вида болезни нарушается прохождение крови через артерию или происходит кровоизлияние. Формируются очаги некроза. При этом пациент утрачивает функции центральной нервной системы, связанные с разрушенным участком органа. К распространенным последствиям инсульта относят паралич, снижение слуховой чувствительности, нарушение когнитивной деятельности. Эта болезнь часто приводит к ивалидизации и смерти.

Острое нарушение мозгового кровообращения может наступить в любом возрасте, одна чаще всего приступ возникает у мужчин и женщин старше 50 лет. Факторы риска заболевания включают ожирение, малоподвижный образ жизни, табакокурение, нарушение работы сердца и атеросклероз. Инсульт развивается стремительно, поэтому подготовиться к нему невозможно. Следует вовремя распознать характерные проявления болезни и обратиться за врачебной помощью. Лечение должно быть проведено в первые часы с момента возникновения приступа.

Виды инсульта

Согласно основной классификации, выделяют следующие разновидности острого нарушения мозгового кровообращения:

  • Ишемическое. Гипоксия в мозговой ткани развивается на фоне частичного или полного прекращения поступления крови. Причиной инфаркта головного мозга может быть оторвавшаяся атеросклеротическая бляшка, мигрирующий по сосудам тромб, объемное образование или спонтанное сужение артериального просвета. Это наиболее распространенный тип инсульта, который диагностируют преимущественно у пожилых людей.
  • Геморрагическое. При внутримозговом кровоизлиянии происходит формирование гематомы. Объемное образование сдавливает и разрушает окружающие клетки. Также при этом ухудшается кислородное питание нейронов. Это менее распространенная и более летальная форма инсульта. Ее диагностируют у людей старше 45 лет. Основная причина внутримозгового кровоизлияния — аневризма. Врожденные и приобретенные аномалии сосудов повышают риск возникновения патологии.

Определить тип инсульта только по симптомам затруднительно. В большинстве случаев невролог наблюдает нарушение или потерю сознания, сильную головную боль, нарушение движений, искажение мимики и другие характерные признаки. Точной методикой определения формы ОНМК считается визуальная диагностика. Ее обычно проводят с помощью компьютерной или магнитно-резонансной томографии.

Отличие инсульта от микроинсульта

В медицинской литературе практически не используется термин «микроинсульт». Обычно так условно называют транзиторную ишемическую атаку (ТИА). По механизму развития она напоминает полноценный инсульт, однако ключевым отличием является самостоятельное разрешение патологического состояния в течение 24 часов с момента возникновения. Существующие коллатерали постепенно компенсируют недостаточное кровоснабжение головного мозга. Тяжелые осложнения при ТИА встречаются редко. Зачастую даже отсутствуют выраженные симптомы, заставляющие пациента обратиться к врачу. Во многих случаях микроинсульт диагностируют по результатам визуализации через какое-то время после приступа.

Как диагностируют инсульт и микроинсульт

Распознать острое нарушение мозгового кровообращения на ранних стадиях можно по характерным признакам. У пострадавших часто выявляют нарушение речи, парез и искривление мимической мускулатуры. Можно попробовать поговорить с пациентом, попросить его улыбнуться и поднять руки вверх. При обнаружении симптомов ОНМК важно как можно быстрее вызвать скорую помощь. Медики проводят первичную диагностику, оценивают тяжесть состояния больного и госпитализируют его в профильный стационар. Неврологу для уточнения типа патологии нужны результаты специальных исследований.

Основные методы диагностики инсульта:

  • компьютерная или магнитно-резонансная томография;
  • ангиография;
  • УЗДГ экстракраниальных сосудов.

В рамках экстренного обследования врач выбирает доступный и быстрый способ поставки диагноза, чтобы быстро провести лечение. В качестве визуализации обычно используют компьютерную томографию. Другие методы инструментальной диагностики играют важную роль в обнаружении осложнений болезни и последующей реабилитации.

