Найти в Дзене
Военный юрист

Заберут ли в армию с кистой

Одним из самых опасных заболеваний являются образования в форме кисты, которые часто вызывают осложнения. В настоящее время у юношей, призывающихся в армию, возникает вопрос, берут ли служить с этим заболеванием. Рассмотрим более подробно. Могут ли взять в армию с кистой Довольно часто кистозные заболевания протекают без симптомов и обнаруживаются в процессе прохождения медицинского осмотра, при жалобах на какие - либо другие заболевания. Такой вид образования не онкологический, чаще всего выявляется после получения травмы или после болезни. Также может быть врождённым либо приобретённым. Что представляет собой киста? Данный вид образования выглядит как полость, которая имеет плотные стенки и заполнена жидкостью. Состояние кисты зависит от степени её развития, от длительности заболевания, от местонахождения. Есть формы, которые имеют своеобразные особенности. Исходя из этого и решается вопрос об освобождении или службе в армии. В головном мозге В кистозном образовании находится жидкост
Оглавление

Одним из самых опасных заболеваний являются образования в форме кисты, которые часто вызывают осложнения. В настоящее время у юношей, призывающихся в армию, возникает вопрос, берут ли служить с этим заболеванием. Рассмотрим более подробно.

Могут ли взять в армию с кистой

Довольно часто кистозные заболевания протекают без симптомов и обнаруживаются в процессе прохождения медицинского осмотра, при жалобах на какие - либо другие заболевания. Такой вид образования не онкологический, чаще всего выявляется после получения травмы или после болезни. Также может быть врождённым либо приобретённым.

Что представляет собой киста? Данный вид образования выглядит как полость, которая имеет плотные стенки и заполнена жидкостью. Состояние кисты зависит от степени её развития, от длительности заболевания, от местонахождения. Есть формы, которые имеют своеобразные особенности. Исходя из этого и решается вопрос об освобождении или службе в армии.

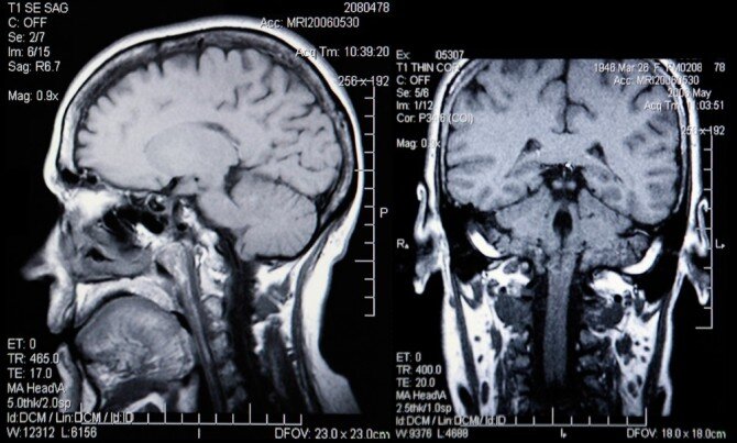
В головном мозге

В кистозном образовании находится жидкость, поэтому киста выглядит как опухоль, которая по истечению некоторого времени может увеличиваться. В головном мозге данный вид опухоли может развиться в любом отделе, но чаще всего она находится в путинной сетке коры полушарий, так как это вещество очень уязвимо. Киста головного мозга подразделяется на церебральную и арханоидальную.

В случае если киста арханридальная, тогда кистозная жидкость собирается внутри слоя из клеток мозга. Причинами её возникновения могут быть болезни или травма. Если же киста церебральная, она будет заполнять некротические образования. Чаще всего появляется после инсульта. Когда заболевание имеет начальную стадию, проходит бессимптомно. В процессе развития болезни, кистозная жидкость начинает мешать нормальному протеканию крови, может появиться ощущение давления внутри черепа, мигрень, шумы в ушах.

