Найти в Дзене
Dent-Hunter

Что такое ретинированные зубы, отчего они появляются и как их лечить

В практике стоматологов нередко встречаются случаи, когда у пациента полностью формируется, но не прорезывается зуб. Его называют «ретинированным», а проблему лечат специальными методами. Сформированные, но «застрявшие» внутри челюсти зубы могут вызывать воспалительные процессы: перикоронарит, периодонтит, периостит, абсцесс, флегмону и т. д. Лечение проводится различными методами, от удаления до ношения специализированных брекет-систем. Снизить риск появления ретенированного зуба помогает профилактика, например, ношение трейнеров, которые подготавливают челюсть к появлению новых зубов. Что собой представляет ретенция. Почему развивается патология. Симптомы и диагностика Ретенция считается одной из самых часто встречающихся аномалий прорезывания зубов. Чаще всего проблемы возникают с нижними и верхними «зубами мудрости», которые вырастают неправильно. С ними обычно сталкиваются взрослые. У детей обычный ретинированный зуб – это клык верхней челюсти. Неприятные сюрпризы нередко препод
Оглавление

В практике стоматологов нередко встречаются случаи, когда у пациента полностью формируется, но не прорезывается зуб. Его называют «ретинированным», а проблему лечат специальными методами. Сформированные, но «застрявшие» внутри челюсти зубы могут вызывать воспалительные процессы: перикоронарит, периодонтит, периостит, абсцесс, флегмону и т. д. Лечение проводится различными методами, от удаления до ношения специализированных брекет-систем. Снизить риск появления ретенированного зуба помогает профилактика, например, ношение трейнеров, которые подготавливают челюсть к появлению новых зубов.

Что собой представляет ретенция. Почему развивается патология. Симптомы и диагностика

Ретенция считается одной из самых часто встречающихся аномалий прорезывания зубов. Чаще всего проблемы возникают с нижними и верхними «зубами мудрости», которые вырастают неправильно. С ними обычно сталкиваются взрослые. У детей обычный ретинированный зуб – это клык верхней челюсти. Неприятные сюрпризы нередко преподносят и вторые премоляры нижней челюсти.

Симптомы появления непрорезавшихся зубов зависят от владельца. Проблема может вообще никак себя не проявлять, а может и стать причиной постоянных визитов к стоматологу. Многообразие симптомов и их отсутствие связано с тем, что само по себе неправильное расположение зуба или его неполное прорезывание – явление для человека практически естественное. Примерно 35-45% «восьмерок мудрости» у взрослых людей – это ретинированные зубы. Сложности начинают возникать, когда такой моляр или премоляр вызывает раздражение мягких тканей вокруг. По косвенным признакам – боли или воспалению – врач и выявляет «неправильный» зуб.

Полуретинированные зубы видно сразу при первом же осмотре: они частично вырастают, но не до конца. От таких отчасти прорезавшихся моляров и премоляров проблем намного больше: располагаясь частично в мягких тканях они почти всегда вызывают воспаление. Диагностировать специально их не требуется: почти всегда врач находит такие зубы при обычном осмотре.

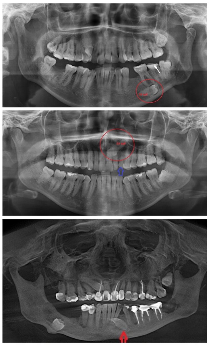
Найти полностью ретинированные зубы – это настоящий квест. Их может быть вообще не видно, потому что они расположились под существующими элементами зубного ряда. В таком случае вариант диагностики только один: необходимо делать полный снимок челюсти, на котором будет отлично видно всю картину. Ниже на картинке – подборка примеров. Ретинированные зубы отмечены красным или стрелками.

Примеры ретинированных зубов на рентгеновском снимке
Примеры ретинированных зубов на рентгеновском снимке

Виды зубной ретенции

Классификаций зубной ретенции немало. Один из самых популярных способов деления – по степени прорезывания. Так, выделяют полуретинированные зубы, которые частично видны в десне, и полностью скрытые – находящиеся под десной или костной тканью. Последние для пальпации недоступны. Если ретинированный зуб находится в тканях десны, в диагнозе будет написано «с тканевым погружением», если же он располагается в кости – «с костным погружением».

Еще один метод классификации учитывает положение моляра, клыка или премоляра:

  • вертикальное,
  • горизонтальное,
  • угловое.

Горизонтальные зубы также могут быть поперечными, сагиттальными или косыми, а угловые – медиально-, дистально-, язычно- или щечно-угловыми. Редко, но все же встречаются обратные ретинированные зубы – это элементы, которые растут «вверх ногами», т. е. коронка их направлена в сторону челюсти.

