Добавить в корзинуПозвонить
Найти в Дзене
ВАШ СТОМАТОЛОГ

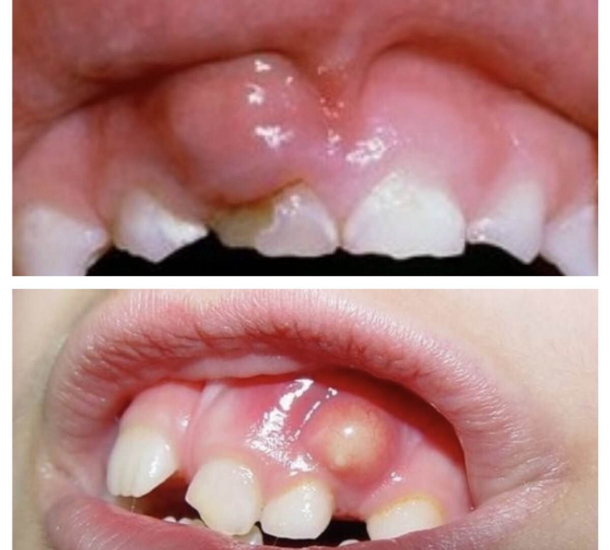
«Шишка» на десне у ребёнка - что делать?

Доброго времени суток! Сегодня расскажу что такое свищ и что с ним делать! Свищ это канал, через который выходит гной из очага воспаления в костной ткани. Если вы увидели такую шишечку на десне у своего малыша, не стоит паниковать! Нужно идти к стоматологу, так как в домашних условиях избавиться от свища не получится. Не помогут и народные средства в виде полосканий. Появление свища может сопровождаться такими симптомами: Чаще всего свищи появляются из-за не леченного ранее кариеса молочного зуба, инфекция проходит дальше и достигает корней зубов и костной ткани. Так же, причиной свища может быть травма зуба. На приеме доктор определит причину появления свища и зуб, от которого идёт инфекция. Сделает рентген снимок. Чаще всего молочные зубы 🦷 со свищем удаляются! Это нужно для того, чтобы ликвидировать очаг инфекции полностью. Иначе, могут быть неприятные последствия в виде распространения инфекции на зачаток постоянного зуба. Что же делать, чтобы свищ никогда не появился? Ответ

Доброго времени суток!

Сегодня расскажу что такое свищ и что с ним делать!

Свищ это канал, через который выходит гной из очага воспаления в костной ткани.

Если вы увидели такую шишечку на десне у своего малыша, не стоит паниковать! Нужно идти к стоматологу, так как в домашних условиях избавиться от свища не получится. Не помогут и народные средства в виде полосканий.

Появление свища может сопровождаться такими симптомами:

  1. Покраснение десны вокруг причинного зуба;
  2. Подвижность зуба;
  3. В некоторых случаях у малыша может подняться температура;
  4. Неприятный запах изо рта.

Чаще всего свищи появляются из-за не леченного ранее кариеса молочного зуба, инфекция проходит дальше и достигает корней зубов и костной ткани. Так же, причиной свища может быть травма зуба.

На приеме доктор определит причину появления свища и зуб, от которого идёт инфекция. Сделает рентген снимок.

Чаще всего молочные зубы 🦷 со свищем удаляются!

Это нужно для того, чтобы ликвидировать очаг инфекции полностью. Иначе, могут быть неприятные последствия в виде распространения инфекции на зачаток постоянного зуба.

Что же делать, чтобы свищ никогда не появился? Ответ очень простой! Регулярно посещать стоматолога, своевременно лечить молочные зубы, а также уделять достаточное количество времени для домашней гигиены полости рта вашего ребёнка.

Если статья оказалась полезной поставьте лайк 👍🏻 и подпишитесь на мой канал. Тут много полезного! 😁