Найти в Дзене
PRO-здоровье

Киста на почке

Киста — полостное образование овальной или круглой формы, имеющее тонкую стенку из соединительной ткани, и наполненное жидкостью. Из кист забрюшинного пространства наиболее часто встречаются кисты почек, которые занимают первое место по частоте и по многообразию форм. Выявляемость этого заболевания в связи с улучшением методов диагностики постоянно увеличивается. Чаще всего это доброкачественное образование и обнаруживается у людей старше 50 лет. С возрастом появляется предрасположенность к появлению простых кист. В этом возрасте кисты встречаются у 30% лиц, а с возрастом они увеличиваются в размере: на 20% к 40 годам и на 33% после 60 лет. Гигантские кисты более 15 см — редкое наблюдение, но встречается. Кистозные образования могут быть единичными или множественными, развиваться в любой почке и различных ее сегментах. Чаще расположены в толще ткани или под капсулой почки. Содержимое кист прозрачное, что свидетельствует о доброкачественности процесса. Стенка образования тонкая и все
Оглавление

Киста — полостное образование овальной или круглой формы, имеющее тонкую стенку из соединительной ткани, и наполненное жидкостью. Из кист забрюшинного пространства наиболее часто встречаются кисты почек, которые занимают первое место по частоте и по многообразию форм. Выявляемость этого заболевания в связи с улучшением методов диагностики постоянно увеличивается. Чаще всего это доброкачественное образование и обнаруживается у людей старше 50 лет.

С возрастом появляется предрасположенность к появлению простых кист. В этом возрасте кисты встречаются у 30% лиц, а с возрастом они увеличиваются в размере: на 20% к 40 годам и на 33% после 60 лет. Гигантские кисты более 15 см — редкое наблюдение, но встречается. Кистозные образования могут быть единичными или множественными, развиваться в любой почке и различных ее сегментах. Чаще расположены в толще ткани или под капсулой почки.

Содержимое кист прозрачное, что свидетельствует о доброкачественности процесса. Стенка образования тонкая и всегда имеет признаки хронического воспаления. В ряде случаев в ней обнаруживаются не только соединительнотканные волокна, но и мышечные. В отдельных случаях отмечаются отложения извести, остатки ткани надпочечника или почки. Отложение извести указывает на длительность существования.

Замечено, что киста в правой почке формируется значительно реже, чем в левой. Несмотря на то, что отличий в строении почек у женщин и мужчин нет, кисты почек у мужчин встречаются значительно чаще — соотношение 3:2 или 2:1. Повышенная частота развития этой патологии у мужчин связана с нарушением продукции и метаболизма половых гормонов. Причем у мужчин риск развития аденокарциномы почки на фоне кисты в 7 раз выше. Код кисты почки по Мкб-10 — N 28.1.

Патогенез

Существуют несколько теорий патогенеза простой кисты:

  • Эмбриональная. Полостное образование развивается в виду дефекта соединения фильтрационной и секреторной частей нефронов.
  • Ретенционно-воспалительная. Возникновение кистозных образований связывают с обструкцией и воспалением канальцевых протоков при внутриутробном формировании. Обструкция канальцев и приводит к формированию кист.
  • Пролиферативно-неопластическая. Возникновение кист обусловлено избыточной пролиферацией (разрастанием) почечного эпителия. При этом нередко встречается озлокачествление.
  • Химическая. Согласно ей, причиной кист являются токсичные эндогенные вещества, накапливающиеся при почечной недостаточности (полиамины) или токсичные экзогенные вещества.
  • Гормональная. Активный рост образования провоцируют гормональные нарушения при половом созревании, в период перименопаузы (у женщин) и андропаузы (у мужчин).
  • Теория факторов роста. Полипептиды, которые еще не идентифицированы, вырабатываются в почке и обладают повреждающим действием, вызывают кистозные изменения в ткани.

