Добавить в корзинуПозвонить
Найти в Дзене
Клиника щитовидной железы

Что такое допплерография Щитовидной железы?

Во время УЗИ щитовидной железы врач обязан провести допплерографическое исследование каждой доли и перешейка, а также определить скорость кровотока в сосудах железы. Это исследование врачи обозначают аббревиатурой ЦДК или ЭДК (ЭД). ЦДК - цветовое допплеровское картирование, ЭДК - энергетическое допплеровское картирование (иногда применяют краткое обозначение - ЭД). ЭДК более точно, без искажений, позволяет определять кровоток. Следует знать, что допплеровское исследование щитовидной железы является обязательной, важной частью при УЗИ. Оно должно входить в стоимость УЗИ, а его результаты должны быть отражены в Протоколе УЗИ, к которому приложены снимки в режиме ЦДК или ЭДК, где видны сосуды. Врачи часто применяют термин ВАСКУЛЯРИЗАЦИЯ для обозначения состояния сосудистой сети железы в Протоколе УЗИ. Слово "васкуляризация" дословно означает - СОСУДИСТОСТЬ. Это прямое заимствование из англоязычной литературы. Поэтому воспринимается врачами привычно, но означает именно сосудистость, а не
Оглавление

Во время УЗИ щитовидной железы врач обязан провести допплерографическое исследование каждой доли и перешейка, а также определить скорость кровотока в сосудах железы. Это исследование врачи обозначают аббревиатурой ЦДК или ЭДК (ЭД).

ЦДК - цветовое допплеровское картирование, ЭДК - энергетическое допплеровское картирование (иногда применяют краткое обозначение - ЭД).
ЭДК более точно, без искажений, позволяет определять кровоток.

Следует знать, что допплеровское исследование щитовидной железы является обязательной, важной частью при УЗИ. Оно должно входить в стоимость УЗИ, а его результаты должны быть отражены в Протоколе УЗИ, к которому приложены снимки в режиме ЦДК или ЭДК, где видны сосуды.

Врачи часто применяют термин ВАСКУЛЯРИЗАЦИЯ для обозначения состояния сосудистой сети железы в Протоколе УЗИ. Слово "васкуляризация" дословно означает - СОСУДИСТОСТЬ. Это прямое заимствование из англоязычной литературы. Поэтому воспринимается врачами привычно, но означает именно сосудистость, а не сосудистую сеть или кровоток.

Слева -ЦДК (красные и синие элементы показывают сосуды и направление тока крови). Справа - ЭДК.
Слева -ЦДК (красные и синие элементы показывают сосуды и направление тока крови). Справа - ЭДК.

Даже если врач пишет о с васкуляризации. Проверьте насколько именно она изменена в каждой доле щитовидной железе при ее увеличении - в малой, средней или значительной. Это важно.

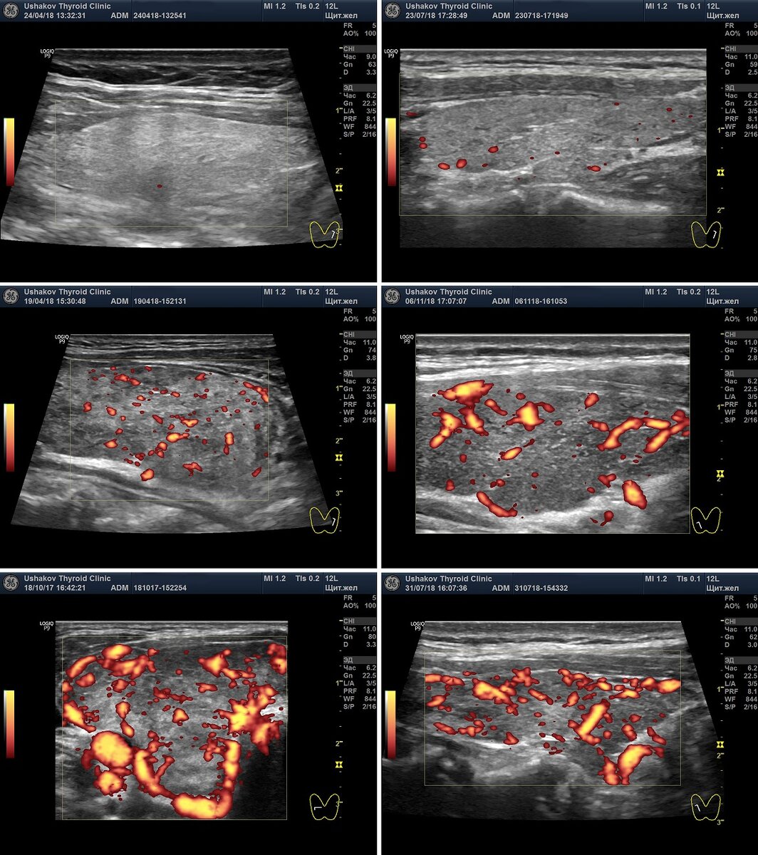
Посмотрите как может отличаться интенсивность кровотока в щитовидной железе при ЭДК
Посмотрите как может отличаться интенсивность кровотока в щитовидной железе при ЭДК

Также важно указание скорости кровотока в верхних или нижних щитовидных артериях (в см/с).

Величина усиления кровотока прямо указывает на величину нервной стимуляции щитовидной железы, от чего она истощается.

Помните, что несмотря на то, что Вы не врач, Вы и только Вы заинтересованы в полноценном качестве УЗИ. Вы можете заранее узнать и предупредить специалиста о том, что Вам нужна оценка величины выраженности кровотока и скорости кровотока в артериях железы.

Подробную информацию сможете найти в статье для пациентов на сайте нашей Клиники.

Также предлагаем к просмотру один из фильмов из нашего видео-канала:

Клиника Щитовидной железы доктора А.В. Ушакова желает здоровья всем нашим читателям!

ДЛЯ ВЫБОРА ДИАГНОСТИКИ И ЛЕЧЕНИЯ НЕОБХОДИМО ПРОКОНСУЛЬТИРОВАТЬСЯ С КОМПЕТЕНТНЫМ СПЕЦИАЛИСТОМ

Поддержите наш канал ЛАЙКОМ.

Если желаете - ПОДПИСЫВАЙТЕСЬ.