Найти в Дзене
GoodWoman

Я беременна. На УЗИ не увидели эмбрион

Две полоски на тесте, вы их ждали, вы им рады. Но это первая беременность и вы вообще не знаете, как это будет, что нужно делать? Я была в точно такой же ситуации. Первое, что я сделала - это записалась на анализ крови на гормон ХГЧ в платную лабораторию. Если вы придете в женскую консультацию на раннем сроке, вам все равно ничего не скажут и отправят домой. На учет ставят только с 8-10 недели. У меня была всего лишь 4 неделя по подсчетам. Подсчеты недель. Я вообще не могла понять, как же считать эти недели, от какого срока? Считать нужно от первого дня последней менструации. Это и есть акушерские недели (акушерский срок). Считают так, потому что невозможно определить конкретный день зачатия. Получив результаты анализов стало ясно - ура, беременность есть! Записалась на прием в женскую. На приеме врач посмотрела анализ крови, завела карту беременной и отправила на узи, чтобы подтвердить маточную беременность и исключить внематочную. Срок был около 5 недель, тянуло живот. Вообще сим

Две полоски на тесте, вы их ждали, вы им рады. Но это первая беременность и вы вообще не знаете, как это будет, что нужно делать?

Я была в точно такой же ситуации.

Первое, что я сделала - это записалась на анализ крови на гормон ХГЧ в платную лабораторию. Если вы придете в женскую консультацию на раннем сроке, вам все равно ничего не скажут и отправят домой. На учет ставят только с 8-10 недели. У меня была всего лишь 4 неделя по подсчетам.

Подсчеты недель. Я вообще не могла понять, как же считать эти недели, от какого срока? Считать нужно от первого дня последней менструации. Это и есть акушерские недели (акушерский срок). Считают так, потому что невозможно определить конкретный день зачатия.

Получив результаты анализов стало ясно - ура, беременность есть! Записалась на прием в женскую. На приеме врач посмотрела анализ крови, завела карту беременной и отправила на узи, чтобы подтвердить маточную беременность и исключить внематочную. Срок был около 5 недель, тянуло живот.

Вообще симптомы беременности очень похожи на ПМС и на начальную простуду. Живот тянет, слабость, спать хочется, грудь болит, вялость, тошнота и ощущение, как-будто есть небольшая температура.

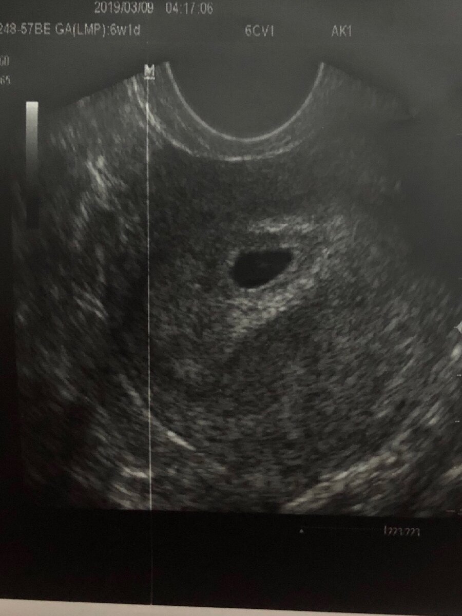
На раннем сроке УЗИ делают внутренним датчиком, такая себе процедурка, как будто не санкционированный половой акт. С результатом УЗИ возвращаюсь к своему врачу, она смотрит, говорит эмбрион не видно, пройдите УЗИ через две недели, возможно анэмбриония (пустое плодное яйцо).

УЗИ на сроке 5 недель, видно пустое плодное яйцо без эмбриона
УЗИ на сроке 5 недель, видно пустое плодное яйцо без эмбриона

Эти две недели ожидания дались не просто. Из счастливой беременной девушки, я превратилась в нервную барышню. Я уже привыкла к мысли, что беременна и жду малыша. А теперь стало не понятно, да или нет. А если всё-таки плодное яйцо пустое, то меня ждала чистка и пол года восстановления. Муж поддерживал меня как мог, больше мы пока никому не сообщали.

В сомнения вводила противоречивая информация в интернете. Кто-то пишет, что срок ещё очень маленький, поэтому и эмбрион не видно. Кто-то пишет, что если в 5 недель внутренним датчиком не увидели, то шансов нет.

Настал день второго УЗИ, шла на него с огромной надеждой и мандражом. Мужа не отпустили с работы, поэтому я рассказала подруге и мы поехали вместе с ней. И кстати, УЗИ пришлось проходить платно, потому что в женской направление могут дать только один раз.

Как назло бесконечное время ожидания в очереди. Захожу, все тот же мой любимый внутренний датчик, врач вдумчиво смотрит в монитор, что-то нажимает : «Тук-тук-тук. Слышите? Думаю вопросов нет»

-3

Это сердечко, сердечко нашей крохи. Я была очень рада. Дальше постановка на учет в 10 недель и куча приятных хлопот.

Где-то через год забеременела моя подруга. Повторилась та же история, только ее уложили в стационар на 3 недели, гоняли на УЗИ каждую неделю, начиная с четвертой. Уже предлагали делать чистку, я уговорила ее отказаться и попозже съездить вместе в платную клинику на УЗИ. И вот только после 7 полных недель врач увидел плод и услышал сердцебиение. Через пару неделек ей уже рожать. А могло случиться непоправимое.

Никого не слушайте, не паникуйте раньше времени, обязательно все перепроверьте тысячу раз. Думаю, даже не стоит идти в женскую раньше 8 недель, только нервы помотают.