В некоторых теориях имеются общие процессы — это ретенция (задержка мочи в связи с нарушением ее оттока). Большинство авторов считают, что простая киста почки имеет ретенционную природу и возникает при затруднении оттока мочи по протокам в связи с обструкцией, а выше места препятствия продолжается активная клубочковая секреция. Поэтому патогенез обычной кисты в большинстве случаев включает:

  • канальцевую окклюзию (любой этиологии) с последующим воспалением;
  • ишемию ткани почки.

Сочетание окклюзии и ишемии паренхимы вызывает быстрый рост кисты, а при наличии только обструкции заболевание развивается медленнее. В начале процесса различные факторы провоцируют появление полости из сосуда, почечного канальца или участка ткани. Затем полость заполняется жидкостью иногда с примесью липидов или крови. Часто эти этапы протекают одновременно. Позже формируется капсула из соединительной ткани. Со временем образование увеличивается в объеме, жидкое содержимое постоянно прибывает, и киста начинает сдавливать смежные структуры.

Поликистоз — это генетически обусловленное заболевание, связанное с мутаций в гене PKD1.

Классификация

По морфологическому признаку:

  • Простая.
  • Сложная.

Простые в свою очередь по происхождению бывают:

  • Врожденные.
  • Приобретенные.

По характеру поражения:

  • Одиночные (солитарные).
  • Множественные.

По содержимому:

  • Серозные.
  • Геморрагические (с примесью крови).
  • Гнойные (при присоединении инфекционного воспаления).

По локализации:

  • Кортикальная. Располагается в корковом слое почки, поэтому мало влияет на отток мочи. Если ее причиной стала травма, содержимое может иметь примесь гноя и крови.
  • Интрапаренхимная (непосредственно в паренхиме).
  • Окололоханочная. Происходит из лимфатического сосуда и образуется возле лоханки. Только больших размерах вызывает нарушение мочеиспускания.
  • Лоханочная (в лоханке).
  • Киста синуса образуется возле лоханки. Провоцирует болевой симптом и нарушения мочеиспускания. У больного часто повышается давление.
  • Субкапсулярная. Расположена под капсулой (верхний слой органа), поэтому не затрагивает лоханку и не мешает оттоку.

Классификация, учитывающая риск озлокачествления и дальнейшую тактику лечения, была предложена в 1986 году Босниаком. Современная разработана и дополнена в 1997 г. Она учитывает данные КТ с контрастом. Согласно этой классификации, кисты разделены на несколько категорий:

  • I категория — сюда включены простые, доброкачественные кисты без перегородок и кальцификатов, имеющие жидкое содержимое. Эти образования хорошо визуализируются при КТ (МРТ) или ультразвуковом исследовании. Они не проявляются клинически и не требуют лечения. Больным показано наблюдение в динамике.
  • II категория включает многокамерные (сложные) кисты, имеющие несколько тонких перегородок. В стенках и перегородках допускается наличие мелких кальцификатов. В эту же категорию включаются образования размером ≤ 3 см, имеющие четкие контуры и высокую плотность. Образования не накапливают контраст. Имеют доброкачественное течение. Требуется наблюдение.
  • II F категория включает кистозные образования с четкими контурами и множеством тонких перегородок, иногда с незначительным равномерным их утолщением. В них могут содержаться кальцинаты, однако они не накапливают контраст. Сюда же включены и образования высокой плотности больше 3 см, которые не накапливают контраст и находятся внутри почки. Больным показано динамическое наблюдение раз в 6-12 месяцев. Небольшая часть образований (5%) имеют склонность к озлокачествлению.
  • III категория — сомнительные образования с утолщенными стенками (или перегородками), которые накапливают контраст (то есть, усиливаются при контрастировании). Накопление контраста свидетельствует о присутствии ткани в стенке, который является опухолью. Это должно насторожить, поскольку 50% таких образований имеют злокачественный характер (светлоклеточный рак, мультилокулярный кистозный рак). Показано хирургическое вмешательство.
  • IV категория включает явно злокачественные образования, которые имеют все характеристики III категории и содержат явные мягко тканные компоненты, не связанные со стенками и накапливающие контраст. Рекомендуется только хирургическое лечение.

