Найти в Дзене

Как делают ЭКО в Европе и как в России? Личный опыт

Эта статья будет отчасти песней любви и нежности моим врачам из ЕМС и ликбезом на тему как подходят к ЭКО в Европе и как в России. Как и где мы делали ЭКО? Решившись на ЭКО, по рекомендации моего врача мы направились в том числе в Европейский медицинский центр к заведующей отделением репродуктологии Юлии Вознесенской. Она лучший репродуктолог Москвы, ЕМС лучшая частная клиника в России, поэтому начиная с первого звонка в регистратуру, заканчивая случившейся беременностью мы получали лучший сервис, за исключением того, что первого приема пришлось ждать три месяца. Конечно же оно того стоило, как стоило и каждого евро из потраченных 4 тысяч. Это дорого, учитывая тогда уже взлетевший до 80 курс. В среднем по Москве услугу ЭКО можно получить за 150 тысяч рублей, что в два раза дешевле. Но это единственная трата за весь наш путь о которой я ни разу не пожалела, более того, я уверена в том, что мы даже сэкономили. Сэкономили  время, силы, нервы, здоровье и как следствие деньги. Уточнив у
Оглавление
Foto by @anfila_yulieva
Foto by @anfila_yulieva

Эта статья будет отчасти песней любви и нежности моим врачам из ЕМС и ликбезом на тему как подходят к ЭКО в Европе и как в России.

Как и где мы делали ЭКО?

Решившись на ЭКО, по рекомендации моего врача мы направились в том числе в Европейский медицинский центр к заведующей отделением репродуктологии Юлии Вознесенской. Она лучший репродуктолог Москвы, ЕМС лучшая частная клиника в России, поэтому начиная с первого звонка в регистратуру, заканчивая случившейся беременностью мы получали лучший сервис, за исключением того, что первого приема пришлось ждать три месяца.

Конечно же оно того стоило, как стоило и каждого евро из потраченных 4 тысяч. Это дорого, учитывая тогда уже взлетевший до 80 курс. В среднем по Москве услугу ЭКО можно получить за 150 тысяч рублей, что в два раза дешевле. Но это единственная трата за весь наш путь о которой я ни разу не пожалела, более того, я уверена в том, что мы даже сэкономили. Сэкономили  время, силы, нервы, здоровье и как следствие деньги. Уточнив у девушки на ресепшн почему так долго ждать и всегда ли у них такие очереди на приём, я получила ласковый и вежливый ответ - у нас очень хорошая эмбриология.  Тогда для меня это не было достаточным аргументом, т.к. я, как и большинство девушек, шла на врача, а не в лабораторию. Но я многого и не знала.

Почему важна лаборатория и квалификация именно врачей эмбриологов?

Многие врачи репродуктологи вам скажут, что ЭКО делают по строгому протоколу, который принят во всем мире, так что везде все одинаково. Это не совсем так, тут нужно делать поправку на год давности используемого протокола, некоторые клиники  работают по протоколам десяти и двадцатилетней давности. Культивация эмбрионов это быстропрогрессирующий высокотехнологичный процесс, и не все клиники и лаборатории могут себе позволить угнаться за ним. Более того, создать в лаборатории условия согласно последним инновациям мало, нужно ещё найти и обучить специалистов, которые смогут этими инновациями эффективно пользоваться. Преимущество ЕМС именно в том, что им хватает финансовых и человеческих ресурсов на подготовку и того и другого, что позволяет им работать по актуальным европейским протоколам.

В чем разница между современным европейским подходом и стандартной практикой ведения ЭКО в России?

Я не являюсь в реальности экспертом и могу судить исключительно по собственному опыту. Поэтому предупреждаю, что все дальнейшие выводы делаются исходя из моего личного опыта обращения к разным специалистам и общения с «товарищами по несчастью», а не на основе инспекций всех-всех отделений репродуктологии.  Также перед публикацией этой статьи я согласовала ее с моими врачами из ЕМС, чтобы быть уверенной, что я не ввожу в заблуждение своих читателей. Возвращаясь к вопросу выше..

Разница в том, что в России зачастую пытаются количеством компенсировать отсутствие качества.

Это влечёт за собой назначение жестких гормональных стимуляций даже молодым девушкам с нормальным запасом яйцеклеток. Простимулировав сильнее можно гарантированно получить больше яйцеклеток, что повышает шанс для врача и лаборатории не облажаться, но совершенно неоправданно и не гуманно в отношении к пациенту. В других клиниках, где я консультировалась насчёт ЭКО мне давали примерно одинаковый список препаратов, который очень отличался от того, что я получила в ЕМС, и от которого не ощутила никакого отрицательного влияния на свой организм.  Также я встречала молодых девушек, которые обратились в ЕМС  только потому, что были серьезные побочки именно от гормональных стимуляций и в последующем неудачные попытки. При нормальном женском здоровье и хорошем запасе яйцеклеток в европейских протоколах назначают мягкую гормональную стимуляцию от которой нет негативных побочных эффектов. В России же в основном используют подход "всех под одну гребенку".

