Добавить в корзинуПозвонить
Найти в Дзене

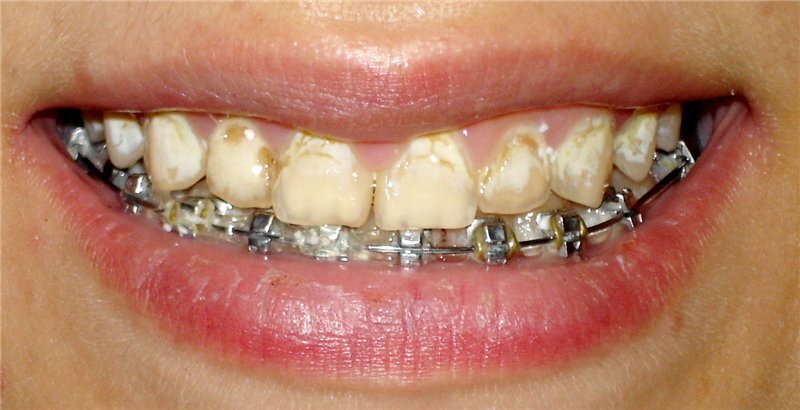
Как сохранить зубы в брекетах?

Один из основных страхов во время ортодонического лечения – это разрушение зубов от брекет-системы. Не так страшен черт, как его малюют! Главное придерживаться простых правил: 1. Качественная гигиена полости рта. 2. Своевременное посещение стоматолога-гигиениста. 3. Выбор брекет-системы. Главный принцип при чистке зубов, как с брекет-техникой, так и без нее – это не лениться! Для качественной индивидуальной гигиены полости рта вам понадобится: 1. Ортодонтическая щетка с V-образным расположением щетины, для более эффективного очищения поверхности зубов с брекетами. 2. Межзубный ёршик, который позволяет очистить пространства под дугой и вокруг брекетов. 3. Монопучковая щетка, позволит очистить пространства вокруг брекетов, особенно удобна для чистки зубов с щечными трубками. 4. Зубная нить, с помощью которой вы сможете очистить зубные промежутки. 5. Ирригатор - это домашнее устройство для удаления остатков пищи из межзубных промежутков и вокруг брекета. Принцип работы очень прост

Один из основных страхов во время ортодонического лечения – это разрушение зубов от брекет-системы.

Не так страшен черт, как его малюют!

Главное придерживаться простых правил:

1. Качественная гигиена полости рта.

2. Своевременное посещение стоматолога-гигиениста.

3. Выбор брекет-системы.

Главный принцип при чистке зубов, как с брекет-техникой, так и без нее – это не лениться!

Для качественной индивидуальной гигиены полости рта вам понадобится:

1. Ортодонтическая щетка с V-образным расположением щетины, для более эффективного очищения поверхности зубов с брекетами.

-2

2. Межзубный ёршик, который позволяет очистить пространства под дугой и вокруг брекетов.

-3

3. Монопучковая щетка, позволит очистить пространства вокруг брекетов, особенно удобна для чистки зубов с щечными трубками.

-4

4. Зубная нить, с помощью которой вы сможете очистить зубные промежутки.

-5

5. Ирригатор - это домашнее устройство для удаления остатков пищи из межзубных промежутков и вокруг брекета. Принцип работы очень прост. При помощи компрессора подается мощная струя воды, которая и очищает наши зубки.

-6

Использование этих простых инструментов избавит вас от проблем со здоровьем зубов.

Важно помнить, что чистка зубов должна длиться порядка 8-10 минут два- три раза в день.

Просто пройтись щеткой и ершиком по зубам, ради приличия - не принесет никаких результатов.

Соблюдайте простые правила и проблем со здоровьем зубов у вас не будет. Всем красивых улыбок.❤