Простые кисты

Встречаются чаще, имеют доброкачественное течение и не представляют опасности для жизни человека. Это классическое полосное образование округлой формы, наполненное жидкостью, с четкими контурами и без перегородок внутри. Чаще располагается в корковом слое почек, а размеры его вариабельные. Содержит жидкость по составу похожую на плазму крови, но в 15% случаев отмечается геморрагическое содержимое (примесь крови). Этот вид кист бывает врожденным или приобретенным (на фоне пиелонефрита, уролитиаза). Диагностируются случайно, поскольку протекают бессимптомно. Только в редких случаях могут появиться боли в пояснице, повышение артериального давления и нарушение мочеиспускания.

Сложные кисты

Имеют неровные контуры и множественные перегородки, разбивающие полость на камеры (сегменты). В этом и состоит отличие их от простых. Утолщение перегородок должно настораживать в плане перерождения кисты. В перегородках и стенках откладываются соли кальция. Повышенная эхогенность на УЗИ свидетельствует о том, что киста снабжается кровью и есть риск озлокачествления.

Солитарная киста почки

Это одиночное образование из разновидности простых кист, в котором отсутствуют перегородки. Солитарная киста может быть поверхностной или локализоваться внутри паренхимы. Диагностируется без особых трудностей и поддается лечению. Одним из способов лечения, который применяется при этом виде кист, является склерозирование: пункция кисты под контролем КТ, удаление содержимого и введение склерозирующих препаратов, которые после экспозиции чаще всего удаляются.

Наличие в почке нескольких кист служит основанием для установления диагноза «множественные кисты». Если поражается одна почка говорят о мультикистозе, если обе — о поликистозе. При поликистозной дегенерации образования расположены по поверхности почек в корковом слое, почти не оставляя участков здоровой паренхимы. Множественные кисты могут быть врождёнными и приобретёнными. Врождённые возникают при неправильном соединении секреторного и экскреторного аппаратов канальцев.

Приобретённые формируются при различных заболеваниях почек, когда имеются затруднения для оттока мочи по канальцам:

Множественные кисты заполнены серозным содержимым, но при пиелонефрите существует риск нагноения.

Синусная киста почки

Эти образования связаны с почечным синусом. Почечный синус — это анатомическое углубление (входные ворота почки), которое содержит сосуды, в него открываются лоханки и здесь проходят мочеточники. Патология этой локализации опасна тем, что затрудняет отток мочи. Кисты этой локализации подразделяются на:

  • парапельвикальные (возникают в паренхиме и выступают в почечный синус);
  • перипельвикальные (происходят из лимфатических сосудов и локализуются в самом синусе).

Согласно статистическим данным из всех видов кист чаще встречается синусная киста левой почки. Киста, расположенная в паренхиме сбоку от лоханки, называется парапельвикальная киста почки. Она сдавливает чашечно-лоханочную структуру снаружи, приводя к гидронефрозу. Это единичное образования и чаще встречается парапельвикальная киста левой почки. Характерна для женщин постменопаузального периода.

Синусная киста левой почки или правой — это округлое образование с прозрачным содержимым. Образование более 5 см уже будет вызывать нарушение мочеиспускания, боли, появление крови в моче, повышенное давление, развитие инфекционного воспаления в почке и камней.

Гораздо реже наблюдается парапельвикальная киста правой почки. Более редкой патологией являются парапельвикальные кисты обеих почек. Поражение обеих почек характерно для перипельвикальных кист, которые располагаются непосредственно в синусе и имеют неправильную форму. Своим ростом они раздвигают чашечки, шейки чашечек при этом сужаются, а лоханка отодвигается из синуса. Такая киста образуется из лимфатических сосудов при их закупорке и расширении. Содержимое ее прозрачное, но содержит капельки жира. Для ликвидации этого вида образования достаточно рассечь ее стенку. В последствии рецидивов не встречается. Парапельвикальные кисты нельзя путать с простой кистой, расположенной в почечном синусе.

