Найти в Дзене
Нейроновости

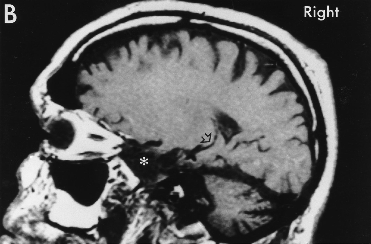
Интересный пациент: МРТ «человека без памяти»

Перед вами — прижизненное МРТ человека, о котором мы уже писали большую статью. При жизни о нем знали только инициалы — H.M., и только после смерти ученые и врачи раскрыли имя уникального пациента, который дал возможность многое понять о человеческой памяти.
Генри Молисон в 7 лет упал с велосипеда, в 16 лет начал страдать от эпилепсии, а в 27, в 1953 году решился на экспериментальную операцию,

Перед вами — прижизненное МРТ человека, о котором мы уже писали большую статью. При жизни о нем знали только инициалы — H.M., и только после смерти ученые и врачи раскрыли имя уникального пациента, который дал возможность многое понять о человеческой памяти.

Генри Молисон в 7 лет упал с велосипеда, в 16 лет начал страдать от эпилепсии, а в 27, в 1953 году решился на экспериментальную операцию, двустороннюю гиппокампэктомию. Эпилепсия не прошла (хотя стала более контролируемой – и ее можно было подавлять приемлемыми дозами лекарств). А вот с памятью Генри стало плохо. Он не мог больше запомнить ничего нового. Каждое утро он просыпался, не помня ничего того, что было после операции. Он даже не мог запомнить дорогу по палате. При этом интеллектуальные и эмоциональные качества Генри не пострадали вообще. Он даже мог освоить некоторые навыки.

Как вы понимаете, в 1953 году никаких средств сколько-нибудь приличной визуализации мозга не было. Поэтому о том, что на самом деле удалили Генри, судили только по заметкам хирурга. Вот перед вами зарисовки самого Уильяма Сковилля из его статьи 1957 года:

-2

К счастью, Генри Молисон сумел прожить после операции еще очень долго: 55 лет. За это время появились томографические методы исследования. Правда, долгое время проводить МРТ боялись: Сковилль «разметил» операционное поле металлическими клипсами, которые так и остались в мозге Молисона. Врачи опасались, что магнитное поле сместит их, что приведет к повреждению артерий и инсульту. Однако позже КТ показало, что все они весьма далеко от сосудов и вот, в 1992 году Молисону прижизненно сделали МРТ на 1,5-тесловом томографе.

Кое-что разглядеть удалось (вы видите показанные поражения стрелкой), однако полную картину ученые так и не получили. Только после смерти мозг Молисона вновь был подвергнут испытаниям: сначала он, в зафиксированном состоянии был изучен на трёх- и семитесловом томографе, что дало исключительное качество картинки (см. фото внизу), а затем исследователь Джакомо Анезе совершил настоящий научный подвиг: 53 часа резал на микротоме замороженный мозг Молисона на 2401 срез толщиной в 70 микрон каждый. Удивительно, что исследователь «запорол» только два образца. И теперь ученые смогли построить полную карту поражений мозга Молисона.

-3
-4

Подготовил Алексей Паевский

Читайте материалы нашего сайта в FacebookВКонтактеЯндекс-ДзенОдноклассниках и канале в Telegram, а также следите за новыми картинками дня в Instagram