Найти в Дзене

Нашим эмбрионам ставили Бетховена. Как сделать процедуру ЭКО романтичной?

Очень личная история получилась, немного посмеяться и немного задуматься. ЭКО не самый романтичный путь зачатия, но все зависит от вашего отношения к жизни и умения в целом кайфовать от всего, что с вами происходит, даже если это всё складывается не так как мы себе нарисовали. Нарисовать же мы себе можем в основном что-то не слишком оригинальное, все мы очень обусловлены культурными кодами, традициями, какими-то стереотипами и тд. Поэтому когда оказываемся в уникальной ситуации, а в ней мы все зачастую и оказываемся, ведь каждый человеческий опыт неповторим, тогда и  проявляется в полной мере наша способность принимать себя, мир, себя в мире, настраиваться на позитивные вибрации и все остальное, что советуют лайф-кручи и транссерфинги вместе взятые. Когда мы приняли решение об ЭКО и определились с врачом и клиникой, психологически стало намного легче. Я думаю, что первый признак того, что ты сделал правильный выбор - это ощущение легкости, радости и полного доверия. Поэтому все время
Фото из Интернета
Фото из Интернета

Очень личная история получилась, немного посмеяться и немного задуматься.

ЭКО не самый романтичный путь зачатия, но все зависит от вашего отношения к жизни и умения в целом кайфовать от всего, что с вами происходит, даже если это всё складывается не так как мы себе нарисовали. Нарисовать же мы себе можем в основном что-то не слишком оригинальное, все мы очень обусловлены культурными кодами, традициями, какими-то стереотипами и тд. Поэтому когда оказываемся в уникальной ситуации, а в ней мы все зачастую и оказываемся, ведь каждый человеческий опыт неповторим, тогда и  проявляется в полной мере наша способность принимать себя, мир, себя в мире, настраиваться на позитивные вибрации и все остальное, что советуют лайф-кручи и транссерфинги вместе взятые.

Когда мы приняли решение об ЭКО и определились с врачом и клиникой, психологически стало намного легче. Я думаю, что первый признак того, что ты сделал правильный выбор - это ощущение легкости, радости и полного доверия. Поэтому все время подготовки и предварительных этапов мы проходили не как уставшие и обреченные, а наоборот на подъёме, с полным ощущением праздника жизни. После каждого приема я выходила счастливой, тк чувствовала, что наконец-то мы вышли на финишную прямую на пути к заветной цели.

Мы очень много шутили на тему ЭКО, особенно Ваня, про новые технологии, детей будущего, что через поколение детей будут печатать на 3D принтере  Мужчинам вообще больше свойственно шутить на сакральные темы, у них отношение ко всему легче. Медсестра рассказала историю. Однажды в приемной образовалась очередь, и пациенткам вынесли чай с конфетками, чтобы они не скучали, но прошли мимо одного мужчины не предложив, на что он заметил: «Ну, конечно, с нас только сперма и деньги. Даже чаю не предложат»  С тех пор это стало излюбленным афоризмом афоризмом моего мужа в ситуациях когда он не получает от меня должного внимания. В общем-то в каждой шутке есть доля шутки.

Рецепт эко простой - яйцеклетки, сперматозоиды, деньги и люди в белых халатах. Не слишком романтично, но я уверена, что именно романтика и позитив внутри пары являются тем философским камнем, который превратит эти разрозненные элементы в золото.

На всем пути, который длился примерно полгода нас сопровождали удивительные совпадения. Например, незадолго до самого ЭКО у нас случился затык с работой и мы не понимали откуда нам взять 300 тыс рублей. Удивительно но факт, за 3 недели до пришёл заказ на работу над детским! приложением, и мы заработали ровно столько, сколько нам было нужно, притом деньги упали на счёт за день до оплаты. А перенос эмбрионов у нас выпадал на День Рождения мужа. Во всем этом я видела позитивные знаки.

Муж со своей стороны вносил креатив в весь процесс, и даже снял хорошее видео с моим участием.  Не могу обойти стороной этот лайфхак))) Уж не знаю, что там предлагают в той комнатке для «производства» семени, но после первого опыта, муж сказал, что нам нужно своё! Благо он режиссёр и сделал все художественно и красиво.

Самые сложные и волнительные дни начались после того как мы сдали наш «биологический материал», тут дело оставалось за врачами. Что там происходит за закрытыми дверями лаборатории? Время тянулось просто бесконечно. Иногда мы получали позитивные весточки от врачей, о том как развиваются наши эмбрионы.

На 4 день (как я уже писала, с этого дня у эмбриона включается свой собственный геном) должно было быть ясно, остались ли эмбрионы на перенос. Этот день выпал на великий праздник Курбам Байрам, а наша клиника по счастливой случайности находилась на улице Щепкина аккурат возле главной мечети, поэтому наш эмбриолог физически не мог пробраться на работу и ответить на наши письма. Все это время мы размышляли о том как повлияют массовые мусульманские молитвы на формирование эмбрионального генома. Маразм крепчал!

