Найти в Дзене

Диффузные изменения печени-что это значит и как c этим справиться.

Нередко, побывав на приеме в кабинете УЗИ, пациент в заключении может прочитать фразу "диффузные изменения печени". И, вроде бы, ничего не беспокоит, жалоб нет. Да еще и на вопрос врачу, проводившему исследование, что это значит, часто можно услышать ответ, что все пояснения получите у лечащего доктора. Постараюсь объяснить, что означает эта фраза, как с этим жить и как попробовать исправить.
В

Нередко, побывав на приеме в кабинете УЗИ, пациент в заключении может прочитать фразу "диффузные изменения печени". И, вроде бы, ничего не беспокоит, жалоб нет. Да еще и на вопрос врачу, проводившему исследование, что это значит, часто можно услышать ответ, что все пояснения получите у лечащего доктора. Постараюсь объяснить, что означает эта фраза, как с этим жить и как попробовать исправить.

В задачу врача УЗД не входит установка диагноза, от него требуется правильное описание структуры органов, и в случае, если есть изменения, конкретизировать их, помочь клиницисту, т.е. лечащему врачу, определиться с диагнозом. По-этому необходимо к фразе "диффузные изменения печени" добавлять, какого характера изменения, наиболее часто это фраза "по типу стеатоза", или что-нибудь подобное, значительно реже "по типу цирроза"(очень серьёзное заболевание с неблагоприятным прогнозом), еще реже какой нибудь другой вариант диффузных изменений. Исходя из выше сказанного, когда в заключении есть только это словосочетание---диффузные изменения печени, то речь о стеатозе печени. Другими словами, это жировой гепатоз или жировая дистрофия печени (от греч. dys — нарушение и trophо— питаю) , или как стало модно называть, жировая болезнь печени(алкогольная или чаще неалкогольная). Суть ее в том, что в печени накапливается жир, причем как в клетках(гепатоцитах) так и в межклеточном пространстве.

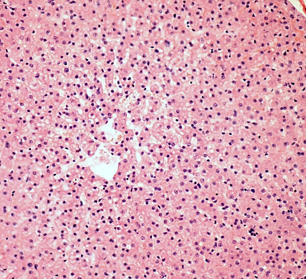
Нормальная микроструктура печени.
Нормальная микроструктура печени.
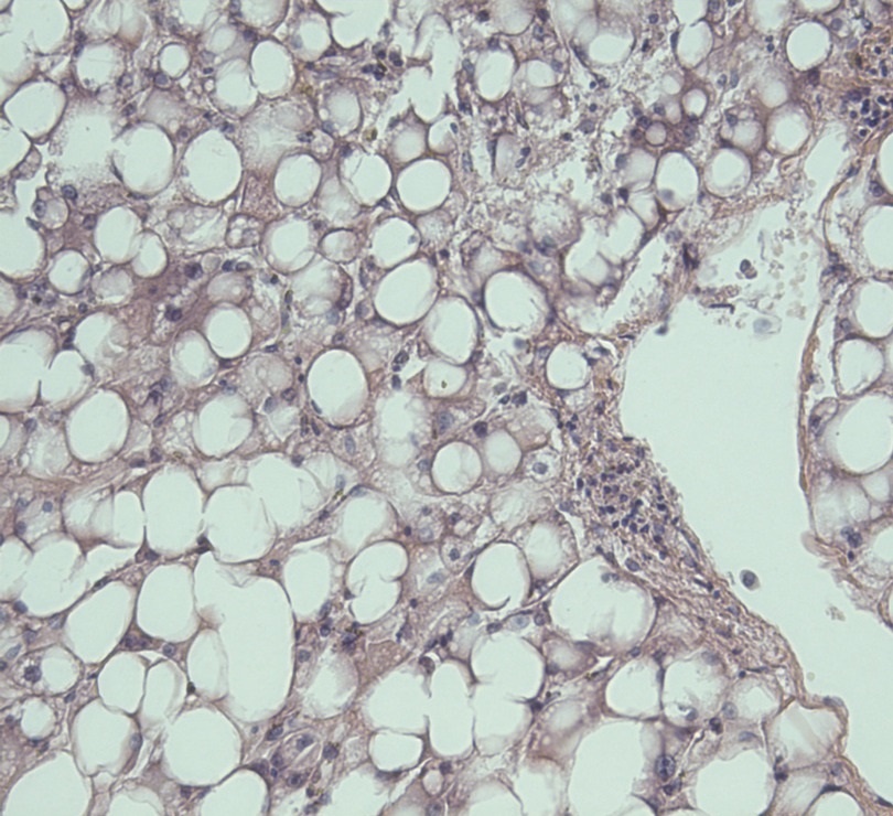
Клетки печени, заполненные жиром.
Клетки печени, заполненные жиром.

