Найти в Дзене
Simple Hematology

О крови в целом...

Кратко о главной жидкости нашего организма
Оглавление

Приветствую Вас, уважаемые читатели, на своём канале, посвящённом такому необычному и очень интересному разделу медицинской науки как гематология!

Прежде совсем немного о себе: я работаю врачом в стационаре одной из городских клинических больниц бывшего Танкограда. Мои специальности - "Онкология" и "Гематология", в круг моих научных интересов входят миелопролиферативные заболевания, инфекционные и неинфекционные патологии системы крови, а также ревматические заболевания сердечно-сосудистой системы.

Перейдя к основной теме статьи, хотелось бы дать определение крови:

Кровь - жидкая соединительная ткань, участвующая в образовании внутренней среды организма, и, состоящая из клеток (форменных элементов) и межклеточного вещества (плазмы).

Если говорить о составе крови, то, как мы видим из определения, кровь как ткань можно разделить на клеточный компонент и неклеточный компонент.

Клеточный компонент крови

Клеточный состав крови представлен в основном эритроцитами, неоднородной группой белых кровяных клеток, называемых лейкоцитами, и тромбоцитами.

Эритроциты

Мазок периферической крови здорового человека. Эритроциты представлены в виде множественных светло-розовых (оксифильных) клеток с просветлением в центре. Также видны здоровые нейтрофил, лимфоцит, моноцит и тромбоциты в виде мелких точек. Фото взято из Porwit A. et al. (eds.) - Blood and Bone Marrow Pathology (2nd ed.).
Мазок периферической крови здорового человека. Эритроциты представлены в виде множественных светло-розовых (оксифильных) клеток с просветлением в центре. Также видны здоровые нейтрофил, лимфоцит, моноцит и тромбоциты в виде мелких точек. Фото взято из Porwit A. et al. (eds.) - Blood and Bone Marrow Pathology (2nd ed.).

Эритроциты являются высокодифференцированными клетками крови. Продолжительность жизни эритроцитов составляет 100-120 суток. Большинство эритроцитов (75%) имеют размеры в пределах 7,2 – 7,5 мкм (нормоциты). Часть эритроцитов (12,5%) имеют размеры меньше 7,2 мкм (микроциты), а другая часть (12,5%) имеют размеры, превышающие 7,5 мкм (макроциты). В клинике внутренних болезней часто встречаются состояния изменения соотношения эритроцитов по размерам. Это явление получило название «анизоцитоз». Вместе с тем популяция эритроцитов неоднородна по форме В нормальной крови человека 80 – 90% клеток имеют форму двояковогнутого диска (дискоциты). Кроме того, встречаются эритроциты с плоской поверхностью, шиповидные (стареющие), куполообразные, сферические клетки. Установлено, что старение эритроцитов сопровождается образованием на поверхности зубцов и инвагинаций. При заболеваниях могут появляться аномальные формы эритроцитов. Например, при серповидно-клеточной анемии в крови больного появляются клетки серповидной формы, что обусловлено повреждением структуры гемоглобина. Явление нарушения форм эритроцитов называется «пойкилоцитоз».

Эритроциты являются уникальными клетками нашего организма, так как они в процессе развития утрачивают ядро и приобретают в связи с этим форму двояковогнутого диска, что обусловливает существенное (на 20%) увеличение поверхности клеток, что имеет значение для насыщения кислородом. Эритроциты низших животных (амфибий, птиц) являются ядерными клетками, которые имеют более интенсивный обмен, чем безъядерные эритроциты, что обусловливает большое потребление кислорода для собственных нужд. Эритроциты человека поглощают кислород в 50 раз меньше, чем кардиомиоциты и в 160 раз меньше, чем нервные клетки коры больших полушарий.

В свежей крови эритроциты под микроскопом имеют зеленовато-желтый цвет, что обусловлено содержанием гемоглобина, а совокупность эритроцитов обусловливает красный цвет крови.

Лейкоциты

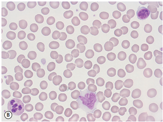
Нормальные сегментоядерные нейтрофилы. Фото взято из Porwit A. et al. (eds.) - Blood and Bone Marrow Pathology (2nd ed.).
Нормальные сегментоядерные нейтрофилы. Фото взято из Porwit A. et al. (eds.) - Blood and Bone Marrow Pathology (2nd ed.).