Лоханочные кисты

Располагаются в лоханке почки. Другое название — пельвикальные. Они разделяются на типы:

  • Внутрилоханочная — располагается внутри лоханки и прорастет внутрь нее.
  • Внутристеночная — локализуется в мышечном слое лоханки.
  • Эстрапельвикальная — расположена на наружной поверхности и имеет тенденцию к росту наружу.

Киста, происходящая из стенки лоханки, встречается редко, имеет небольшие размеры, одиночная и легко иссекается. В тяжёлых ситуациях при нарушении функции почки больному предлагают удаление органа. Этот вид вызывает застой мочи и развитие инфекции. Диагностика затруднена, поскольку выявляется только при компьютерной томографии.

Паренхиматозная киста

Это кистозное образование, расположенное в паренхиме почки — от сюда и происходит название. Чаще внутри камеры содержится серозная жидкость, иногда — геморрагическое содержимое (с примесью крови). Данный вид кист делится на одиночные и множественные. Имеет врожденный характер и приобретенный.

Врожденная киста возникает из-за мутаций и сращения почечных канальцев в первом и втором триместре, когда происходит формирование всех органов. Провоцирующими факторами являются: злоупотребление при беременности алкоголем, наркотическими веществами и курением. Эта патология может сопровождаются и другими врожденными аномалиями мочеполовой системы.

Если говорить о приобретенной патологии, то паренхиматозная киста левой почки чаще встречается у мужчин старше 50 лет. Что это такое и как она образуется? Киста паренхимы образуется после травмы или инфекций мочевыводящих путей. Киста левой почки регистрируется чаще. Паренхиматозная киста правой почки — это также приобретенная патология, которая может возникать на фоне обструкции (закупорки) канальцев солями или микрополипами. Патология правой почки встречается реже и в 2/3 случаев не проявляет себя.

Губчатая почка

Это двустороннее поражение почек, встречаемое чаще у мужчин. При этом заболевании кистами небольших размеров (1-3 мм) поражаются почечные пирамиды. Поскольку в кортикальном слое кистозные образования отсутствуют, поэтому снаружи почка нормального вида. Функция почек при таком поражении сохраняется.

Субкапсулярная киста почки

Один из опасных видов кист, поскольку никак не проявляется, но может озлокачествляться. Расположена под капсулой почки — между ней и паренхимой.

Это образование до 5 см. Если причиной его образования послужила травма, содержимое имеет примесь крови и гноя. Одностороннее поражение встречается часто, а симметричное поражение почек довольно редко. При двустороннем поражении сдавливаются сосуды, нарушается функция почки и развивается уремия. Из других осложнений можно отметить гнойные воспаления мочеполовой системы.

Мультилокулярная киста

Развивается при нарушениях эмбрионального развития. Это тонкостенное одностороннее образование, имеющее множество камер, не сообщающееся с чашечно-лоханочной системой. Полости кист не сообщаются друг с другом, а паренхима вне кисты не изменена. Если киста достигает больших размеров, то ее можно прощупать. Если повредить капсулу и не удалить ее, неизбежен рецидив. Мультилокулярные кисты имеют тенденцию к малигнизации, поэтому некоторые авторы относят ее к нефробластческой опухоли.

Мультикистозная почка

Также врожденная патология, которая формируется при нарушении эмбриогенеза, и характеризуется замещением паренхимы почек кистами различных размеров. Чаще встречается односторонний порок развития, двухсторонний несовместим с жизнью. Если в период беременности у плода обнаружена данная патология, то это является показанием для медикаментозного аборта, поскольку почка не может функционировать.

В заключение можно сказать, что в урологической практике чаще всего встречаются простые и синусные (парапельвикальные), реже — мультилокулярные, поликистоз и чашечковые.

