Добавить в корзинуПозвонить
Найти в Дзене
Юлия Селютина

Вот, как быстро прогрессирует кариес у детей!

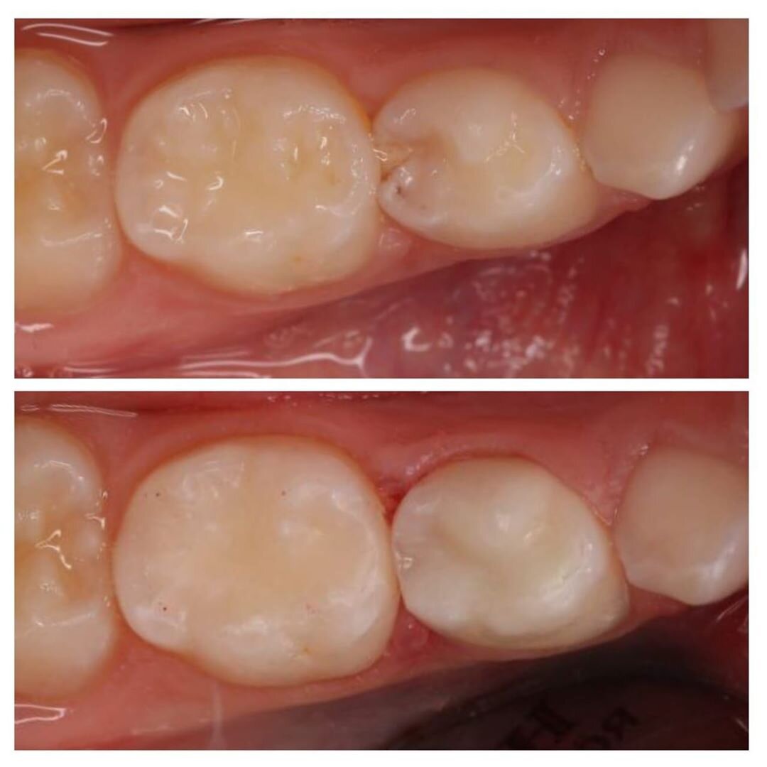
Кариес не дремлет! Ребенку 6 лет. Пришел на плановый осмотр к доктору Марии Штельмах. Сделали рентген и что увидели? Скрытый кариозный процесс! Посмотрите снимок в карусели, и сами увидите, насколько глубоко проник кариес. Такое нельзя оставлять надолго без внимания и поэтому вместе с родителями решили в следующее посещение зуб лечить. Но режим самоизоляции внес свои коррективы и на прием они уже приехать не смогли. Первичный осмотр и снимок были сделаны в конце марта. Спустя 1,5 месяца мы уже видим кариес без рентгена невооруженным глазом. Вот так быстро протекают у детей кариозные процессы! Задумайтесь в очередной раз, когда откладываете визит к детскому стоматологу. Полость стала намного глубже. Диагноз - пульпит. Зуб пролечили и восстановили пломбировочным материалом. Напоминаю, что на профосмотры нужно приходить не реже 1 раза в полгода. Особенно, если что-то беспокоит. ИМЕЮТСЯ ПРОТИВОПОКАЗАНИЯ. НЕОБХОДИМА КОНСУЛЬТАЦИЯ СПЕЦИАЛИСТА.

Кариес не дремлет!

Ребенку 6 лет.

Пришел на плановый осмотр к доктору Марии Штельмах.

Сделали рентген и что увидели?

Скрытый кариозный процесс! Посмотрите снимок в карусели, и сами увидите, насколько глубоко проник кариес.

Такое нельзя оставлять надолго без внимания и поэтому вместе с родителями решили в следующее посещение зуб лечить.

Но режим самоизоляции внес свои коррективы и на прием они уже приехать не смогли.

Первичный осмотр и снимок были сделаны в конце марта.

Спустя 1,5 месяца мы уже видим кариес без рентгена невооруженным глазом.

Вот так быстро протекают у детей кариозные процессы!

Задумайтесь в очередной раз, когда откладываете визит к детскому стоматологу.

Полость стала намного глубже.

Диагноз - пульпит.

Зуб пролечили и восстановили пломбировочным материалом.

Напоминаю, что на профосмотры нужно приходить не реже 1 раза в полгода.

Особенно, если что-то беспокоит.

ИМЕЮТСЯ ПРОТИВОПОКАЗАНИЯ. НЕОБХОДИМА КОНСУЛЬТАЦИЯ СПЕЦИАЛИСТА.

Картина на рентгеновском снимкеснимке. Стрелкой указано поражение
Картина на рентгеновском снимкеснимке. Стрелкой указано поражение
-2