Причины появления ретинированных зубов. Можно ли предотвратить ретенцию

Наиболее популярная причина появления ретинированных зубов – это генетическая предрасположенность. Причем передается по наследству не желание клыков и моляров расти «кто в лес, кто по дрова», а строение челюсти. Она может быть узкой, отчего всем необходимым элементам зубного ряда просто не хватает места. Но есть и другие причины:

  • неправильный прикус, который сформировался из-за вредных миофункциональных привычек или механических травм;
  • ранняя потеря молочных зубов, из-за которой у постоянных нет ориентиров для роста;
  • «лишние» зубы – атавизм, носящий название полиодонтия;
  • изначально больные зубные зачатки.

В некоторых случаях проблемы с ретенцией можно предупредить. Некоторые ортодонты и детские стоматологи рекомендуют использовать трейнеры, чтобы развить зубную дугу и дать растущим клыкам и молярам ориентир для прорезывания. Если же проблемы наследственного характера, поможет только своевременное лечение.

Про трейнеры можно подробнее прочитать в статье: Трейнеры для выравнивания зубов: описание, разновидности, советы по использованию

Чем опасны ретинированные зубы

Несмотря на то, что иногда непрорезавшиеся зубы никак не мешают человеку, нужно понимать, что каждый ретинированный зуб – это потенциальная причина тяжелых и неприятных заболеваний. Они приводят к следующим проблемам:

  • воспалительные процессы;
  • незаживающие язвы на деснах, щеках;
  • постоянное появление кариеса, пульпита;
  • появление десневых карманов, из-за которых может развиться пародонтит;
  • инфекционные процессы, нередко приводящие к остеомиелиту (гнойное поражение челюстей).

Отсутствие симптомов почти всегда следствие счастливого случая, а не нормальное развитие событий. Поэтому с таким диагнозом очень важно постоянно наблюдаться у врача.

Принципы лечения: можно ли избежать операции

Многие пациенты уверены, что ретинированный дистопированный зуб – это обязательно повод для хирургического вмешательства. Но стоматологи стараются не резать без серьезной на то причины. Поэтому, если ваши лишние зубы не воспалены и не мешают вам жить, вполне можно избежать операции. Еще врач может назначить установку жестких металлических брекетов, которые «вытянут» частично прорезавшийся зуб из тканей десны и впишут в зубной ряд.

Обычно лечение проходит следующим образом:

  • Проходит диагностика, которая включает визуальный осмотр и создание панорамного снимка челюсти.
  • Врач изучает результаты и принимает решение о том, нужно ли удалять зуб. Если да, то назначается операция.
  • Если стоматолог видит другие способы решения проблемы, он предпочитает их. В первую очередь рассматривается установка брекет-системы. Для этого нужно, чтобы в зубном ряду было место, где мог бы разместиться новый элемент.
  • Если брекеты не требуются или пока их нельзя поставить, врач пытается помочь зубу прорезаться. Для этого используют медикаменты и хирургическое вмешательство. Помощь в прорезывании часто используется, когда «зуб мудрости» частично остался под десной, но располагается правильно.

В арсенале современных врачей много способов лечения, но все полностью зависит от конкретного случая.

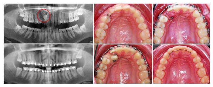
Этапы лечения ретинированного зуба
Этапы лечения ретинированного зуба

Когда требуется удалять ретинированный зуб. Зачем удалять ретинированные зубы

Даже опытный врач-хирург скажет, что удаление ретинированного дистопированного зуба – это серьезная и сложная операция, которую не стоит проводить без нужды. Поэтому она показана в следующих случаях:

  • появилось воспаление мягких тканей (перикоронит) или челюсти (остеомиелит);
  • зуб расположен в фолликулярной кисте или растет горизонтально;
  • диагностирована киста или доброкачественное образование;
  • обнаружен гной или бактериальное заражение.

Техника удаления

Удаление должно проводиться опытным врачом, который знает специфику работы с ретинированными зубами. Главная проблема здесь – неудобное их расположение, поэтому новичку с проблемой справиться сложно. Удаление проходит в несколько этапов:

  • Выполнение местной анестезии (при сложном положении зуба можно использовать общий наркоз).
  • Надрез слизистой оболочки.
  • Сверление костной ткани для получения отверстия.
  • Изъятие зуба.
  • Удаление обломков зуба или кости.
  • Обработка раны.
  • Наложение швов.
  • Снятие швов через неделю после операции.

Нередко врачу приходится сначала дробить, а потом удалять зуб, чтобы не повредить соседние моляры и слизистую.

Противопоказания

Отложить операцию придется по следующим причинам:

  • тяжелое состояние пациента из-за болезни любого рода;
  • гипертонический криз;
  • нервные проблемы или психические нарушения;
  • вирусные инфекции;
  • болезни крови;
  • серьезные проблемы с сердцем.

