Найти в Дзене

Лучшие методы обследования сосудов головного мозга

Лучшие методы обследования сосудов головного мозга Для получения точных результатов о качестве кровоснабжения структур головы в медицине используются разные методы обследования сосудов головного мозга. Классификация способов диагностики сосудистой системы мозга основывается: Как называется обследование сосудов головного мозга Любой метод обследования сосудов головного мозга принято называть ангиографией, где “ангио” в переводе с греческого означает “сосуд”, “графия” - “писать”. Она показывает функциональное состояние сосудов, окольного кровотока и протяжённость патологического процесса. В зависимости от способа получения изображения выделяют: Ультразвуковая допплерография УЗГД - это общедоступный метод обследования сосудов головного мозга и шеи. Она необходима в том случае, если нужно узнать, как происходит кровоток в сосудах мозга и шеи. С помощью ультразвука можно точно определить атеросклеротические аномалии в начале их развития и скорректировать методы лечения. Данное обследование
Оглавление

Лучшие методы обследования сосудов головного мозга

Для получения точных результатов о качестве кровоснабжения структур головы в медицине используются разные методы обследования сосудов головного мозга. Классификация способов диагностики сосудистой системы мозга основывается:

  • на степени инвазивности;
  • типе получения изображения - с помощью ультразвука, рентгеновских лучей, магнитного поля.

Как называется обследование сосудов головного мозга

Любой метод обследования сосудов головного мозга принято называть ангиографией, где “ангио” в переводе с греческого означает “сосуд”, “графия” - “писать”. Она показывает функциональное состояние сосудов, окольного кровотока и протяжённость патологического процесса. В зависимости от способа получения изображения выделяют:

  • УЗИ-ангиографию или ультразвуковую допплерографию
  • МР-ангиографию
  • Реоэнцефалографию
  • Классическую ангиографию

Ультразвуковая допплерография

УЗГД - это общедоступный метод обследования сосудов головного мозга и шеи. Она необходима в том случае, если нужно узнать, как происходит кровоток в сосудах мозга и шеи. С помощью ультразвука можно точно определить атеросклеротические аномалии в начале их развития и скорректировать методы лечения. Данное обследование очень хорошо показывает состояние сосудов шеи. Однако качественная диагностика сосудов головного мозга на нем затруднена, поскольку ультразвуковой сигнал не может пробиться сквозь костные структуры черепа взрослого человека. Проводят такое обследование как по направлению врача, так и по личной инициативе пациента. Перед тем, как отправиться на ультразвуковую допплерографию, за день до этого стоит отказаться от кофеина и никотина.

Реоэнцефалография

Чтобы определить эластичность кровеносных сосудов, их тонус, эффективность наполнения кровью, помогает высокочастотный электроток реографа, подаваемый на ткани человеческого организма. В свою очередь они отвечают колебаниями, которые мгновенно фиксируются. Реоэнцефалография дает возможность выявить работу венозной и артериальной систем мозга, определить наличие внутричерепной гипертензии, атеросклероза, сосудистой дистонии, субдуральной гематомы.

Ангиография

Ангиография сосудов головного мозга – это инструментальный рентгенологический метод исследования сосудистого русла. Для проведения обследования необходимо введение через прокол в сосуд головного мозга контрастного вещества на базе йода с последующей процедурой рентгенографии. Это инвазивный способ обследования головного мозга, который имеет определенный риск осложнений и не может считаться безопасным. Его более эффективной и безвредной альтернативой является КТ или МРТ сосудов головного мозга.

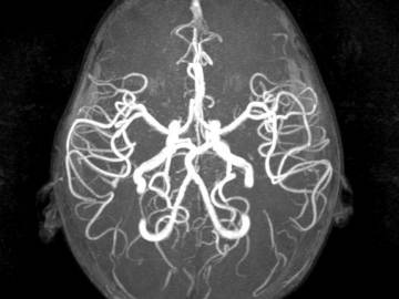
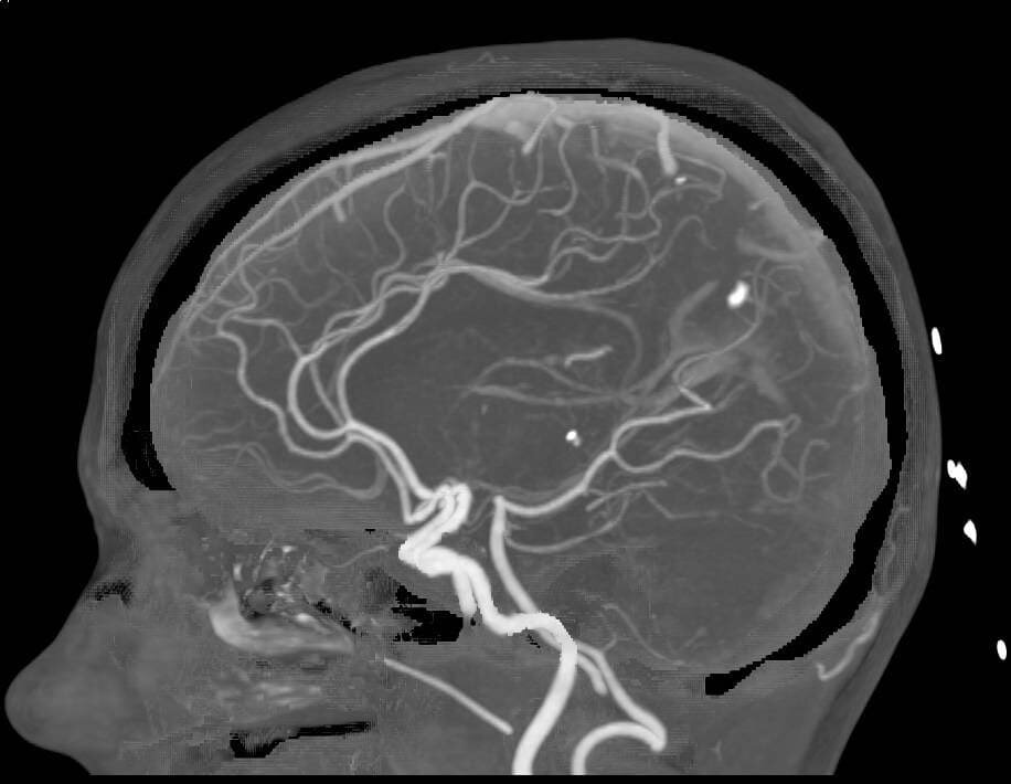
Компьютерная томография сосудов головного мозга

