Добавить в корзинуПозвонить
Найти в Дзене
TaoTao

Мужчина думал, что он просто поранил ногу, но правда оказалась гораздо страшнее?

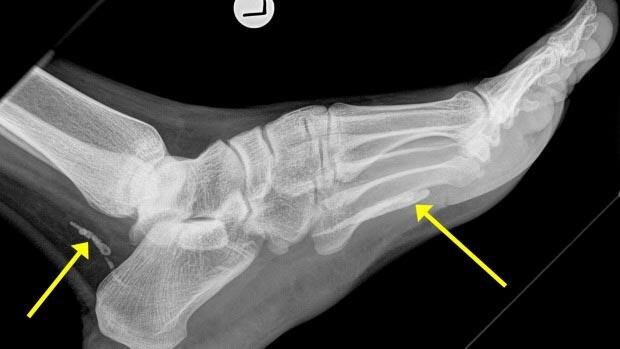
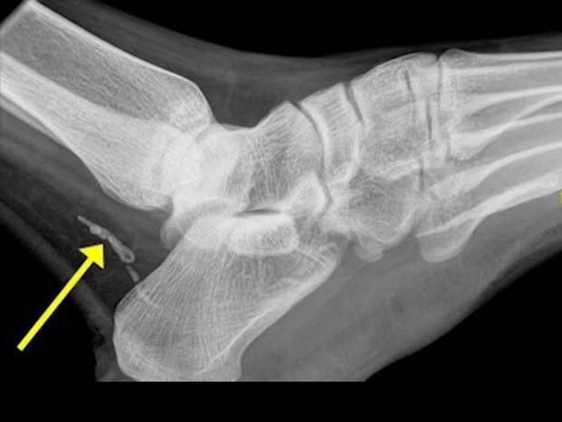
Неизвестный мужчина, иммигрировавший из Австралии долгое время жаловался на боль ноге, подозревая что он где то её поранил. Время шло, а боль не только не проходила, но и усиливалась. В один прекрасный день он обратился в больницу, где ему сделали рентгеновский снимок ноги, глядя на который врачи смогли сразу установить точный диагноз. Если вы не являетесь слишком впечатлительным человеком,, то подробнее о диагнозе читайте далее. Неизвестный африканец иммигрировал в Австралию из Судана около 4 лет назад. Около года он жаловался на боль в ноге. Первоначально врачи думали, что это была инфекция, но на всякий случай решили сделать рентгеновский снимок больной ноги. И вот что врачи на нем увидели Вместо инфекции, в ноге африканца находился червь-паразит, известный как дракункулёз, или ришта. Личинки этого червя могут проникнуть в организм вместе с питьевой водой. Скорее всего паразит попал в организм африканца ещё до его отъезда в Австралию. На данном снимке вы можете видеть червя, состо

Неизвестный мужчина, иммигрировавший из Австралии долгое время жаловался на боль ноге, подозревая что он где то её поранил. Время шло, а боль не только не проходила, но и усиливалась. В один прекрасный день он обратился в больницу, где ему сделали рентгеновский снимок ноги, глядя на который врачи смогли сразу установить точный диагноз. Если вы не являетесь слишком впечатлительным человеком,, то подробнее о диагнозе читайте далее.

Неизвестный африканец иммигрировал в Австралию из Судана около 4 лет назад. Около года он жаловался на боль в ноге. Первоначально врачи думали, что это была инфекция, но на всякий случай решили сделать рентгеновский снимок больной ноги. И вот что врачи на нем увидели

-2

Вместо инфекции, в ноге африканца находился червь-паразит, известный как дракункулёз, или ришта. Личинки этого червя могут проникнуть в организм вместе с питьевой водой. Скорее всего паразит попал в организм африканца ещё до его отъезда в Австралию. На данном снимке вы можете видеть червя, состоящего из двух частей, которые отмечены на снимке желтыми стрелками. Обычно ришта вырастают до определенных размеров, разрывают кожу и вылазят на поверхность, но этот парень решил умереть в организме носителя и ествественно стал разлагаться

-3

К счастью, врачи смогли быстро установить точный диагноз и быстро отправили африканца на операцию. Хирурги удалили остатки червя из ноги мужчины и он быстро пошел на поправку

-4

Размер ришты в теле носителя может достигать 80 см, после чего они прорываются через кожу ноги, чтобы подыскать новый дом для будущего потомства.

Люди - единственные, кто может являться носителями ришты, поэтому не стоит бояться заразиться ими от животных. Дракункулёз не смертелен, но крайне отвратителен. Яйца ришты попадают в организм человека вместе с зараженными ими веслоногими рачками, которые в свою очередь попадает в наш организм с питьевой водой. Попадая в кишечник, черви прогрызают его стенки, и после попадания в лимфатические узлы, они локализуются в подкожной клетчатке ног. Носитель не испытывает никаких симптомов вплоть до того момента, пока червь не вырастает, и не пытается прогрызть себе путь наружу. Только тогда человек начинает испытывать болезненное жжение в одной из нижних конечностей. При контакте кожи с водой, червь высовывает переднюю часть тела и выпускает в воду личинок, задачей которых является заражение веслоногих рачков.