Найти в Дзене
Мир Натальи Асси

Ученые определили какой будет следующая эпидемия после коронавируса

Человечество еще не победило коронавирус, а ученые уже призывают готовится к следующей волне пандемии. Насколько они правы жизнь покажет, но доля правды в их призывах есть. Не верить ученым из таких авторитетных заведений как Имперский колледж Лондона, Avenir Health, Университет Джона Хопкинса и Агентство по международному развитию США было бы не разумно. Так что будем знать чего нам ждать. А между тем, пандемия коронавируса не побеждена и до окончательной победы еще не близко. Люди болеют, выздоравливают и умирают. Вот выдержка из прогнозов ученых. В тексте есть ссылка на первоисточник. Учёные призвали готовиться к следующей после коронавируса эпидемии. По словам исследователей, "получится эффект снежного кома". Введённые во всём мире ограничительные меры против распространения коронавирусной инфекции могут спровоцировать начало следующей эпидемии - туберкулёза. Об этом сообщает CNBC, ссылаясь на новое исследование Stop TB Partnership. Согласно докладу, созданному при участии у
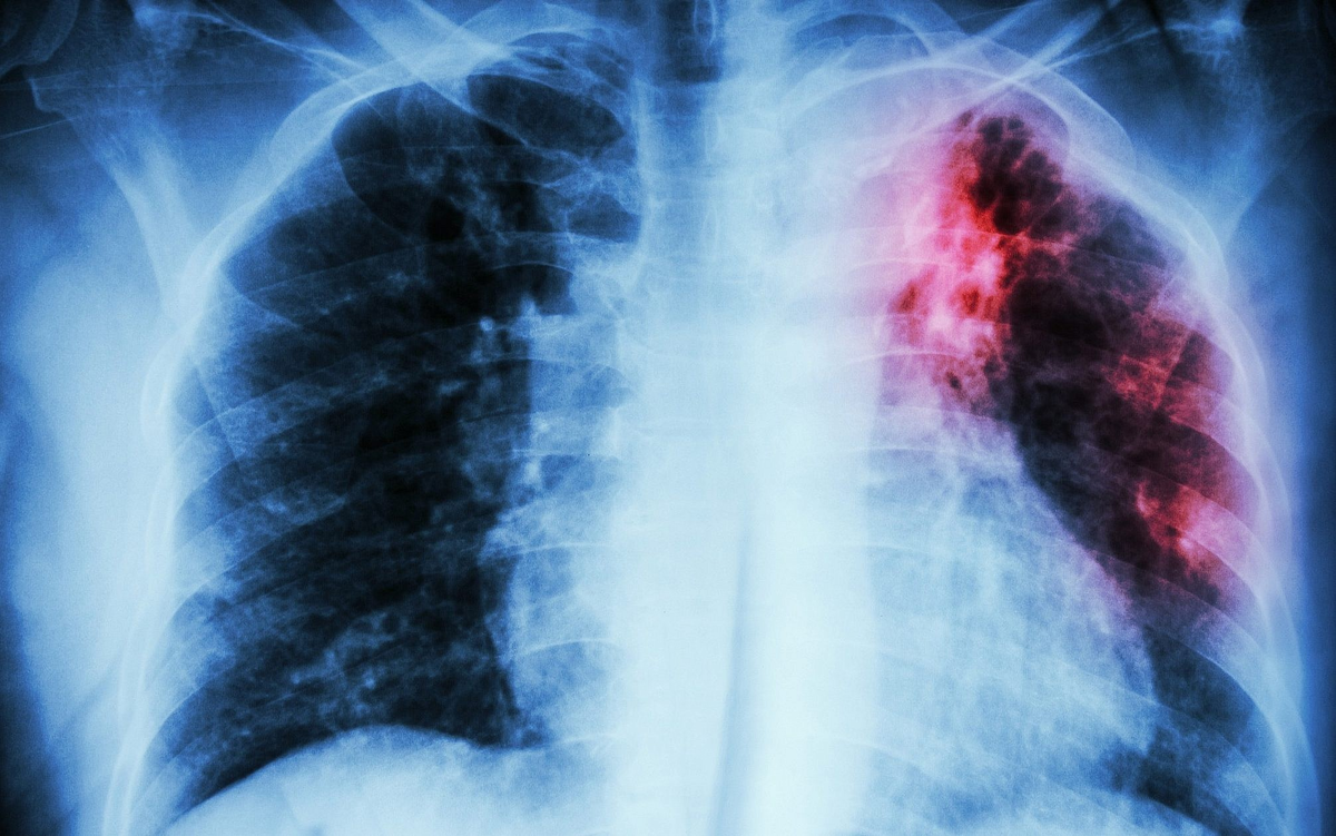
Легкие туберкулезного больного. Фото из открытого источника
Легкие туберкулезного больного. Фото из открытого источника

Человечество еще не победило коронавирус, а ученые уже призывают готовится к следующей волне пандемии. Насколько они правы жизнь покажет, но доля правды в их призывах есть. Не верить ученым из таких авторитетных заведений как Имперский колледж Лондона, Avenir Health, Университет Джона Хопкинса и Агентство по международному развитию США было бы не разумно. Так что будем знать чего нам ждать.

А между тем, пандемия коронавируса не побеждена и до окончательной победы еще не близко. Люди болеют, выздоравливают и умирают.

Вот выдержка из прогнозов ученых. В тексте есть ссылка на первоисточник.

Учёные призвали готовиться к следующей после коронавируса эпидемии. По словам исследователей, "получится эффект снежного кома".

Введённые во всём мире ограничительные меры против распространения коронавирусной инфекции могут спровоцировать начало следующей эпидемии - туберкулёза. Об этом сообщает CNBC, ссылаясь на новое исследование Stop TB Partnership.

Согласно докладу, созданному при участии учёных из Имперского колледжа Лондона, Avenir Health, Университета Джона Хопкинса и Агентства по международному развитию США, с 2020 по 2025 год пренебрежительное отношение к диагностике туберкулёза на фоне борьбы с пандемией коронавирусной инфекции может привести к заболеванию туберкулёзом около 6,3 млн человек.

Кроме того, согласно исследованиям, умереть от новой эпидемии могут около 1,4 млн человек.

Фото из открытого источника
Фото из открытого источника

Исполнительный директор Stop TB Partnership Лучика Дитиу напомнила о том, что туберкулёз - это заразная болезнь, которая переносится по воздуху.

"Поэтому каждый человек, у которого его не смогли выявить и вылечить, будет заражать других: получится эффект снежного кома", - объяснила она.

В период пандемии здравоохранение многих стран оказалось не готовым к борьбе с коронавирусом. В настоящее время все силы медиков брошены на борьбу с этим вирусом и приостановлены многие другие виды медицинской помощи. Ничем хорошим это не закончится. Нельзя оставлять бесконтрольно грозные заболевания, в том числе и туберкулез.