Найти в Дзене
Хайтек

Посмотрите на золотые «брекеты» XVII века: их установили светской львице

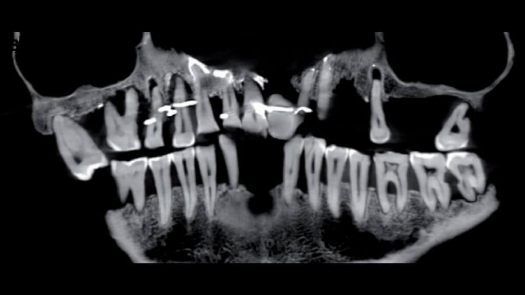
Останки женщины Анны д’Алегр, жившей с 1565 по 1619 год, были обнаружены во время археологических раскопок в 1988 году в замке Лаваль на северо-западе Франции. Ее забальзамировали, а затем похоронили в свинцовом гробу, поэтому ее кости и зубы прекрасно сохранились. Женщина страдала от воспаления десен и костей, из-за которого ее зубы расшатались, поэтому она зафиксировала их на месте тонкой золотой проволокой. Розенн Коллетер, археолог из Национального института профилактических археологических исследований (INRAP) в Ренне, Франция, рассказала, что археологи заметили во время раскопок 1988 года, что у скелета был вставной зуб и лигатуры (медицинский термин для обозначения нити или проволоки, используемых для привязывания чего-либо) на зубах. Рентгеновский снимок зубов Анны д’Алегр Коллетер является ведущим автором нового исследования зубов Анны д’Алегр, опубликованного 24 января в Journal of Archaeological Science: Reports. Реанализ останков включал в себя сканирование черепа с помощью

Останки женщины Анны д’Алегр, жившей с 1565 по 1619 год, были обнаружены во время археологических раскопок в 1988 году в замке Лаваль на северо-западе Франции. Ее забальзамировали, а затем похоронили в свинцовом гробу, поэтому ее кости и зубы прекрасно сохранились. Женщина страдала от воспаления десен и костей, из-за которого ее зубы расшатались, поэтому она зафиксировала их на месте тонкой золотой проволокой.

Розенн Коллетер, археолог из Национального института профилактических археологических исследований (INRAP) в Ренне, Франция, рассказала, что археологи заметили во время раскопок 1988 года, что у скелета был вставной зуб и лигатуры (медицинский термин для обозначения нити или проволоки, используемых для привязывания чего-либо) на зубах.

-2

Рентгеновский снимок зубов Анны д’Алегр

Коллетер является ведущим автором нового исследования зубов Анны д’Алегр, опубликованного 24 января в Journal of Archaeological Science: Reports. Реанализ останков включал в себя сканирование черепа с помощью «конического луча», который использует рентгеновские лучи для создания трехмерного изображения. Это сканирование показало, что д’Алегр страдала от серьезного заболевания пародонта, из-за которого многие ее зубы расшатались, и что ей вставили тонкие золотые проволоки, чтобы зубы не выпадали.

Часто провода обматывались вокруг нижней части зубов д’Алегр возле десен. Но некоторые из ее зубов были проколоты для прохождения проводов, и у нее также был вставной зуб, сделанный из бивня слона.

Хотя фиксация зубов путем прокалывания их проволокой сейчас может показаться примитивной, в то время это была передовая стоматологическая технология. «Это инновационное лечение», — сказала Коллетер.

Но такое лечение было бы болезненным и потребовало бы периодического подтягивания проводов, считает Коллетер. Однако стоматология только усугубила ситуацию, дестабилизировав соседние зубы. Коллетер также предположила, что д’Алегр, возможно, чувствовала социальное давление, чтобы сохранить свои зубы в то время, когда на воспринимаемую ценность и положение женщин в высшем обществе влияла их внешность.

Коллетер отметил, что приятная улыбка, возможно, была особенно важна для д’Алегр, дважды овдовевшей светской львицы. «Помимо медицинского лечения, цель, безусловно, была эстетической и особенно социальной», — сказал Коллетер.

Читать далее:

Два фото Земли с разницей в 50 лет сравнили в НАСА: что нашли ученые

Ученые пересадили крысам «мозг» человека и рассказали, что получилось в итоге

ChatGPT прошел собеседование в Google для инженера с зарплатой $183 000