Найти в Дзене

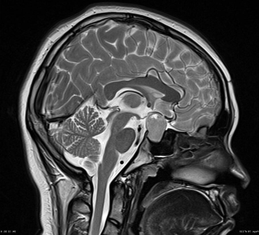
Что показывает МРТ гипофиза

В диагностических центрах МРТ гипофиза используется: ЧТО ТАКОЕ МРТ ГИПОФИЗА МРТ гипофиза – это узконаправленный, прицельный метод диагностики гипофиза и тканей головного мозга, находящихся в зоне турецкого седла. Сложность обнаружения изменений в питуитарной железе способом объясняется его местом нахождения в основании головного мозга и маленькими размерами в диапазоне от 15 до 17 мм. Гипофиз играет важную роль в функционировании эндокринной системы человека. Орган отвечает за выработку гормонов, влияет на рост и обменные процессы в организме человека. Опухолевые образования в зоне гипофиза, например, микро или маркоагеномы могут приводить к гормональным сбоям. По этой причине корректная и быстрая их диагностика играет важную роль поддержания здоровья человека. МРТ ГИПОФИЗА ПРИ МИКРОАДЕНОМЕ Исследование микроаденомы гипофиза – достаточно частая процедура, которая представляет собой диагностику доброкачественной опухоли передней доли железы гипофиза. Аденокарциномы, злокачественные о
Оглавление

В диагностических центрах МРТ гипофиза используется:

  • Для диагностики и определения природы новообразований.
  • Для выявления увеличения гипофиза.
  • Для получения информации о состоянии и функционировании данного органа.
  • Для исследования сложных участков органа, например, для проведения МРТ турецкого седла (гипофиз – это орган, который находится в данном образовании).

ЧТО ТАКОЕ МРТ ГИПОФИЗА

МРТ гипофиза – это узконаправленный, прицельный метод диагностики гипофиза и тканей головного мозга, находящихся в зоне турецкого седла. Сложность обнаружения изменений в питуитарной железе способом объясняется его местом нахождения в основании головного мозга и маленькими размерами в диапазоне от 15 до 17 мм. Гипофиз играет важную роль в функционировании эндокринной системы человека. Орган отвечает за выработку гормонов, влияет на рост и обменные процессы в организме человека. Опухолевые образования в зоне гипофиза, например, микро или маркоагеномы могут приводить к гормональным сбоям. По этой причине корректная и быстрая их диагностика играет важную роль поддержания здоровья человека.

МРТ ГИПОФИЗА ПРИ МИКРОАДЕНОМЕ

Исследование микроаденомы гипофиза – достаточно частая процедура, которая представляет собой диагностику доброкачественной опухоли передней доли железы гипофиза. Аденокарциномы, злокачественные образования тоже исследуют на аппарате МРТ, но встречаются они гораздо реже. Аденомы, особенно небольшого размера, лучше всего видны на тех изображениях, которые были сделаны с использованием контраста. Дело в том, что новообразованиям сопутствует густая сетка кровеносных сосудов, и это позволяет на томографии найти даже самые микроскопические аденомы. Также контрастный препарат позволяет определить точные границы образования, определить степень его взаимодействия с окружающими тканями, а также определить его структуру и тип.

-2

ПРОТИВОПОКАЗАНИЯ

Томографическую диагностику гипофиза не рекомендуется проводить, если у больного есть подозрение на наличие в теле металлических осколков. Данная процедура связана с воздействием сильного магнитного поля, которое может нагреть или сместить металлический элемент, что приведет к повреждению окружающих его тканей. Поэтому перед проведением сканирования таким пациентам следует сделать рентгенографию. Абсолютно противопоказано проведение МРТ гипофиза в следующих случаях:

  • При наличии в теле обследуемого жизненно важных электронных устройств и металлических имплантов (кардиологических стимуляторов, инсулиновых помп, штифтов и хирургических стентов).
  • В случае наличия в теле крупных металлических протезов.

Также данная аппаратная диагностика возможно будет болезненной, если у пациента есть металлосодержащие татуировки.

