Добавить в корзинуПозвонить
Найти в Дзене
Pro100 Интересно

Шок!Беременная новорожденная в Китае!

Шокирующий случай произошел недавно в Китае. Новорожденная девочка, родившаяся в Гонконге, оказалась беременной близнецами. Сразу после рождения врачи обнаружили у нее в животе два странных образования. Сначала они подумали, что это опухоль, но когда провели операцию, оказалось, что внутри девочки находилось два плода. Хотя такие случаи очень редки, они известны в медицине. Такая аномалия, при которой внутри одного плода формируется другой плод, называется "эмбрион в эмбрионе" (fetus in fetu), и она встречается в 1-м из 500 000 случаев. Всего в мире было зарегистрировано около 200 случаев. Аномалии плода: fetus in fetu Оба плода были на 8-10-й неделе развития и были соединены с девочкой через пуповину к массе, похожей на плаценту. Их вес составил 14,2 и 9,3 грамма, у них был сформирован позвоночник, ребра, кишечник и даже конечности. И хотя, по словам хирургов, близнецы развивались внутри тела девочки, они были ее единоутробным братом или сестрой. На фотографии показан позвоночни

Шокирующий случай произошел недавно в Китае. Новорожденная девочка, родившаяся в Гонконге, оказалась беременной близнецами.

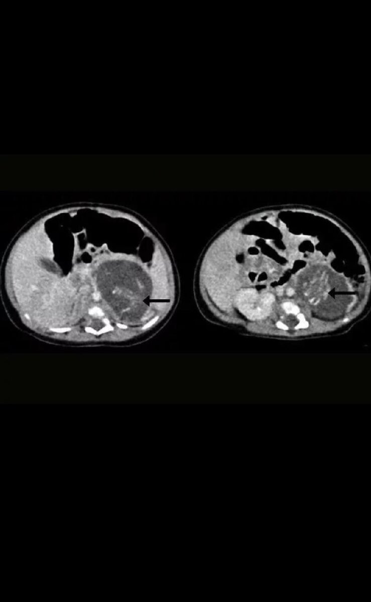
Сразу после рождения врачи обнаружили у нее в животе два странных образования. Сначала они подумали, что это опухоль, но когда провели операцию, оказалось, что внутри девочки находилось два плода.

Хотя такие случаи очень редки, они известны в медицине. Такая аномалия, при которой внутри одного плода формируется другой плод, называется "эмбрион в эмбрионе" (fetus in fetu), и она встречается в 1-м из 500 000 случаев. Всего в мире было зарегистрировано около 200 случаев.

Аномалии плода: fetus in fetu

Оба плода были на 8-10-й неделе развития и были соединены с девочкой через пуповину к массе, похожей на плаценту. Их вес составил 14,2 и 9,3 грамма, у них был сформирован позвоночник, ребра, кишечник и даже конечности. И хотя, по словам хирургов, близнецы развивались внутри тела девочки, они были ее единоутробным братом или сестрой.

На фотографии показан позвоночник каждого близнеца

Зародыши развились из яйцеклетки оплодотворённой родителями девочки.

"Так как девочка не могла забеременеть сама, оплодотворение близнецов принадлежит родителям, но произошло не в том месте", - объяснил врач д-р Ю Лай-ман (Yu Lai-man)

-2