Роль магнитно-резонансной томографии

МРТ — наиболее информативная методика визуализации головного мозга. Сканирование позволяет получить объемную модель всех структур органа и его кровеносных сосудов. По результатам магнитно-резонансной томографии можно обнаружить даже незначительные патологические изменения и назначить эффективную схему лечения. В отличие от КТ и рентгенографии, для получения изображений с помощью МРТ не требуется ионизирующее воздействие. Специфика работы такого томографа делает исследование более безопасным. Единственный минус — длительность сканирования. Если для КТ достаточно около 15 минут, то для выполнения МРТ потребуется не меньше 25 минут.

Магнитно-резонансная томография отлично подходит для выявления даже небольших очагов некроза. Полученные изображения помогут неврологу оценить состояние головного мозга, точно определить тип инсульта и обнаружить его негативные последствия. Из-за отсутствия радиации проводить сканирование можно с минимальным интервалом, что важно в ходе лечения и реабилитации. Специалисты рекомендуют проходить такое обследование не реже одного раза в год после лечения ОНМК.

Как проводят МРТ при инсульте и микроинсульте

Специальная подготовка не требуется. Для предотвращения осложнений нужно исключить наличие металлических и ферромагнитных материалов в теле, поскольку томограф спровоцирует из нагревание и смещение. Некоторые кардиостимуляторы и другие электронные устройства несовместимы с такой процедурой, поэтому важно сообщить врачу о них. Пациенту следует убрать лишние предметы, лечь на стол томографа и не двигаться. Контрастное вещество при необходимости вводят непосредственно перед сканированием или после получения первых изображений. Диагностика занимает 25-50 минут и не сопровождается неприятными ощущениями. После визуализации рентгенолог готовит заключение для невролога.

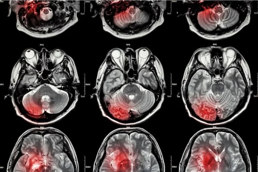
Инсульт и микроинсульт на МРТ

Специалисты выделяют следующие МР-признаки таких патологий:

  • снижение скоростных и объемных показателей церебрального кровотока;
  • отечность коры больших полушарий и снижение сигнала;
  • трудно дифференцировать серое и белое вещество;
  • выявление кальцифицированных эмболов;
  • обнаружение объемных образований (гематома);
  • определение продуктов распада крови;
  • гиперинтенсивный сигнал.
Неврологи знакомы с МР-характеристиками разных форм и стадий острого нарушения мозгового кровообращения. Они без труда выполняют диагностику по данным сканирования и подбирают соответствующее лечение. Полученные визуальные данные хорошо дополняют результаты ультразвукового исследования, лабораторных тестов и других процедуры.

Какое МРТ требуется

Для обследования пациента с инсультом или микроинсультом невролог пользуется томографом с напряженностью поля не меньше 1,5 Тесла. Потребуется несколько режимов визуализации, включая ангиографию. Режимы DWI, ADC дают специалисту возможность выявить очаг сосудистой катастрофы через несколько минут после его возникновения и определить причину ОНМК. Если сканирование выполняется через 6-8 часов, невролог выбирает режимы FLAIR, T2.

МРТ после инсульта

Как уже было сказано, такой способ сканирования реже выбирают в период экстренной диагностики, но он отлично подходят для выявления осложнений и подбора методов восстановительного лечения. Магнитно-резонансная томография позволяет уточнить расположение очагов ишемии и оценить постинсультные изменения в головном мозге. Пациентам рекомендуют проходить такое обследование в ходе реабилитации для оценки ее эффективности и исключения негативных последствий.

Источники:

  1. Бакунц Г.О. Эндогенные факторы церебрального инсульта (2011).
  2. Брильман Дж. Неврология (2007).
  3. Гудфеллоу Дж. А., Захаров В.В. Обследование неврологического больного (2018).

Источник: https://www.neuro-ural.ru/patient/dictonary/ru/m/mrt-pri-insulte-i-mikroinsulte.html

Если у Вас есть вопросы по проблеме, Вы можете задать их нашим специалистам онлайн:https://www.neuro-ural.ru/patient/consulting/

Запись на телеконсультацию - https://www.neuro-ural.ru/patient/telekonsultaczii.html