ПОДГОТОВКА

Если Вы уже определились, где сделать МРТ гипофиза в СПб, то вам не помешает заранее уточнить у врача, как будет проходить процедура, есть ли какие-то пожелания по режиму еды, питья или приема лекарственных средств. Обычно данная процедура не предъявляет особенных требований к пациенту по подготовке, но в случае проведения МРТ гипофиза с контрастом Вас могут попросить не есть несколько часов до начала обследования. Это делается для того, чтобы минимизировать возможность появления неприятных ощущений по завершении обследования.

Перед проведением скрининга следует удалить с тела все металлсодержащие элементы и устройства, а именно: мобильные телефоны, пластиковые карты, монеты, бумажники, очки, часы, ремень, карманные ножи, ручки, зажигалки, ювелирные украшения, бижутерия, пирсинг, одежда с металлосодержащей фурнитурой, шпильки, слуховой аппарат.

Также следует обязательно предупредить проводящего процедуру врача, если у Вас есть сильные аллергические реакции, астма, почечная патология. Обследование гипофиза на МРТ могут осложнить импланты зубов, пломбы или брекеты, поэтому об их наличии тоже следует проинформировать специалиста.

-3

КАК ПРОХОДИТ МРТ ГИПОФИЗА?

МРТ исследование гипофиза осуществляется на основе действия магнитного поля и радиочастотных сигналов, которые подают на компьютер врача информацию об исследуемом участке. Сама диагностика может проходить в аппарате открытого и закрытого типов. Закрытая установка похожа на большую трубу, в которую подвижный стол завозит пациента. Обследуемый должен лежать неподвижно все время проведения томографии, не кашлять и не говорить. При необходимости врач может подавать пациенту команды по громкой связи.

Аппарат МРТ открытого типа – весьма широко используемая модель томографа. В отличие от закрытого, он не замкнут по бокам, что позволяет использовать его для обследования страдающих от избыточного веса пациентов, а также для лиц, имеющих боязнь замкнутых пространств, и просто тех, кто боится обследования в закрытом томографе.

В большинстве ситуаций МРТ гипофиза проводится с контрастом. Использование контрастного препарата никак не вредит здоровью и самочувствию обследуемого. Контраст изготавливается на основе легко выводимого препарата на базе гадолиния, не является токсичным и не вызывает аллергии. Объем вещества рассчитывается индивидуально в зависимости от массы обследуемого и во многом определяет цену на МРТ гипофиза. Препарат вводится в тело пациента через вену и быстро выводится из организма после завершения обследования - для полного выведения естественным путем препарата требуется несколько часов.

РАСШИФРОВКА МРТ ГИПОФИЗА

По завершении процедуры рентгенолог предоставляется пациенту все изображения, полученные во время диагностики, которые записываются на диск. На их основе он также составляет заключение. При необходимости снимки МРТ могут быть выборочно распечатаны за отдельную плату. В сложных или спорных случаях в диагностических центрах СПб пациентам предоставляют возможность получить второе экспертное заключение от ведущих специалистов Санкт-Петербурга.

В ЧЕМ РАЗНИЦА МЕЖДУ МРТ ГИПОФИЗА И ТОМОГРАФИЕЙ ГОЛОВНОГО МОЗГА?

МРТ гипофиза и головного мозга - это два различных вида магнитно-резонансной томографии. Исследования питуитарной железы и головного мозга могут быть вообще не связаны между собой. Однако возможны ситуации, когда врачи назначают комплексное обследование, когда у пациента есть выраженная эндокринная патология, например, синдром Иценко-Кушинга, или при дисциркуляторной энцефалопатии и опухолях мозга с множественными очагами поражения.

МРТ ИЛИ КТ ГИПОФИЗА - ЧТО ЛУЧШЕ?

Несмотря на то, что МРТ и КТ являются высокоинформативным томографическими способами диагностики головного мозга, МРТ все же считается приоритетной формой исследования тканей и органов мозга. КТ больше используется в ситуациях, когда необходимо оценить состояние костных тканей или сосудистой системы. Поэтому магнитно-резонансная томография лучше, чем компьютерная, покажет гипофиз и состояние тканей области турецкого седла.