Найти в Дзене
Доктор Зубик

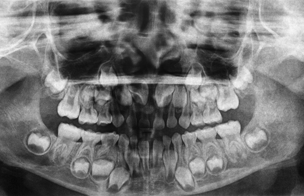
Детские зубы от 6 до 13 лет

Приблизительно в 6 лет молочные зубы вашего ребенка начинают меняться на взрослые зубы (коренные). Дети в это время переходят в стадию развития «гадкого утенка». Но, как и в случае с гадким утенком, в конце будет прекрасный лебедь. Пока ваш ребенок находится в этом возрасте и начинает терять передние зубы, важно знать, что в задней части рта располагаются взрослые моляры. Эти зубы проходят через десну без замены молочного зуба и часто остаются незамеченными. По мере того, как взрослые зубы перемещаются в нужное положение, они вызывают разрушение корней молочных зубов, те ослабевают и выпадают. Уход за полостью рта от 6 до 13 лет Дети в этой возрастной группе учатся самостоятельности, это необходимо поощрять. Тем не менее, родители должны по-прежнему оказывать физическую помощь в ежедневном уходе за зубами детей, пока им не исполнится 9 или 10 лет. Важное правило для родителей - если ребенок не может завязать свои шнурки, завязать фартук за спиной или, в случае девочек, завязать собств
Оглавление

Приблизительно в 6 лет молочные зубы вашего ребенка начинают меняться на взрослые зубы (коренные).

Дети в это время переходят в стадию развития «гадкого утенка». Но, как и в случае с гадким утенком, в конце будет прекрасный лебедь.

Пока ваш ребенок находится в этом возрасте и начинает терять передние зубы, важно знать, что в задней части рта располагаются взрослые моляры.

Эти зубы проходят через десну без замены молочного зуба и часто остаются незамеченными.

По мере того, как взрослые зубы перемещаются в нужное положение, они вызывают разрушение корней молочных зубов, те ослабевают и выпадают.

-2

Уход за полостью рта от 6 до 13 лет

Дети в этой возрастной группе учатся самостоятельности, это необходимо поощрять.

Тем не менее, родители должны по-прежнему оказывать физическую помощь в ежедневном уходе за зубами детей, пока им не исполнится 9 или 10 лет.

Важное правило для родителей - если ребенок не может завязать свои шнурки, завязать фартук за спиной или, в случае девочек, завязать собственный конский хвост, то он недостаточно взрослый, чтобы чистить свои собственные зубы.

Многие дети, с большой ответственностью и очень хорошо чистят передние зубы, но редко уделяют много времени для очистки задних зубов.

Разрушение в этих зубах, четыре из которых их первые коренные зубы, в задней части, случается часто.

Родителям следует помогать чистить зубы детям каждый день, но постепенно больше и больше давать самостоятельность, но под присмотром мамы или папы.

Таким образом, работа выполняется верным образом, но без ослабления растущего чувства независимости ребенка.

Детей нужно учить тому, что такое «хорошая работа», когда дело доходит до ухода за зубами, и наша работа - учить их.

Чистка и зубная нить

Размер щетины

Зубы круглые и выпуклые, а не плоские, и все же мы склонны чистить их большими жесткими щетками, как будто они большие, плоские как плитки для ванных комнат.

Использование щетки меньшего размера позволяет нам вычищать зубы, а не просто чистить их.

Большую часть от времени чистки требуется уделить очищению между зубами. Гладкие поверхности, которые мы склонны вычищать очень твердые, и обычно не такие грязные.

И не забудьте также почистить язык, он также загрязняется.

-3

Зубная паста

Для маленьких детей рекомендуется небольшое количество зубной пасты на щетке – размером с горошину.

Тип используемой зубной пасты — это личный выбор. Зубные пасты для детей, как правило, не такие мятные или «жгучие», как взрослые зубные пасты, и на вкус приятнее.

Большинство крупных производителей зубных паст производят разнообразные зубные пасты для детей, часто для разных возрастных групп.

Зубная нить

Цель зубной нити – очищение пространства между зубами, где зубная щетка не достает.

-4

Попросите стоматолога показать вам и членам вашей семьи, как правильно пользоваться зубной нитью, или посмотрите ролик в интернете.

Помогите ребенку освоиться с зубной нитью, пока он не научится ловко делать это самостоятельно.

Стоматологические визиты

Для детей от 6 до 13 лет рекомендуется посещать стоматолога раз в шесть месяцев.

Не ждите, что дети будут заботиться о зубах без поддержки родителей и профессионалов, помогите им вырастить здоровые зубы.