Лейкоциты представляют собой неоднородную группу клеток. Среди них различают зернистые (гранулоциты) и незернистые (агранулоциты). У зернистых лейкоцитов при окраске крови по Романовскому-Гимзе смесью кислого и основного красителя выявляется специфическая зернистость (нейтрофильная, эозинофильная и базофильная) и сегментированные ядра. В соответствии с характером зернистости гранулоциты подразделяются на нейтрофильные, эозинофильные и базофильные лейкоциты. В незернистых лейкоцитах специфическая зернистость отсутствует и содержатся несегментированные ядра. К незернистым лейкоцитам относятся лимфоциты и моноциты. Лейкоциты выполняют защитную функцию, т.к почти все белые кровяные клетки способны к фагоцитозу. Лимфоцитарные клетки осуществляют реализацию гуморального и клеточного иммунитета. Наконец, лейкоциты определяют групповую принадлежность крови по лейкоцитам, что необходимо учитывать при определении кровного родства, а также при трансплантации костного мозга и различных органов.

Тромбоциты

Это самые мелкие форменные элементы крови, их размеры составляют всего 2-3 мкм. Продолжительность жизни тромбоцитов составляет 9-10 дней. Стареющие тромбоциты поглощаются селезеночными макрофагами. Усиление разрушающей функции селезенки может быть причиной значительного снижения числа тромбоцитов в крови (тромбоцитопения). Для устранения этого явления очень часто прибегают к удалению селезенки. Тромбоциты имеют вид бесцветных телец овальной или веретеновидной формы.

Мазки крови пациентов с тромбоцитопеническим синдромом. Тромбоциты представлены в виде тёмно-синих "точек". Окраска: гематоксилин-эозин. Фото взято из открытых источников.
Мазки крови пациентов с тромбоцитопеническим синдромом. Тромбоциты представлены в виде тёмно-синих "точек". Окраска: гематоксилин-эозин. Фото взято из открытых источников.

Они представляют собой безъядерные фрагменты цитоплазмы, отделившиеся от гигантских клеток костного мозга – мегакариоцитов. При окраске периферическая часть тромбоцитов окрашивается более светло (гиаломер), центральная часть - более темно (хромомер, грануломер). По степени зрелости различают несколько видов тромбоцитов: юные, зрелые и старые. Они в основном отличаются окраской гиаломера: у юных тромбоцитов гиаломер окрашивается в голубой цвет, у зрелых - в розовый, в старых – в очень темные тона. При ряде заболеваний соотношение молодых, зрелых и старых пластинок изменяется, например, при онкологических заболеваниях увеличивается число старых тромбоцитов.

Неклеточный компонент крови

Если пробирку с кровью поместить в лаборатории в центрифугу, то после центрифугирования в пробирке образуется осадок и надосадочная вязкая опалесцирующая жидкость желтого цвета - плазма.

Плазма в пробирке с кровью после центрифугирования. Фото взято из открытых источников.
Плазма в пробирке с кровью после центрифугирования. Фото взято из открытых источников.

В ходе многочисленных проведённых химических анализов было установлено, что плазма состоит из воды (90-93%) и сухого остатка (7-10%). Сухой остаток включает в себя органические и неорганические соединения. На долю белковых соединений приходится около 7% сухого остатка. Среди белков различают более 200 видов, в том числе альбумины, глобулины, фибриноген и компоненты системы комплемента (комплекс сложных белков, постоянно присутствующих в крови. Это каскадная система протеолитических ферментов, предназначенная для гуморальной защиты организма от действия чужеродных агентов, она участвует в реализации иммунного ответа организма. Является важным компонентом как врождённого, так и приобретённого иммунитета) Альбумины связывают и переносят различные вещества: билирубин, желчные кислоты, гормоны, лекарственные препараты, в том числе пенициллин, сульфаниламидные препараты. Среди глобулинов различают фракции: альфа-, бета- и гамма. Альфа- и бета-фракции глобулинов обеспечивают транспорт липидов, а гамма-глобулины составляют антитела. Фибриноген способен переходить в нерастворимую форму – фибрин, что обеспечивает свертываемость крови. Компоненты комплемента участвуют в неспецифических защитных реакциях.

В плазме находится также глюкоза, которая является основным источником энергии для клеток организма.

На долю неорганических соединений плазмы приходится около 1%. К ним относятся неорганические соли, а также электролиты калия, натрия, кальция, магния и хлора. В плазме всегда присутствуют продукты гидролитического расщепления белков, всасывающихся в желудочно-кишечном тракте и продукты распада их, в том числе мочевая кислота, креатинин, билирубин и другие.

Более подробно гистологическое строение и функции клеток крови и органов кроветворения, мы разберём в следующих статьях.

Более подробно о форменных элементах крови и о крови в целом вы можете прочитать перейдя по ссылкам:

Если Вам понравилась статья, то ставьте лайк, пишите комментарии и подписывайтесь на мой канал)))