Добавить в корзинуПозвонить
Найти в Дзене
Мама-доктор

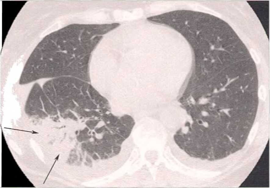
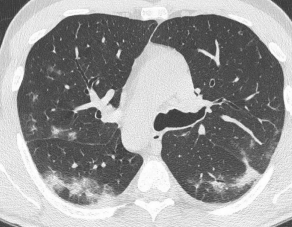
Как врачи определяют процент поражения лёгких на КТ при вирусной пневмонии

В связи с тем, что за последние месяцы резко возросло число выявляемых вирусных пневмоний по данным КТ (компьютерной томографии), стали появляться новые рекомендации для рентгенологов по определению процента поражения лёгких.
Не каждый врач указывает и сейчас в протоколе данный показатель. Это связано с тем, что для клиницистов важнее понимать, насколько обширно поражение долей и сегментов

В связи с тем, что за последние месяцы резко возросло число выявляемых вирусных пневмоний по данным КТ (компьютерной томографии), стали появляться новые рекомендации для рентгенологов по определению процента поражения лёгких.

Не каждый врач указывает и сейчас в протоколе данный показатель. Это связано с тем, что для клиницистов важнее понимать, насколько обширно поражение долей и сегментов легочной паренхимы у пациента, чем знать процент.

Но тем не менее в настоящее время разработан и внедрен в практику стандартизированный протокол описания КТ органов грудной клетки с оценкой вовлечения легочной ткани в патологический процесс.

Согласно протоколу, рентгенолог подсчитывает процент вовлечения легочной паренхимы каждой из пяти долей лёгких.

Краткие основные данные из анатомии:

В правом лёгких расположены 3 доли: верхняя, средняя и нижняя, в левом легком - 2 доли: верхняя и нижняя. Доли разделяются на сегменты, в КТ- заключения они отображаются буквой S с соответствующей цифрой (например S7 справа- 7 сегмент правого лёгкого).

-2

Рентгенолог присваивает от 1 до 5 баллов каждой из 5 долей лёгких. При этом 1 балл указывается, если имеет место поражение менее 5% доли, а 5 баллов - при инфильтрации более 75% доли.

Затем полученные баллы суммируются, максимально может получиться 25 баллов. 0 баллов - означает отсутствие вовлеченности легочной ткани. Общее количество баллов умножается на 4 и получается процент поражения лёгких. Например, 25*4=100% поражения.

Хочется отдельно отметить, что у двух разных пациентов с КВ при одном и том же проценте поражении лёгких может быть абсолютно разная степень тяжести пневмонии и выраженность клинических симптомов.

Но выявление у больного обширного поражения лёгких (более 80% поражения лёгких), которое на КТ определяется как множественные участки инфильтрации легочной ткани по типу «матового стекла», расположенные диффузно в легочной паренхиме обоих лёгких, является неблагоприятным прогностическим фактором и большим риском необходимости госпитализации в ОРИТ с назначением кислорода или переводом на ИВЛ.

Берегите себя! Спасибо, что дочитали! Понравилась статья- ставьте лайк и подписывайтесь на мой канал!