Если же возникают осложнения, может нарушаться зрение, также человек может терять сознание. На последних стадиях заболевания может возникнуть паралич некоторых отделов тела. Если у юноши, которого призывают в армию, обнаружена киста головного мозга, далее определяют степень тяжести заболевания. Может быть предоставлена отсрочка для лечения болезни, а возможно и полностью освобождение от службы в армии с выдачей военного билета. Симптомы, при которых дается освобождение от армии:

  • повышение внутричерепного давления;
  • нарушения по неврологии;
  • нарушение работы вегето - сосудистой системы;
  • частая головная боль;
  • бессонница.

В случае если зафиксированы данные симптомы, призывник может рассчитывать на получение военного билета. Если же проявляется умеренная стадия протекания заболевания, призывник не идёт служить в армию, но при этом, в случае мобилизации он будет призван в службе. Если же заболевание протекает без симптомов, либо же с лёгкими симптомами, призывник будет годен к службе в армии. Стоит знать, что такой вид заболевания может быть обнаружен только с помощью МРТ. Поэтому, если киста была выявлена до призыва, нужно пройти все обследования и представить документы военной медицинской комиссии.

В почках

Возьмут ли в армию с образованием в почках зависит от того, насколько нарушена функция органа. При начальной стадии кистозное образования в почках может протекать без симптомов, чаще всего о заболевании не догадываются. Если с помощью пальпации, киста не обнаруживается, юноша будет годен для службы в армии.

Согласно Расписанию болезни юноша, которого призывают в армию, с болезнью кисты в почках может получить освобождение от армии, но также может спокойно проходить срочную службу. Всё зависит от того, какой вердикт вынесет военная медицинская комиссия. Рассмотрим более подробно от чего зависит возьмут ли в армию с кистой почек.

В первую очередь это зависит от того, сколько образований находится в почках. Другими словами можно сказать поставят диагноз поликистоз или простая киста. Если обнаружат несколько доброкачественных образований, служба в армии будет исключена.

Поликистоз – это тяжелая форма заболевания. Когда оно находится на первой стадии, симптомы также отсутствуют, но при этом оно может быстро развиться. Когда поликистоз переходит в следующие стадии развития, пациент может почувствовать боль в пояснице, головную боль. На последних стадиях заболевания нарушается выделительная функция почек, может развиться почечная недостаточность.

В случае если поликистоз на начальной стадии, призывника зачислят в запас. Если же заболевание привело к серьезным нарушениям почек, его освободят от армии. Если обнаружена простая киста, а функции почек не нарушены, призывник будет служить в армии. Для того, чтобы получить полное освобождение от армии, в обязательном порядке нужно представить документы, которые указывают на действительную болезнь. Какие документы нужно собрать и, какие виды обследований пройти определяет лечащий врач.

Яичка и его придатков

-2

Киста, которая обнаружена в области яичка и придатков, является очень частым заболеванием среди мужчин. Как и все виды кистозных заболеваний, вначале оно протекает без симптомов, на следующих же стадиях появляются боли, боли при мочеиспускании, мошонка может вздуться, что можно увидеть визуально.

В случае если у призывника обнаружена киста яичка и придатков, без всех обследований его в армию не допустят. Первым делом нужно будет пройти лечение. Если же после лечения киста обнаружится повторно, тогда будет принято решение выдать освобождение от службы, и юноша получит военный билет.

Копчика

Обычно киста копчика - это дефект внутриутробного развития. В этом случае под кожей в области копчика образуются некоторая полость.

Если на данную область не было никаких воздействий, она не будет мешать нормальной жизни пациента. Воспаление может возникнуть под действием следующих фактов:

  • травма;
  • глубокие царапины в области копчика;
  • сильное охлаждение организма;
  • слабость организма к заболеваниям;
  • отсутствие гигиены;
  • повышенное потоотделение;
  • ослабленный иммунитет;
  • сидячий образ жизни.