Причины кисты почки

Выделяют основные причины развития приобретенной патологии:

  • наследственная предрасположенность;
  • хронические болезни почек: мочекаменная болезнь, пиелонефрит, гломерулонефрит, липоматоз, гидронефроз;
  • специфическое поражение почек (туберкулез);
  • кровоизлияние в корковый или мозговой слой почки;
  • травмы поясничной области;
  • хирургические манипуляции на почке — это частые причины кисты правой почки или левой —после которых развиваются синусовые кисты;
  • продолжительный прием глюкокортикостероидов;
  • глистная инвазия (становится причиной парапельвикальных кист);
  • гипертоническая болезнь;
  • гормональные изменения в организме;
  • перенесённые инфекционные заболевания.

Предрасполагающими факторами являются:

  • переохлаждение;
  • избыточный вес;
  • преклонный возраст;
  • курение и употребление алкоголя.

В 5% всех случаев кисты являются врожденными. Возникновение их обусловлено генетическими изменениями, которые происходят под действием факторов, отрицательно влияющих на развитие плода в первые 1,5 месяца беременности. Генетические изменения возникают после перенесенных беременной инфекций, приема запрещенных лекарственных средств, в результате злоупотребления алкоголем и табакокурением.

К наследственным заболеваниям относятся:

  • мультикистоз — очень редкое заболевание, которое связано с перерождением паренхимы одной почки (почка напоминают гроздья винограда);
  • поликистоз — множественные кистозные образования появляются в обеих почках, начиная с внутриутробного периода и в течении всей жизни.

Выделяют 2 варианта течения поликистоза:

  • Ранние проявления (в утробе или при рождении). Такой вариант отличается высокой частотой развития почечной недостаточности и смертности.
  • Умеренные проявления поликистоза, которые прогрессируют. Пятилетняя выживаемость детей составляет 80-95%.

Симптомы кисты почки

Многие кисты протекают бессимптомно, но при увеличении размера и в зависимости от локализации у больных появляются:

  • боль;
  • повышение давления;
  • появление крови в моче;
  • нарушение оттока мочи;
  • почечная колика;
  • увеличения живота при значительном увеличении образования;
  • признаки почечной недостаточности (больше характерно для поликистоза).

Наиболее часто больных беспокоят боль и повышенное давление, особенно при кистах больших размеров. Боль в проекции органа тупая, ноющая и распирающая, усиливающая при нагрузке. Артериальная гипертензия возникает в результате сдавления кистой надпочечника, усиленной выработки ренина или сдавления сосудов.

Гематурия обусловлена разрывом вен из-за нарушения венозного оттока. Нередко кисты вызывают нарушение уродинамики в связи с закупоркой чашечки почки. Это создает предпосылки к застою мочи, камнеобразованию с характерными симптомами почечной колики, и присоединению инфекции. В этом случае появляются симптомы пиелонефрита — повышение температуры, усиление болей в области пораженной почки, температура и слабость.

Выраженные симптомы кисты почки появляются при ее разрыве. Появляется острая боль в животе и пояснице, кровь в моче или сильное кровотечение. Возможен разрыв кисты в полость почки или наружу. Если образование больших размеров, оно сдавливает близлежащие органы. При сдавлении кишечника появляются запоры. Большое образование можно определить при осмотре больного.

Анализы и диагностика

Больному назначаются общеклинические исследования — общий анализ мочи и крови. Изменения наблюдаются редко и специфических изменений не наблюдается, лишь изредка в моче появляются эритроциты.

