Добавить в корзинуПозвонить
Найти в Дзене

Вчера, сегодня и завтра: рассеянный склероз

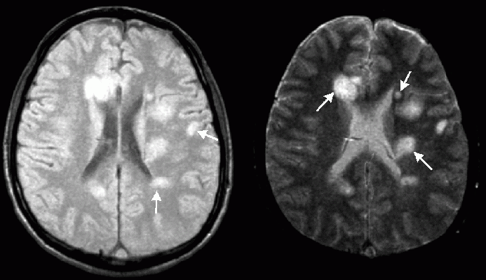
Рассеянный склероз - это хроническое аутоиммунное заболевание, которое поражает центральную нервную систему и поражает главным образом молодых людей. В то время как в прошлом диагноз рассеянного склероза был очень серьезным сообщением, и очень мало что можно было сделать, чтобы отсрочить инвалидность, в настоящее время врачи могут значительно снизить активность заболевания и замедлить его прогрессирование. Тем не менее, ранняя диагностика, соответствующее лечение и мониторинг течения заболевания имеют важное значение. Только так пациенты могут продолжать вести максимально полную жизнь. Откуда она взялась? Рассеянный склероз был впервые описан французским неврологом Жаном-Мартином Шарко (1825-1893) в 1848 году. Несмотря на то, что болезнь имела свое название, ее возможности диагностики и лечения были очень ограничены. Ее лечили золотом, электротерапией или гидротерапией. Исследование Луи-Антуана Ранвье (1835-1922), который описал структуру нервных волокон вместе с их защитной миелин
Оглавление

Рассеянный склероз - это хроническое аутоиммунное заболевание, которое поражает центральную нервную систему и поражает главным образом молодых людей.

Хотя это неизлечимое заболевание, медицина постоянно предлагает новые варианты лечения, которые позволяют людям с рассеянным склерозом жить качественной жизнью.
Хотя это неизлечимое заболевание, медицина постоянно предлагает новые варианты лечения, которые позволяют людям с рассеянным склерозом жить качественной жизнью.

В то время как в прошлом диагноз рассеянного склероза был очень серьезным сообщением, и очень мало что можно было сделать, чтобы отсрочить инвалидность, в настоящее время врачи могут значительно снизить активность заболевания и замедлить его прогрессирование.

Тем не менее, ранняя диагностика, соответствующее лечение и мониторинг течения заболевания имеют важное значение. Только так пациенты могут продолжать вести максимально полную жизнь.

Откуда она взялась?

Рассеянный склероз был впервые описан французским неврологом Жаном-Мартином Шарко (1825-1893) в 1848 году. Несмотря на то, что болезнь имела свое название, ее возможности диагностики и лечения были очень ограничены. Ее лечили золотом, электротерапией или гидротерапией.

Исследование Луи-Антуана Ранвье (1835-1922), который описал структуру нервных волокон вместе с их защитной миелиновой оболочкой , можно считать великим открытием в области болезней . В последующие годы врачи обнаружили, что, разрушая эту миелиновую оболочку, которая покрывает нервные волокна, которые являются частью нейронов, происходит постепенная потеря способности передавать информацию из центральной нервной системы во все тело.

Из-за очень ограниченных вариантов лечения, первая организация, которая поддержала исследование рассеянного склероза, была основана в Англии в 1953 году. Даже благодаря его созданию врачи обнаружили, что рассеянный склероз - это не заболевание крови, а аутоиммунное заболевание.
Из-за очень ограниченных вариантов лечения, первая организация, которая поддержала исследование рассеянного склероза, была основана в Англии в 1953 году. Даже благодаря его созданию врачи обнаружили, что рассеянный склероз - это не заболевание крови, а аутоиммунное заболевание.

Годы великих открытий

« В настоящее время это наиболее динамично развивающаяся отрасль неврологии, и каждый год добавляются новые современные лекарства, которые очень эффективны и могут в корне изменить жизнь диагностированных. Это также открывает широкие возможности для врачей, которые могут выбрать наиболее подходящий для пациентов препарат.

Благодаря этим возможностям болезнь может быть эффективно подавлена, и, следовательно, ее влияние на жизнь пациента может быть смягчено.

Более чем через 140 лет после того, как болезнь была впервые описана, исследователи показали, что можно лечить рассеянный склероз, и в 1993 году они одобрили первую, очевидно, эффективную терапию для этой болезни.
Более чем через 140 лет после того, как болезнь была впервые описана, исследователи показали, что можно лечить рассеянный склероз, и в 1993 году они одобрили первую, очевидно, эффективную терапию для этой болезни.

Сегодня и 25 лет назад

Прогноз пациентов сегодня и 25 лет назад существенно отличается. До 1993 года не было никаких специальных препаратов, которые могли бы замедлить прогрессирование рассеянного склероза, а также снизить его активность. Теперь мы также знаем, что не только один ген связан с рассеянным склерозом, а их около 200.

Мы также знаем четкие факторы риска заболевания, включая курение и ожирение. Низкий уровень витамина D в организме оказывает неблагоприятное воздействие на иммунную систему, и поэтому некоторые исследования указывают на то, что он является возможным фактором развития рассеянного склероза.

Ранее пациенты также не имели доступной симптоматической терапии, которая подавляла сопутствующие проявления заболевания. Сегодня работа с офтальмологом, если у пациента проблемы со зрением, или с урологом, имеющим проблемы с мочевым пузырем, является стандартной частью ухода за пациентом.

В Чешской Республике

существует уникальная сеть из 15 неврологических центров, специализирующихся на рассеянном склерозе, где специалисты лечат до 20 000 пациентов с этим заболеванием. Также уникальным является государственное постановление, согласно которому вновь диагностированные пациенты должны лечиться не позднее, чем через 4 недели после его показания, что значительно способствует раннему выявлению заболевания.