Очень сильно отличается и дальнейшая поддерживающая гормональная терапия прогестероном о котором я уже писала. В цикле ЭКО не вырабатывается свой собственный прогестерон, поэтому его необходимо принимать. Но! Если в российской практике принято назначать прогестерон до 20 недели беременности, то в ЕМС мне назначили его принимать до 9 недель в полном обьем и снижая дозу прекратить приём к 12 неделе. Это европейская практика. Нетрудно посчитать, что следуя европейским рекомендациям вы избежите от двух до трёх месяцев дополнительной гормональной нагрузки на свой организм.

Второй важный вопрос - это количество подсаживаемых эмбрионов

К счастью, в России уже в основном сажают не больше двух, но тем не менее, три года назад практика подсадки 2-3 трехдневных эмбрионов была повсеместной нормой. В Европейских протоколах рекомендовано подсаживать один 5-дневный эмбрион, исключение составляют случаи если вы очень хотите двойню, либо в силу возраста вы хотите одним подходом убить (читай - родить) двух зайцев.

Начитавшись умных статей, в день Х мы с Ваней решили, что нам нужно подсадить двоих, чтобы уж наверняка. На что получили подробную разъяснительную беседу с нашим эмбриологом Евгением Юткиным на тему того, что успех не зависит от количества,  подсадка двух эмбрионов увеличит лишь шанс многоплодной беременности, что создаст большую нагрузку на мой организм и на детей. «Вы молодая, худенькая - вам это не нужно. Все получится и так, не переживайте». 

Дорастить эмбрионы до 5 дня в лабораторных условиях непростая задача, ведь часть из них остановится в развитии в ходе естественного отбора, а часть от недостаточно качественно проведённых эмбриологических этапов и плохой оснащённости лаборатории.  И вот именно чтобы снизить риски второго и третьего факторов подсаживают трёхдневных эмбрионов и сразу несколько.

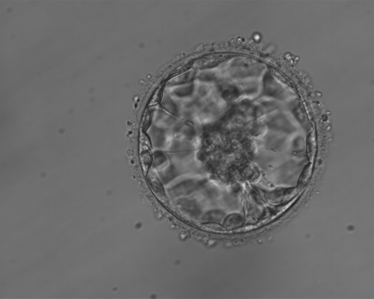
Так выглядит эмбрион в стадии бластоцисты  (5-й день развития)
Так выглядит эмбрион в стадии бластоцисты (5-й день развития)

До третьего дня эмбрион развивается за счёт материнского генома, а по прошествии трёх дней включается эмбриональный геном, и те эмбрионы, у которых произошли генетические аномалии останавливаются в развитии. Поэтому с одной стороны на третий день остаётся намного больше эмбрионов на перенос, есть из чего выбрать, но это и осложняет селекцию, можно сказать, что тут доктору нужно просто угадать у каких из них не произойдёт генетических аномалий и они будут успешно развиваться. Поэтому чтобы повысить вероятность успешной беременности подсаживают 2-3 эмбриона на третий день, с поправкой на то, что какие-то остановятся в развитии.

В среднем в лабораториях до 5 дня достигают стадии бластоцисты (5-й день) порядка 50% эмбрионов, в нашем случае этот процент составил больше 70%. На этой стадии уже многое можно сказать о дальнейшем его развитии, а также при необходимости проверить на те или иные генетические заболевания. На пятый день выбор эмбрионов уже не происходит вслепую, т.к. у доктора есть вполне информативная картина. Поэтому процент успешных протоколов с пятидневными эмбрионами значительно выше. Итого. В тех клиниках, которые не имеют большого опыта культивирования, считается, что лучше переносить трехдневки по две-три шт. А самые современные лаборатории с обширной практикой культивирования стремятся отодвинуть перенос на пятые сутки, когда информации об эмбрионе гораздо больше и можно обойтись лишь одним.

Количество не гарантирует качество.

Это же касалось и объема назначаемых исследований. Список анализов и количество приемов, которые потребовали в ЕМС был в два раза меньше чем в других клиниках. При этом я могла сделать анализы в любом месте, хоть в городской поликлинике, прислать их по имэйл и получить в ответ дальнейшие инструкции, не переплачивая за формальный приём. Другие же требовали сдачи анализов именно у них и нужно было приходить на приём, чтобы получить результаты. Что это - перестраховка или возможность заработать? Вопрос остаётся открытым, т.к. к счастью мы не пошли этим путём. 

P.S. Ко мне периодически обращаются с просьбами посоветовать где можно лечить бесплодие или сделать эко. Я понимаю, что не все могут позволить себе лечение в ЕМС. Поэтому я хочу попросить тех у кого был успешный опыт в других местах, и там также практикуют современный и гуманный подход, напишите в комментариях название клиники или врача, которого вы можете рекомендовать. ️

Если Вам понравилась статья, буду благодарна за лайки и комментарии. Я пишу о бесплодии и материнстве, в надежде, что мой опыт будет кому-то полезен или послужит поддержкой. Подписывайтесь на мой канал если вам интересна эта тема.

О том как мы решились на ЭКО можно почитать в статье "Эко или ЭКО?"

Также вам может быть интересна статья "Как нас лечили от бесплодия неясного генеза"