Добавить в корзинуПозвонить
Найти в Дзене
ЗАПИСКИ ОРТОДОНТА

Лучший возраст, когда стоит идти с ребёнком на консульатцию к ортодонту

Всем привет! Тема сегодняшней статьи - когда в первый раз показывать своего ребёнка ортодонту. Взрослые пациенты, которые проходят ортодонтическое лечение, часто задают мне этот вопрос. Давайте разбираться. Дорогие друзья, если Вы со своим ребёнком еще ни разу не были у стоматолога, я рекомендую посетить ортодонта для консультации в 6-7 лет. Это то время, когда начинается период сменного прикуса (за последними молочными зубками начинают прорезаться крупные постоянные моляры - "шестые" зубы, а центральные зубки на верхней и нижней челюстях начинают меняться на более крупные, постоянные резцы). Как отличить временные (молочные) зубки от постоянных? Молочные зубы намного светлее (белее) постоянных зубов, а также постоянные зубы почти в 2 раза крупнее (нередко бывает, когда постоянные центральные резцы бывают даже чуть больше чем в 2 раза крупнее своих предшественников. Но всегда есть исключения из правил. В случае, если Ваш ребёнок уже не понаслышке знает что происходит в кабинете у стом

Всем привет! Тема сегодняшней статьи - когда в первый раз показывать своего ребёнка ортодонту. Взрослые пациенты, которые проходят ортодонтическое лечение, часто задают мне этот вопрос. Давайте разбираться.

Дорогие друзья, если Вы со своим ребёнком еще ни разу не были у стоматолога, я рекомендую посетить ортодонта для консультации в 6-7 лет. Это то время, когда начинается период сменного прикуса (за последними молочными зубками начинают прорезаться крупные постоянные моляры - "шестые" зубы, а центральные зубки на верхней и нижней челюстях начинают меняться на более крупные, постоянные резцы).

Как отличить временные (молочные) зубки от постоянных?
Молочные зубы намного светлее (белее) постоянных зубов, а также постоянные зубы почти в 2 раза крупнее (нередко бывает, когда постоянные центральные резцы бывают даже чуть больше чем в 2 раза крупнее своих предшественников.

Но всегда есть исключения из правил. В случае, если Ваш ребёнок уже не понаслышке знает что происходит в кабинете у стоматолога, существует два исхода событий, благоприятный и не очень.

Начнем с благоприятного. Ваш лечащий детский доктор заметит начало развития какой-либо патологии в полости рта ребёнка или же хотя бы что-то заподозрит и, дабы перестраховаться, направит Вас на консультацию к ортодонту.

Неблагоприятный исход заключается в том, что лечащий доктор Вашего ребёнка не придает значения ортодонтическим факторам и не прибегает к помощи ортодонта. В этом случае, ответственность целиком и полностью лежит на Вас. Вы можете поинтересоваться у детского доктора, нужна ли Вам консультация, или же сразу самостоятельно направиться к ортодонту. Как говорится, "лучше перебдеть, чем недобдеть".

Также иногда встречаются ситуации, которые не подходят ни под один из вышеперечисленных шаблонов, а именно: вашему ребёнку еще нет 6 лет и вы ни разу с ним не были у стоматолога, но САМИ замечаете, что с зубочелюстной системой что-то не так. В этом случае, не нужно ждать определенного возраста! Важно начать профилактическое лечение, чтобы не усугубить ситуацию в будущем!

Под "что-то не так"я подразумеваю изменения прикуса, такие как открытый прикус, мезиальный прикус и перекрестный прикус.

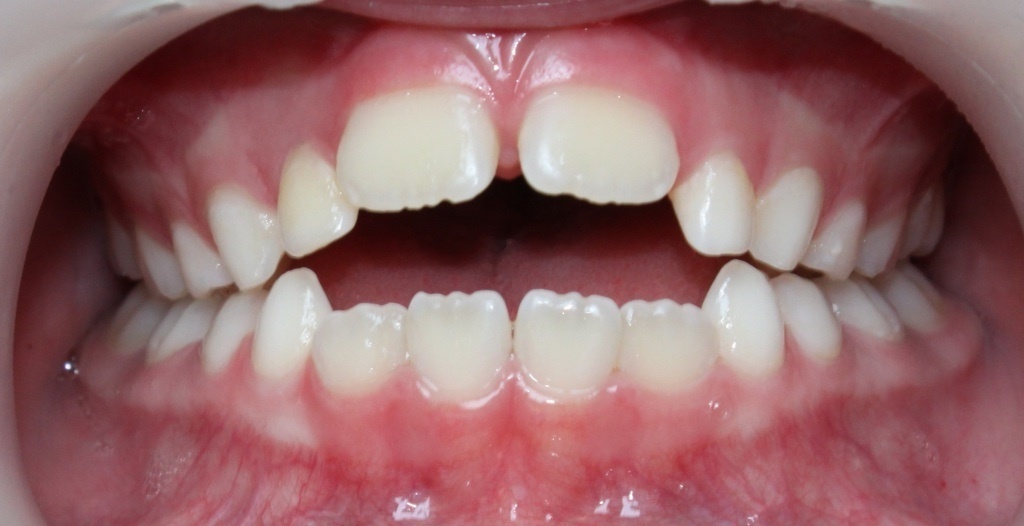
Ниже приведу фотографии, для того чтобы было более наглядно.

Открытый прикус. Передние зубки не смыкаются. Затруднено откусывание пищи.
Открытый прикус. Передние зубки не смыкаются. Затруднено откусывание пищи.
Перекрестный прикус. Нижние зубы перекрывают верхние в боковом отделе. Можно заметить небольшое смещение подбородка в сторону.
Перекрестный прикус. Нижние зубы перекрывают верхние в боковом отделе. Можно заметить небольшое смещение подбородка в сторону.
Мезиальный прикус. Нижние зубы перекрывают верхние в переднем (может быть и в переднем, и в боковых). При этом значительно изменяется профиль ребенка.
Мезиальный прикус. Нижние зубы перекрывают верхние в переднем (может быть и в переднем, и в боковых). При этом значительно изменяется профиль ребенка.

Надеюсь информация была интересная и понятная:) Спасибо за внимание!