Найти в Дзене
Рауф Керемов

Как учатся врачи в медицинских университетах (часть 2)

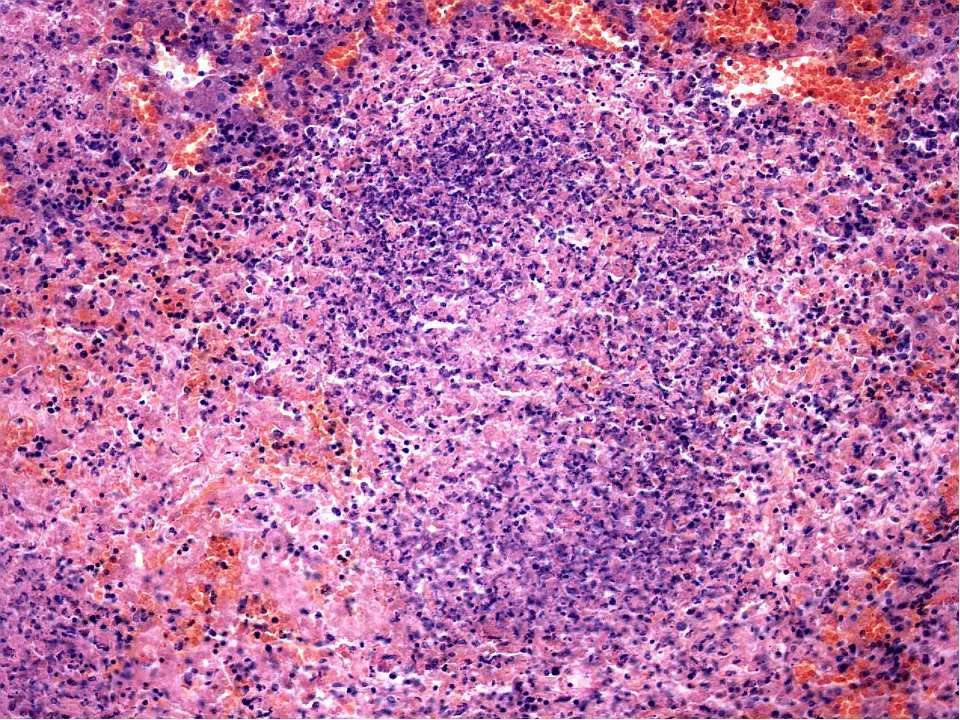
Как учатся врачи в медицинских университетах (часть 2) III курс О! Уже начинает пахнуть горелым. По праву считается одним из самых тяжелейших курсов, кошмарный сон студента-медика. Тут тебе и патан, и патфиз и фарма. Патан - патологическая анатомия. Это объёмные знания о патологических процессах, тут разбирается буквально всё, начиная от дистрофий и некроза, заканчивая новообразованиями. Эта наука ставит следующие важнейшие вопросы перед студентом: Сложность заключается, разве что, в объёме абсолютно новой информации. Плюс ко всему, надо разбираться, как и в гистологии, в розово-фиолетовой мешанине - микропрепаратах, вроде этого: Пары проходят несложно: надо рисовать препараты (если студенты учили гистологию на втором курсе, то вообще за милую душу этот предмет пережуют), и, собственно, готовиться к ответу на вопросы преподавателя. Патфиз. Патологическая физиология. Вот это уже сложнее. Тут настроение медикам подпорчивают огромнейшие каскады реакций (которые потом, на более поздних к
Оглавление

Как учатся врачи в медицинских университетах (часть 2)

III курс

О! Уже начинает пахнуть горелым. По праву считается одним из самых тяжелейших курсов, кошмарный сон студента-медика. Тут тебе и патан, и патфиз и фарма.

Патан - патологическая анатомия. Это объёмные знания о патологических процессах, тут разбирается буквально всё, начиная от дистрофий и некроза, заканчивая новообразованиями. Эта наука ставит следующие важнейшие вопросы перед студентом:

  • Что это за штука?
  • Как она выглядит и чем грозит?

Сложность заключается, разве что, в объёме абсолютно новой информации. Плюс ко всему, надо разбираться, как и в гистологии, в розово-фиолетовой мешанине - микропрепаратах, вроде этого:

Пары проходят несложно: надо рисовать препараты (если студенты учили гистологию на втором курсе, то вообще за милую душу этот предмет пережуют), и, собственно, готовиться к ответу на вопросы преподавателя.