  Ближе к вечеру мы получили письмо:

«..развиваются все. Сколько вырастет завтра, узнаем по факту. В целом мне всё нравится! Бетховен играет уже 3й час. В данный момент Andante ».

Мы попросили поставить нашим эмбрионам классическую музыку, муж настоял на Бетховене, как самом исполняемом композиторе в мире. Хотя сейчас я думаю, что надо было ставить Моцарта.  Но тогда я ещё не прокачалась литературой по развитию детей и ничего не знала про эффект Моцарта.

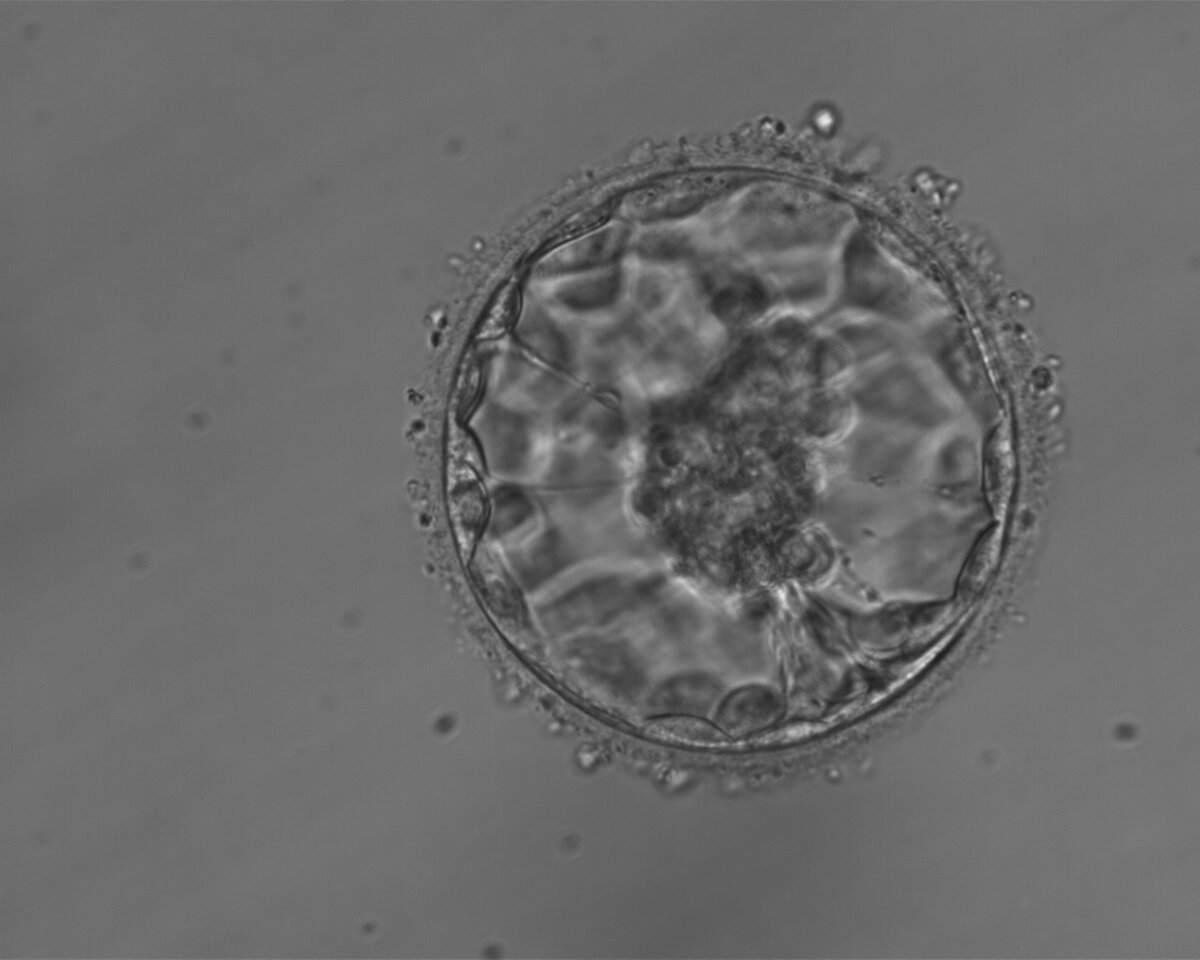
На следующий день, 13 сентября, в День Рождения мужа, мы отправились на самую главную встречу в нашей жизни. Перенос прошёл хорошо, это совершенно простая и безболезненная процедура. Мы получили самую первую фотографию нашего Янчика в возрасте 5 дней, я поставила ее на заставку в телефоне и больше не сомневалась в том, что все получится ️

Наш сын в возрасте 5 дней
Наш сын в возрасте 5 дней

О том как нас лечили от бесплодия неясного генеза

И статья о том почему решили делать эко, а не подождали ещё