Добавить в корзинуПозвонить
Найти в Дзене

Потеря всех зубов в 36 лет: имплантация при пародонтите

Потеря всех зубов — это психологически тяжело для пациентов в любом возрасте. И особенно, если это происходит с молодыми людьми. В данном случае пациентке всего 36 лет. Убыль десны и костной ткани, воспаление, сильная подвижность всех зубов. 🏥 Диагноз: парадонтит. К сожалению, сохранить зубы было уже не возможно. Пациентка плакала, узнав, что зубы придется удалить. Я пообещал, что мы сделаем ей красивые зубы. 🦷 Сначала я удалил зубы с одной стороны. Выполнил синус-лифтинг, поставил имплантаты. Затем все то же самое с другой стороны. 🦷 В последнюю очередь я выполнил удаление фронтальных зубов и установил имплантаты одномоментно, в тот же день установили временные коронки. Таким образом, пациентке не пришлось ходить без зубов. Чтобы вернуть эстетичный контур десны, мне потребовалось провести пластику и пересадить шесть трансплантатов. Как вам результат нашей работы? Ставьте + в комментариях, если нужно рассказать о причинах, которые приводят к такому состоянию даже в молодом возрасте

Потеря всех зубов — это психологически тяжело для пациентов в любом возрасте. И особенно, если это происходит с молодыми людьми.

До и после лечения
До и после лечения

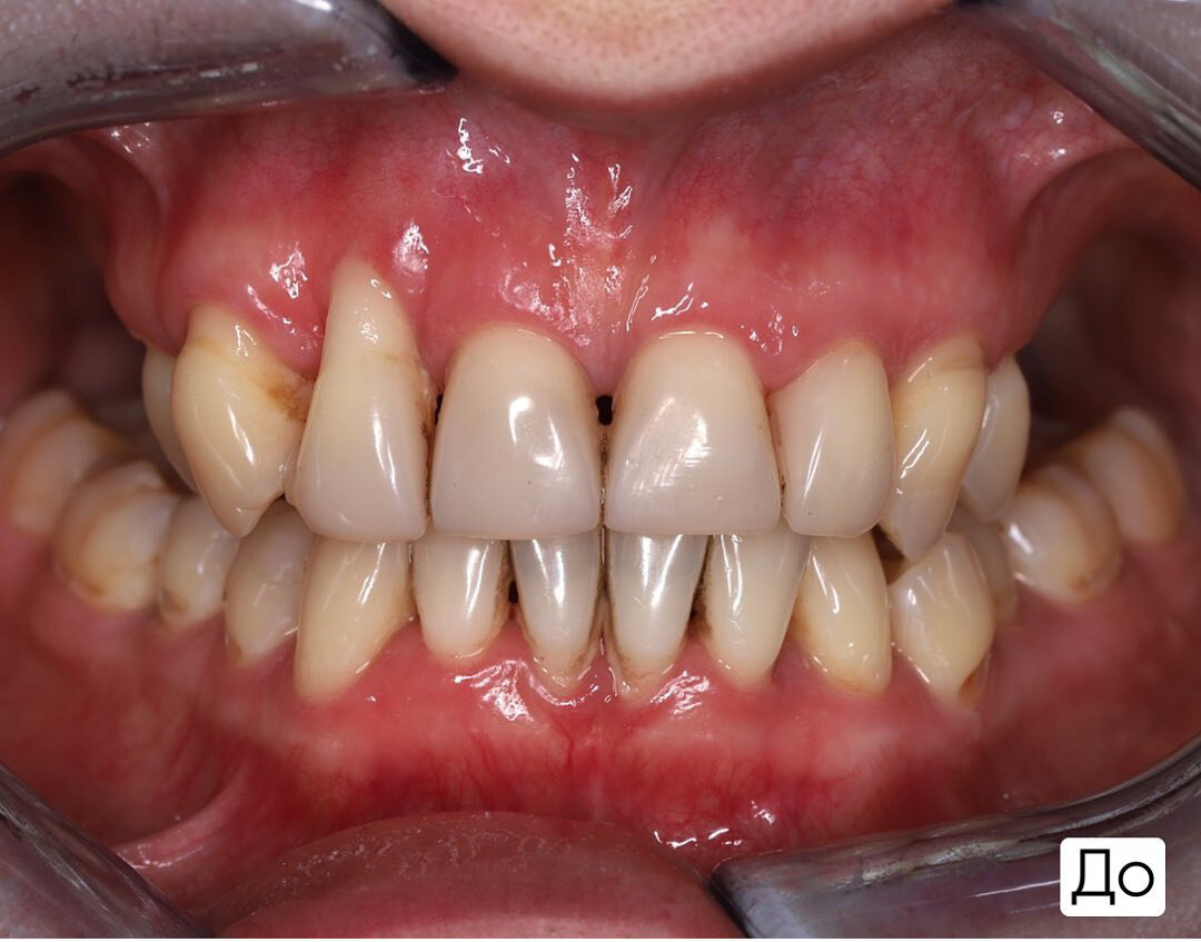
В данном случае пациентке всего 36 лет. Убыль десны и костной ткани, воспаление, сильная подвижность всех зубов.

Воспаление десен и подвижность всех зубов
Воспаление десен и подвижность всех зубов

🏥 Диагноз: парадонтит. К сожалению, сохранить зубы было уже не возможно.

Пациентка плакала, узнав, что зубы придется удалить. Я пообещал, что мы сделаем ей красивые зубы.

🦷 Сначала я удалил зубы с одной стороны. Выполнил синус-лифтинг, поставил имплантаты.

Затем все то же самое с другой стороны.

Все имплантаты установлены, начинаем установку коронок
Все имплантаты установлены, начинаем установку коронок

🦷 В последнюю очередь я выполнил удаление фронтальных зубов и установил имплантаты одномоментно, в тот же день установили временные коронки. Таким образом, пациентке не пришлось ходить без зубов.

Выполнил пластику десны
Выполнил пластику десны

Чтобы вернуть эстетичный контур десны, мне потребовалось провести пластику и пересадить шесть трансплантатов.

Как вам результат нашей работы?

Постоянные коронки
Постоянные коронки

Ставьте + в комментариях, если нужно рассказать о причинах, которые приводят к такому состоянию даже в молодом возрасте ☝️

Посмотрите другие мои работы по устранению рецецессии десны и имплантации:

1) Восстановил десну, без удаления зубов

2) Протез на 4-х имплантатах - бюджетно, эстетично, за 1 день

3) Установил имплант +  закрыл оголившиеся корни соседних зубов

Закрыли оголившиеся корни зубов и установили имплантат на место отутствующего зуба.
Георгий Захаров челюстно-лицевой хирург28 сентября 2022

Жду вас на лечение и консультации! Запись: +7 (925) 027-73-77