Добавить в корзинуПозвонить
Найти в Дзене

Смертельно опасный эксперимент на себе хирурга Вернера Форсмана

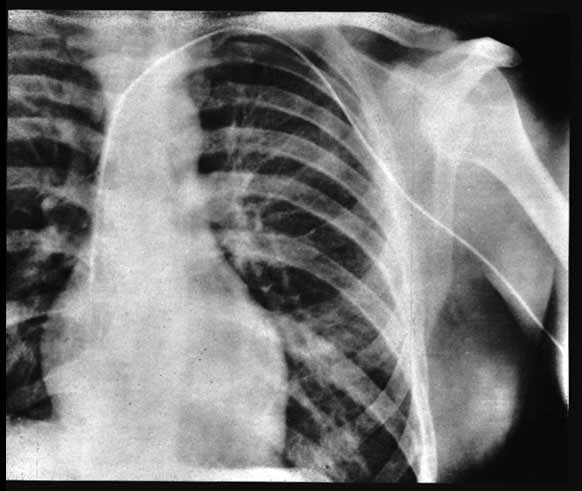
Честно говоря даже просто писать о таких вещах сложно и неприятно, а уж провести такое с собой — каким же человеком нужно для этого быть? Это уму не постижимо. О чем речь — в 1929 году Вернер Форсман, еще недавно закончивший медицинский факультет университета Фридриха Вильгельма в Берлине, разрабатывает способ катетеризации сердца и решает испытать его на себе. Что это значит? Это значит, что он собирался проверить возможность достижения сердца узкой трубкой катетера введенной в вену около локтя. Никто не знал точно чем это может закончится. Коллеги считали, что проникновение в сердце инородного тела приведет к его остановке, но тем не менее Вернер все таки решается на эксперимент. С первой попытки получилось пройти только половину расстояния, после чего ассистент отказался продолжать этот опасный эксперимент. Но это не остановило увлеченного идеей экспериментатора и в следующий раз он решил действовать по другому. Он убедил медсестру операционной помочь ему. Она согла

Честно говоря даже просто писать о таких вещах сложно и неприятно, а уж провести такое с собой — каким же человеком нужно для этого быть? Это уму не постижимо.

О чем речь — в 1929 году Вернер Форсман, еще недавно закончивший медицинский факультет университета Фридриха Вильгельма в Берлине, разрабатывает способ катетеризации сердца и решает испытать его на себе. Что это значит? Это значит, что он собирался проверить возможность достижения сердца узкой трубкой катетера введенной в вену около локтя.

Никто не знал точно чем это может закончится. Коллеги считали, что проникновение в сердце инородного тела приведет к его остановке, но тем не менее Вернер все таки решается на эксперимент. С первой попытки получилось пройти только половину расстояния, после чего ассистент отказался продолжать этот опасный эксперимент. Но это не остановило увлеченного идеей экспериментатора и в следующий раз он решил действовать по другому. Он убедил медсестру операционной помочь ему. Она согласилась при условии, что он сделает это на ней, но Вернер обманул ее — ему нужно было только воспользоваться операционной. Обезболив собственную нижнюю часть руки в области локтя и вставив катетер в вену, он уже по факту попросил медсестру сообщить в рентгенологическое отделение. Далее используя рентгеновский аппарат он продвинул катетер в полость правого желудочка, что и было записано на пленку.

Источник: https://commons.wikimedia.org/wiki/File:Werner_Forssmann.jpg
Источник: https://commons.wikimedia.org/wiki/File:Werner_Forssmann.jpg

В результате ничего фатального не произошло и вскоре Форсман делает об этом доклад для хирургического общества и публикует статью. Однако результаты его поистине героического подвига во имя развития медицины еще долго оставались не оценены, а сам хирург со временем уходит из кардиохирургии в другие направления медицины. Но проверенный им метод не остался не замеченным, постепенно его начинают активно использовать и в 1956 году слава находит героя — Вернер Форсман совместно c Андре Курнаном и Диккинсоном Ричардсом получает Нобелевскую премия по физиологии или медицине с формулировкой:
За открытия, касающиеся катетеризации сердца и патологических изменений в системе кровообращения

  Вернер Форсман
Вернер Форсман