Компьютерная ангиография сосудов головного мозга – усовершенствованный метод диагностики, основанный на работе рентгеновских лучей. Она дает возможность получить детальные изображения артерий и вен головного мозга без стороннего вмешательства в организм пациента. Принцип визуализации сосудистого русла основывается на способности рентгеновских лучей с различной скоростью проходить сквозь ткани различной плотности. Для того, чтобы на КТ снимках врач мог качественно визуализировать сосуды, необходимо применение контрастного вещества на базе йода. Данная форма ангиографии дает очень точный результат, но, как и любая форма рентгенологического обследования, сопряжена с лучевой нагрузкой на организм. В среднем доза облучения за один сеанс сканирования составляет 3-5 мЗв.

-2

Как правило, КТ сосудов головного мозга применяют в следующих случаях:

  • есть подозрения на инсульт;
  • поиск аневризмы головного мозга;
  • диагностика атеросклероза;
  • оценка степени мальформаций и окклюзий.

Из-за лучевой нагрузки компьютерная томография противопоказана беременным женщинам. Поскольку при диагностике используют контрастное вещество, то круг лиц, которые не допускаются к обследованию, расширяется. В него добавляют категории граждан, у которых наблюдается:

  • Почечная/печеночная недостаточность;
  • Проблемы со щитовидной железой;
  • Аллергия на контраст.

Проведение КТ ангиографии головного мозга с контрастом требует исключить употребление пищи за 2 часа до обследования.

-3

Магнитно-резонансная томография сосудов головного мозга

МР-ангиография сосудов головного мозга работает с помощью безвредного магнитного поля и радиочастотных импульсов. Состояние сосудистого русла визуализируется за счет колебания атомов водорода в человеческих клетках под воздействием электромагнитных полей. На сегодняшний день это самый безопасный и информативный метод обследования сосудов головного мозга. Используют его для ангио-сканирования как взрослых, так и детей.

МРТ сосудов может применяться для дифференциальной диагностики широкого спектра сосудистых патологий, а именно:

  • аномального строения сосудистого русла;
  • окклюзий, перегибов, аневризмы;
  • диссекции;
  • ангиом;
  • васкулитов.

Среди противопоказаний к данной форме исследования стоит отметить:

  • Металлические элементы (импланты, штифты, клипсы);
  • Искусственные водители ритма.

Процедуры МРТ и КТ сосудов головного мозга схожи. Пациента отправляют на выдвижном столе внутрь цилиндр-образного аппарата. Однако МРТ сосудов головного мозга занимает больше времени. Средняя продолжительность компьютерного обследования головного мозга составляет 5 минут, а магнитного сканирования - 20 минут.

-4

Какой метод обследования лучше всего покажет сосуды головного мозга?

Ответ на вопрос, какой метод диагностики лучше покажет состояние сосудистого русла головного мозга, во многом зависит от целей обследования.

  • Самым безопасным считается МРТ обследование сосудов головного мозга и УЗИ сосудов головного мозга.
  • Самым травматичным считается классическая ангиография.
  • Самым информативным и чувствительным по спектру диагностических возможностей считается МРТ и КТ-ангиография сосудов головного мозга.
  • Самым доступным по цене является УЗГД.
  • Самую высокую дозу облучения пациент получает при компьютерной томографии.

Окончательное решение, какой способ обследования сосудов головного мозга следует выбрать, лучше отдать на откуп лечащего врача, который, исходя из целей диагностики, первичного диагноза и состояния вашего здоровья сможет подобрать наиболее оптимальную форму сканирования.

-5