Патфиз. Патологическая физиология. Вот это уже сложнее. Тут настроение медикам подпорчивают огромнейшие каскады реакций (которые потом, на более поздних курсах окажут хорошую услугу). Вообще, если на патане нам рассказывали о том, что это за болячка, то на патфизе нам расскажут о том, почему и как появилась эта болячка и как она развивалась. Нужно учить так, чтобы максимально понимать ступенчатость механизма

Эта схема, к слову, из моих методичек студенческого времени, которые периодически перечитываются мной "по диагонали". Они удобны для изучения и с лихвой заменяют тонны текста, но при условии, что студент не заучивает, а хорошо понимает что в них происходит вообще
Эта схема, к слову, из моих методичек студенческого времени, которые периодически перечитываются мной "по диагонали". Они удобны для изучения и с лихвой заменяют тонны текста, но при условии, что студент не заучивает, а хорошо понимает что в них происходит вообще

Фарма. Она же фармакология. Она же "попробуй запомни всё, сынок!". Куча препаратов, куча механизмов действия, куча всего. Логики сыскать тут не получится, тупо заучивать всё подчистую. Это будет неплохой базой для дальнейшей врачебной деятельности - сами посудите, куча препаратов, которые студенты учат на этом предмете, по-сути, уже нигде не используется. А препараты, с которыми будут работать студенты, уже будучи врачами будут иными.

Учить много, сложно, бессонные ночи продолжаются на третьем курсе
Учить много, сложно, бессонные ночи продолжаются на третьем курсе
Отдельно стоит упомянуть такую науку как микробиологию. Интересно, несложно, всё подробно и максимально чётко описано. Разбирают микроскопические организмы, антибиотики, как они взаимодействуют.

IV курс

Мои поздравления, экватор миновали! Начало кучи клинических кафедр, кои, в принципе, и являются самыми интересными для будущего медика.

Тут можно и нужно выделить ОЗ, хирургию и неврологию.

ОЗ - Основы охраны здравоохранения. К изучению студенту предлагается куча документов, куча построений графиков, формул, определений и тому подобного. Нужно хоть немного уметь считать и смотреть в методичку. Достаточно скучно, на мой скромный взгляд.

Хирургия. Вообще их будет за всё обучение несколько: факультетская, общая, детская (если студент обучался, как автор это статьи, на педиатрическом факультете). Все они плюс-минус одинаковые, все особо несложные. Суперважна для тех, кто собрался связать свою жизнь с хирургией, но и врачу общей практики важна, чтобы вовремя определить хирургическую патологию пациента и отправить/вызвать специалиста.

Неврология. Будет лёгкой прогулкой для тех, кто учил в своё время нервную систему на анатомии, и сложнейшим испытанием для тех, кто это пропустил (как экзамены миновали - непонятно), ибо придётся повторять уже пройденный материал, да и нагонять то, что проходится сейчас. Инсульты, парастезии, гипостезии, арефлексии - всего, в принципе много, но читать это интересно.

Работы с пациентами именно на этой кафедре будет хоть отбавляй, и тем, кому это интересно - это просто рай. Обычно эти пациенты - бабушки с перенесёнными инсультами, у них достаточно много сопутствующих заболеваний, а пациенты достаточно охотно расскажут о своих недугах
Работы с пациентами именно на этой кафедре будет хоть отбавляй, и тем, кому это интересно - это просто рай. Обычно эти пациенты - бабушки с перенесёнными инсультами, у них достаточно много сопутствующих заболеваний, а пациенты достаточно охотно расскажут о своих недугах

А ещё на этих клинических кафедрах надо будет писать истории болезни. Это такая "недо" история болезни, которую врачи пишут уже на своём рабочем месте. Много историй болезни. Писать надо учиться сразу, с первой же выданной истории болезни, чем раньше научишься, тем проще работать будет с ними потом. Вообще - нетрудно, тут просто важно внимание к вещам и подробнейший допрос пациентов, выданных студенту на курацию. Мучать их своими вопросами дают на минут 30 в день, так что время будет и свои коммуникативные навыки прокачать, и историю болезни написать добротную.

Подведём итог этих двух курсов. Итак, студент уже вплотную приближается к клинике. Понимание происходящего приходит очень медленно, но уверенно, уже появляется интерес к спец литературе. Происходит эволюция.