Женщинам данную операцию не делают за 2-3 дня до начала менструации и после аборта (должно пройти не меньше 2 недель).

Какие осложнения бывают после удаления ретинированных зубов. Как их избежать

Любая операция может дать осложнения, и хирургическое лечение ретинированного зуба – не исключение. Чаще всего последствия проявляются в качестве сильных кровотечений, боли, опухлостей десны или щеки. Если были задеты нервы, может проявиться повышенная чувствительность или нечувствительность рта, лица. Из-за неверных действий врачей больной сталкивается с вывихом челюсти или даже ее переломом.

Избежать проблем после операции пациент может, если он обращается в проверенную клинику (исключение человеческого фактора) и тщательно ухаживает за появившейся во рту ранкой. Сразу после операции пациент должен:

  • отказаться от пищи в течение 3-4 часов;
  • не курить хотя бы 3 часа;
  • отказаться от алкоголя до снятия швов.

Важно обязательно прийти на повторный прием к хирургу или терапевту. Необходимо следить за кровотечением: если оно не останавливается слишком долго или обезболивающие не работают, в стоматологию нужно обратиться сразу же. Своевременная помощь поможет избежать неприятных последствий.

Послеоперационный уход после удаления ретинированного зуба

Врач обязан проконсультировать пациента, как правильно ухаживать за ранкой на десне. Так как удаление ретинированного зуба – это полноценная операция, соблюдать правила ухода обязательно. Пациенту необходимо:

  • снизить до минимума физическую активность в течение 2-3 дней после операции;
  • отказаться от горячих и холодных блюд и жидкостей;
  • сменить зубную щетку на мягкую;
  • принимать только теплый душ или ванну, не посещать бани и сауны;
  • пить все прописанные врачом препараты (обычно назначается антибактериальная терапия).

Важно не полоскать рот, чтобы не нарушить заживление. Можно делать аккуратные ванночки (в рот набирается жидкость или травяной отвар, держится без полоскания и сплевывается), но все процедуры согласуйте с врачом.

Консервативные способы лечения ретенции

Если зуб расположен в десне правильно и помехи для прорезывания минимальны, врачи стараются не удалять его, а вернуть на предназначенное природой место. Для этого используются разные методы:

  • лазерная коррекция;
  • токовые импульсы;
  • массаж десен;
  • электрофорез;
  • некоторые лекарственные средства.

Все эти способы лечения направлены на то, чтобы заставить коронку зуба избавиться от десневого капюшона самостоятельно. Частично они имитируют естественный процесс прорезывания клыков и моляров. Но доступность такого лечения зависит от ситуации.

Как стимулировать прорезывание зуба

Стимуляция прорезывания ретинированного зуба – это тоже один из способов лечения проблемы. Врач прописывает специализированные процедуры, если видит, что моляр или клык располагается правильно, но корни его еще не сформировались. Тогда ортодонт рекомендует:

  • проведение вакуумного массажа специальным оборудованием;
  • легкий пальцевый массаж в месте прорезывания;
  • электростимуляцию;
  • воздействие ультразвуком, лазером, вибровакуумными аппаратами и т. д.

Подобные методы направлены на восстановление кровообращения, ускорение обменных процессов в десне.

Выводы. Советы специалиста

Ретинированный зуб – это моляр, премоляр или резец, который оказался скрыт в костной или десневой ткани. Если часть зуба видна, его называют полуретинированным. С такой проблемой сталкиваются многие дети и около 40% взрослых, когда у них режутся «восьмерки». Само по себе появление неправильно расположенных зубов может пройти незамеченным – симптомами обладают смежные заболевания. Так, кариес у скрытого в десне зуба почти всегда вызывает воспаление близлежащих тканей.

Считается, что ретинированные дистопированные зубы – это наследственная проблема. Но они могут появиться вследствие неправильного прикуса. Улучшить ретенцию можно с помощью хирургического вмешательства или консервативных способов: массажа, электрофореза и др. Некоторые стоматологи рекомендуют носить трейнеры, которые помогают развить зубную дугу и снизить риск неправильного прорезывания.

Почти всегда ортодонт старается вернуть зуб в зубной ряд, используя брекеты и другие методы воздействия. Если не получается, то врач удаляет инородный элемент. Операция сложная, поэтому важно обращаться к специалисту. Успех во многом зависит не только от врача, но и от пациента: несоблюдение правил послеоперационного ухода приводит к осложнениям.

Что делать, если вы подозреваете у себя подобную проблему? Обратиться к врачу и постоянно наблюдаться у него. Стоматолог пропишет лечение и поможет не допустить осложнений.