Добавить в корзинуПозвонить
Найти в Дзене
Юлия Селютина

Лечение 9 зубов у 1.8-летнего малыша под наркозом

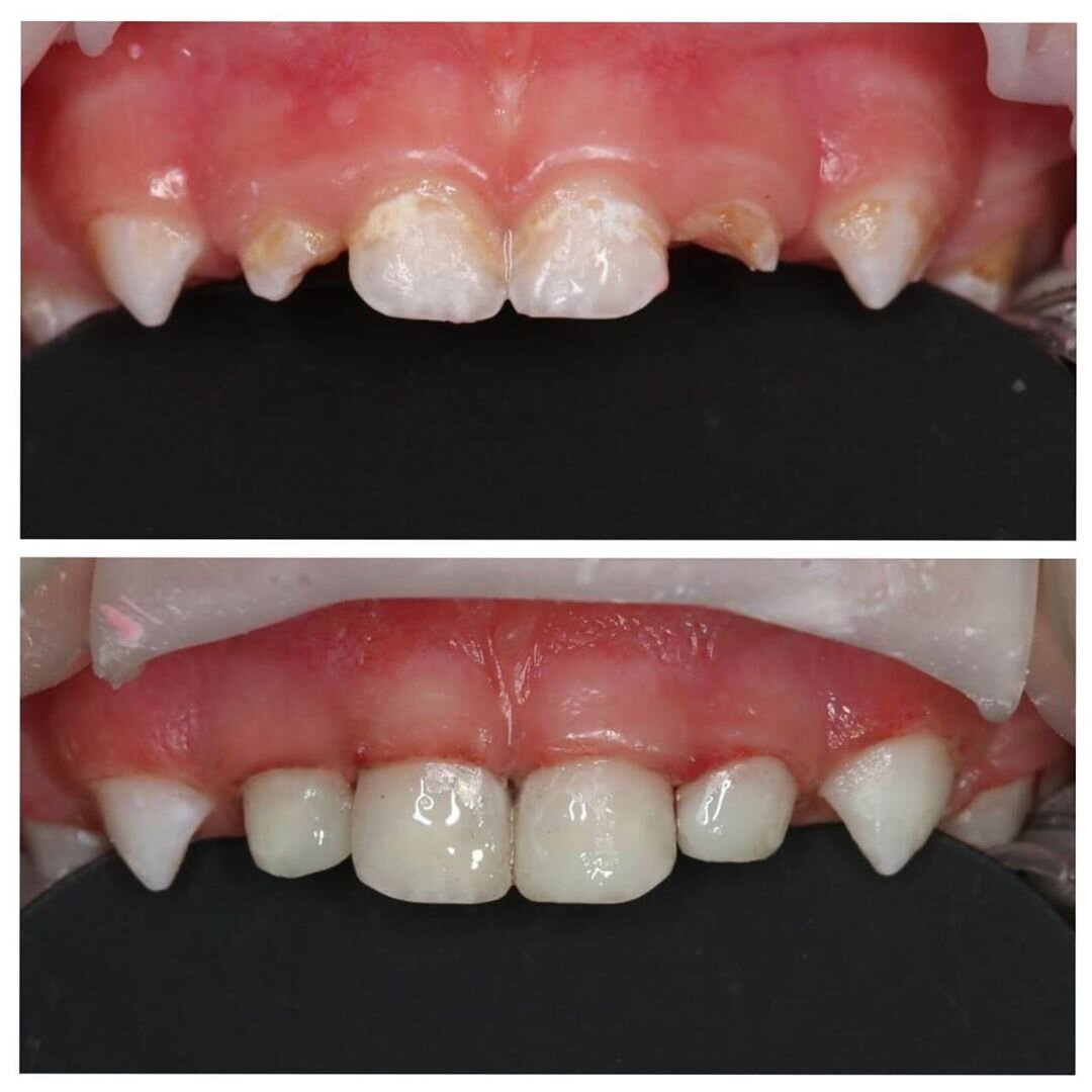
Больше половины зубов малыша поражено кариесом.. Предыстория. 1. Полгода назад пациент прошел курс антибиотикотерапии и после этого на зубах появился трудносчищаемый налет. А еще дополнением послужили нерегулярная гигиена и частые перекусы. ✔Налет этот специфический, имеет множество оттенков - от желтого до коричневого. Появляется при длительном приеме некоторых лекарств, в том числе антибиотиков. Счистить такой налет дома практически невозможно. 2. К этому налету добавилась плохая гигиена полости рта. К зубкам прилипало еще больше остатков пищи, и это создало благоприятнейшую почву для размножения бактерий. Зубки малыша стали стремительно портиться, буквально таяли на глазах. К врачу не пошли из-за карантина, а когда он закончился, во рту была уже вот такая картина. Ребенку 1,8 года. Совсем малыш! Зубки очень слабые, защищенность от кариеса на крайне низком уровне. Объем работы большой, концентрация нужна максимальная, а такой малыш долго не просидит и не даст полечить. П

Больше половины зубов малыша поражено кариесом..

Предыстория.

1. Полгода назад пациент прошел курс антибиотикотерапии и после этого на зубах появился трудносчищаемый налет. А еще дополнением послужили нерегулярная гигиена и частые перекусы.

✔Налет этот специфический, имеет множество оттенков - от желтого до коричневого.

Появляется при длительном приеме некоторых лекарств, в том числе антибиотиков.

Счистить такой налет дома практически невозможно.

2. К этому налету добавилась плохая гигиена полости рта.

К зубкам прилипало еще больше остатков пищи, и это создало благоприятнейшую почву для размножения бактерий.

Зубки малыша стали стремительно портиться, буквально таяли на глазах.

К врачу не пошли из-за карантина, а когда он закончился, во рту была уже вот такая картина.

Ребенку 1,8 года.

Совсем малыш!

Зубки очень слабые, защищенность от кариеса на крайне низком уровне.

Объем работы большой, концентрация нужна максимальная, а такой малыш долго не просидит и не даст полечить.

Поэтому лечение в #ЦентрСелютиной проводилось в условиях глубокой седации.

• Три часа в наркозе.

• Из них полчаса - это работа анестезиолога.

• Остальное время потребовалось для лечения и восстановления 9 зубов.

• Пролечено 2 пульпита - это когда из зуба удаляется "нерв".

• Остальные 7 зубов вылечены от кариеса, а всего у ребенка на данный момент 16 зубов.

Ни один не потерян!

Все здоровые и восстановленные!

Сейчас они под нашим наблюдением, встречаемся 1 раз каждые три месяца для осмотра и проведения профессиональной гигиены.

Ну и конечно, тщательный домашний уход тоже никто не отменял.

Напомню: при приеме антибиотиков соблюдайте правила гигиены и питания, не делайте скидок на болезнь, чтобы лечь спать с нечищенными зубами.

После выздоровления меняйте щетку на новую.

✔О том, как ухаживать за детскими зубками, о видах налета, лечении, прорезывании, травмах зубов и формировании прикуса я рассказываю на своем курсе для родителей: https://webinar.selyutina.ru/parentsparents

ИМЕЮТСЯ ПРОТИВОПОКАЗАНИЯ. НЕОБХОДИМА КОНСУЛЬТАЦИЯ СПЕЦИАЛИСТА.