Инструментальные методы обследования обладают наибольшей информативностью:

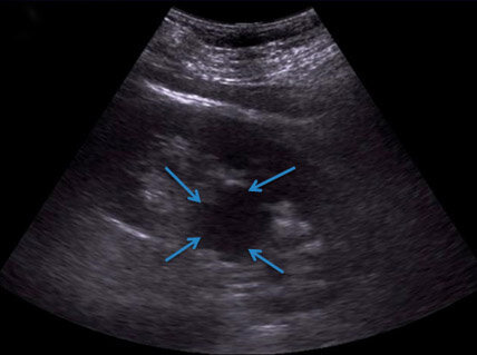
УЗИ почек. Обнаруживает округлое образование, которое локализуется в паренхиме органа или экстраренально.
УЗИ почек. Обнаруживает округлое образование, которое локализуется в паренхиме органа или экстраренально.
  • Ультразвуковая доплерография. Определяет обеднение сосудистого кровотока. Это свидетельствует о снижении кровоснабжения образования или об отсутствия васкуляризации.
КТ почек. Точность диагностики методом КТ приближается к 100%. В органе выявляется округлое образование сниженной плотностью, но с четкими границами и показателями, характерными для жидкости.
КТ почек. Точность диагностики методом КТ приближается к 100%. В органе выявляется округлое образование сниженной плотностью, но с четкими границами и показателями, характерными для жидкости.
  • МРТ (магнитно-резонансная томография). Метод дает возможность получать изображения в любой проекции и определить образования менее 1,5 см. Простые кисты менее 2-3 мм выявляются без затруднений. Наибольшая помощь МРТ отмечается при диагностике кист с неоднородным содержимым, перегородками и утолщенными стенками.
  • Мультиспиральная компьютерная томография с усилением рентгенконтрастным веществом. Выявленное образование не накапливает рентгенконтрастное вещество. Обследование позволяет выявить мелкие образования и определить их характер. Наблюдение в динамике дает возможность определить тактику ведения больного.
  • Биопсия. Проводится в сомнительных случаях, но вопрос о ее проведении остается дискутабельным, поскольку ее не нежелательно выполнять по двум причинам. Прежде всего, существует вероятность того, что произойдет распространение процесса в случае ракового образования. Сформированный биопсионный канал — ворота для распространения раковых клеток. Кроме того, в 20% получается «ложноотрицательный» результат, а это влияет на неправильный выбор тактики лечения больного. Поэтому прибегают к компромиссному решению — экспресс-биопсия при проведение операции.

Лечение кисты почки

Основные направления лечения — медикаментозное и хирургическое. Медикаментозное лечение кисты почек у мужчин, как и лечение кисты на почках у женщин включает симптоматическую терапию при наличии осложнений:

  • повышенное артериальное давление;
  • присоединение воспалительного процесса;
  • появление отеков;
  • болевой симптом.

В первом случае назначаются гипотензивные препараты. При инфицированных кистах (протекает как локальный сепсис) и пиелонефрите требуется проведение длительных курсов фторхинолонов с переходом на прием антибиотиков. При появлении отеков рекомендуется периодический прием мочегонных препаратов и ограничение потребления соли. Для устранения боли пациентам назначаются обезболивающие препараты. Специальных медицинских препаратов, вызывающих регресс (обратное развитие) кисты, на сегодняшний день не существует.

Радикальным методом лечения этого заболевания у мужчин и женщин является хирургическое удаление, которое выполняется по показаниям, или склеротизация образования. Не всегда наличие кисты является показанием к оперативному лечению или другим активным действиям. Пациентам I-II группы (смотри выше) достаточно проведение динамического наблюдения, тем более, если киста не беспокоит их. Больной раз в 6 месяцев должен проходить УЗИ обследование.

Тем не менее, многие пациенты этой группы предпочитают оперативное удаление и вопрос решается в индивидуальном порядке. Любой врач понимает, что, если киста увеличивается в размерах, она сдавливает паренхиму, вызывая её атрофию. Если почка теряет паренхиму, то она теряет свою функцию, а здоровая почка берет на себя ее функцию. В случае, когда выявляются кисты единственной почки, то есть жизненная необходимость их удаления. К сожалению, не обойтись без операции при кистах III и IV типа, о которых было сказано выше. Объем вмешательства не зависит от локализации — киста это правой почки или левой.