Если кистозное заболевание начинает развиваться, появляются симптомы ощущения нароста в области копчика, повышение температуры, опухает и краснеет ягодица. Киста копчика, как и головного мозга, является тяжелым заболеванием. Освобождение от армии будет предоставлено, если на момент прохождения медицинской комиссии появляется воспалительный процесс, а так же если до призыва уже было выполнено три и более операции по её удалению.

Если киста была обнаружена во время службы в армии, солдату будет предоставлена отсрочка от службы и время для прохождения лечения. Для лечения не используются консервативная терапия. Обычно медикаменты не дают положительного эффекта, поэтому выполняется хирургическое вмешательство. Операция производится высококвалифицированным хирургом. Вначале хирург вскрывает кисту и ставит туда дренаж.

После того, как воспаление будет снято, производится удаление кистозного образования. После проведения хирургического вмешательства, пациент проходит курс приема антибиотиков. Обычно срок реабилитации составляет около месяца. Также после проведения операции, пациенту нельзя садиться в течение 20 дней.

Пазух носа

Киста носовой пазухи - это доброкачественное образование, которое выглядит как узел, наполненный жидкостью. Очень часто киста образуется в лобных пазухах, реже в гайморовых и клиновидных. На начальных стадиях киста не приносит неудобств, но в процессе своего увеличения может привести к сложным последствиям. Появляется острая заложенность носа, тяжело дышать, при этом обычные препараты от насморка не помогают.

Могут проявляться боли в области виска, переносице и лба. Также боль может усилиться, когда меняется положение головы. Появляются жёлтые выделения из носа. Может развиться гайморит. Для того чтобы обнаружить кисту носовых пазух, нужно пройти рентгенографию. От службы в армии освобождаются призывники, у которых запущенная форма кисты. На начальных этапах, если это заболевание не приносит никаких неудобств, отсрочка или освобождение не предоставляется. Отсрочка дается на лечение заболевания, в случае если лечение прошло эффективно и болезнь полностью излечена, юноша будет вновь призван к службе в армии.

Каким образом подтверждается заболевание на мед комиссии

-3

Для того чтобы подтвердить реальный диагноз, в процессе прохождения медицинской комиссии в военном комиссариате, необходимо заранее подготовиться. Нужно пройти все необходимые обследования, чтобы подтвердить диагноз кистозного заболевания. В обязательном порядке собирать все результаты УЗИ, МРТ, рентгенографии и т.п., а так же справки от лечащего врача.

Помимо этого необходимо будет взять с собой амбулаторную карту, где должны быть указаны все результаты анализов и поставлен диагноз. Так же нужно, чтобы в карте были указаны жалобы на боли, ухудшение состояния и т.п. Лучше подготовить копии всех документов, а оригиналы оставить на руках. В случае если все документы будут собраны и их можно будет предоставить комиссии, медицинское заключение военного комиссариата будет сделано максимально правильно.

Как можно оспорить решение медицинской комиссии

В процессе прохождения медицинской комиссии в военкомате может возникнуть ситуация, когда призывник не согласен с решением членов комиссии. Ситуацию нельзя пускать на самотек и соглашаться с военным комиссариатом. Это может ухудшить состояние здоровья призывника и привести к серьезным последствиям.

Призывник может провести независимое обследование, и если оно расходится с мнением медицинской комиссии может написать заявление с опровержением в областной военный комиссариат. В заявлении обязательно должны присутствовать подписи членов комиссии. Если же областной комиссариат отклонил заявление, можно подать иск в суд.

Если кистозное образование было обнаружено только на медицинской комиссии во время призыва, а ранее о ней известно не было, не стоит пренебрегать этим диагнозом и нужно в ближайшее время заняться лечением.

Не нашли ответ на свой вопрос в статье или есть дополнительный вопрос? Задайте его юристу на сайте и получите развернутую консультацию уже через 15 минут.