Добавить в корзинуПозвонить
Найти в Дзене
Пикабу

Будни приёмника

Есть у меня один товарищ, который любит шутить про мою работу. Мол, я настолько "везуч", что ко мне на дежурства всë время приезжают мужики с градусником в члене, например, и подобными бедами. Конечно, бывают и такие случаи, но все же чаще - обычная рутина с вполне обычными диагнозами, на первый взгляд. Так случилось и в моё воскресное дежурство. Время 6ч утра. В приёмное отделение поступает вполне здорово выглядящая женщина (пациент М.), но с усталым и грустным видом. Примерно как у меня по результату прошедших суток. Основная жалоба - болезненное мочеиспускание на протяжении одной недели. Чему, конечно, я не обрадовался. Не из-за того, что это какой-то тяжёлый клинический случай. Просто человек в очередной раз долго болеет дома и решается приехать рано утром (часто это происходит в интервале времени от 22 до 6ч), хотя в симптомах ничего не изменилось. В общем, думал уже отправить пациента М. в поликлинику, предварительно назначив препараты против цистита (воспаление мочевого пузыря,

Есть у меня один товарищ, который любит шутить про мою работу. Мол, я настолько "везуч", что ко мне на дежурства всë время приезжают мужики с градусником в члене, например, и подобными бедами. Конечно, бывают и такие случаи, но все же чаще - обычная рутина с вполне обычными диагнозами, на первый взгляд.

Так случилось и в моё воскресное дежурство. Время 6ч утра. В приёмное отделение поступает вполне здорово выглядящая женщина (пациент М.), но с усталым и грустным видом. Примерно как у меня по результату прошедших суток.

Основная жалоба - болезненное мочеиспускание на протяжении одной недели. Чему, конечно, я не обрадовался. Не из-за того, что это какой-то тяжёлый клинический случай. Просто человек в очередной раз долго болеет дома и решается приехать рано утром (часто это происходит в интервале времени от 22 до 6ч), хотя в симптомах ничего не изменилось.

В общем, думал уже отправить пациента М. в поликлинику, предварительно назначив препараты против цистита (воспаление мочевого пузыря, сопровождающегося болезненным мочеиспусканием), но по традиции (так положено) продолжил расспрос.

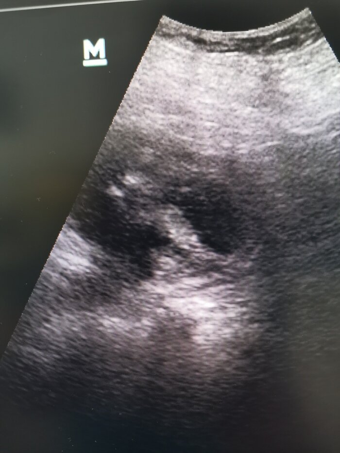
Оказывается, пациент уже месяц страдает лихорадкой, был на приёме у терапевта и принимал противовирусные препараты. Эффекта ноль. Продолжает болеть дома. И вот решается вызвать скорую. И оказывается на кушетке в тёмном помещении (УЗИ кабинет) рядом со мной. Туда мы отправились, потому что причин у длительной лихорадки множество. Я, как уролог, хорошо знаю парочку из них. На УЗИ видны вполне обычные почки (не стал фоткать), а по нижнему сегменту левой почки гетерогенное, солидно-кистозное, отграниченное, с ровным, не чётким, гипоэхогенным контуром образование около 6 см (см фото). В подобной ситуации может быть несколько интерпретаций: нагноившаяся киста почки (полость с гнойной мочой), рак, карбункул (гнойник на почке). Исход следующий: Пациент госпитализируется для проведения КТ почек с контрастом (чтобы установить более точный диагноз) и пробной антибиотикотерапии. В итоге хвалю волю случая и себя за проделанную работу. Если интересно, чем закончилась данная история, жмём плюс и оставляем комментарии. Дальше - больше.

Присоединяйтесь ко мне в тг канале t.me/adamovdc.

Больше комментариев на Пикабу.