Врач УЗД естественно не может увидеть изображение, как на картинках под микроскопом, но изменения микроструктуры печени ведет к характерным изменениям ультразвуковой картины, и чем больше в печени накоплено липидов, тем большие изменения регистрируются, иногда они еле различимы, и не всякий доктор укажет о них в заключении, а иногда настолько явные, что так и хочется дописать "махровый" стеатоз.

Печень очень терпеливый орган, она способна долго переносить издевательства хозяина над ней без видимых проявлений, даже при значительно измененной ультразвуковой картине может не быть сдвигов в анализах, и человек не чувствует себя больным, функция печени при жировой дистрофии в течение длительного времени остается нормальной. Но все бывает, как говориться, до поры. По-этому важно, даже если вы себя чувствуете хорошо, позаботиться о печени.

В современных реалиях основной причиной является неправильное питание, хотя некоторые гепатологи захотят подискутировать об этом. В доказательство приведу тот факт, что работая врачом УЗД в силовом ведомстве, я нередко вижу изменения в печени у молодых (30-50 лет) практически здоровых людей с избыточной массой тела, большей или меньшей, которые проходят медосмотры и диспансеризацию. В городской поликлинике, где совмещаю, приходят люди в большинстве, с различной хронической патологией и более старшего возраста, а частота встречаемости диффузных изменений печени не выше. Следующими причинами жирового гепатоза могут являться употребление алкоголя, эндокринные нарушения, наследственные заболевания и т.д.

Механизм накопления жира в печени связан с избыточным поступлением жирных кислот и триглицеридов в клетку, нарушением их утилизации, а так же со снижением выведения липидов из печеночной клетки вследствие уменьшения количества специфического белка апопротеина, который для этого необходим.

Очень простое и трудное лечение.

Жировая дистрофия печени обратима. ПРАВИЛЬНОЕ питание стоит во главе угла. Имеет значение как общий суточный калораж съеденного за день, так и его состав, кратность и режим питания. Очень неблагоприятно влияет вечернее переедание, потребление на ночь значительного количества углеводов и тем более жиров приведет к жировому гепатозу (нутрициологи советуют на ужин употреблять белковые продукты). В большинстве случаев никакого медикаментозного лечения не требуется(в случае развития стеатоза печени на фоне сахарного диабета и инсулинорезистентности необходима помощь эндокринолога). Именно по-этому простое. Еще раз!!! СБАЛАНСИРОВАННОЕ, а это значит умеренное, с нужными пропорциями белков, жиров и углеводов, необходимым количеством клетчатки, витаминов и минералов, соблюдение режима питания. И потому трудное. Далеко не всем по силам отказаться от своих пищевых привычек. Какое-то время нужно недополучать суточное количество калорий. Надо иметь в виду, что организм расходует жировые накопления не только из печени, и чем больше избыток массы тела, тем дольше предстоит придерживаться гипокалорийной диеты. При этом необходимо, чтоб белок поступал в организм в достаточном количестве (помните про апопротеин?). Нутрициология и диетология способны помочь в избавлении от жирового гепатоза печени. Правильное питание, нутрициология - это очень большая, непростая , объемная и сложная тема и по-этому здесь столь краткий постулат.

Хочу поведать про себя---когда переквалифицировался из хирургов во врача УЗД, проходил так называемую первичку. Мы, курсанты, учились проводить исследования друг на друге, и у трети мужчин в группе наш преподаватель сразу указывал на наличие признаков жирового гепатоза печени, в том числе и у меня имелись умеренно выраженные изменения. И на одной из лекций преподаватель рассказал, что однажды у него был пациент с характерными для жирового гепатоза признаками, а через пару месяцев при повторном исследовании печень была нормального вида, и на вопрос, как это удалось, человек сказал, что прошел курс лечебного голодания. Я тогда тоже задумывался о голодании и после выявленного стеатоза печени решился на него. В первый раз я выдержал 15 дней без еды ( голодание это тема отдельного разговора). Плюс пересмотрел свои пищевые привычки. И с тех пор моя печень выглядит здоровой.

Так вот не зря говорится, мы есть то, что мы едим. Очень многие патологии в нас из-за нашего неправильного питания. Избыточное, несбалансированное, рафинированное. Большинству надо что-то менять в своем рационе. Мотивируйте себя, и активное долголетие будет приятным бонусом.

#здоровье человека