Добавить в корзинуПозвонить
Найти в Дзене
Взглядом женщины

Перелом и восстановление шваброй по совету врача

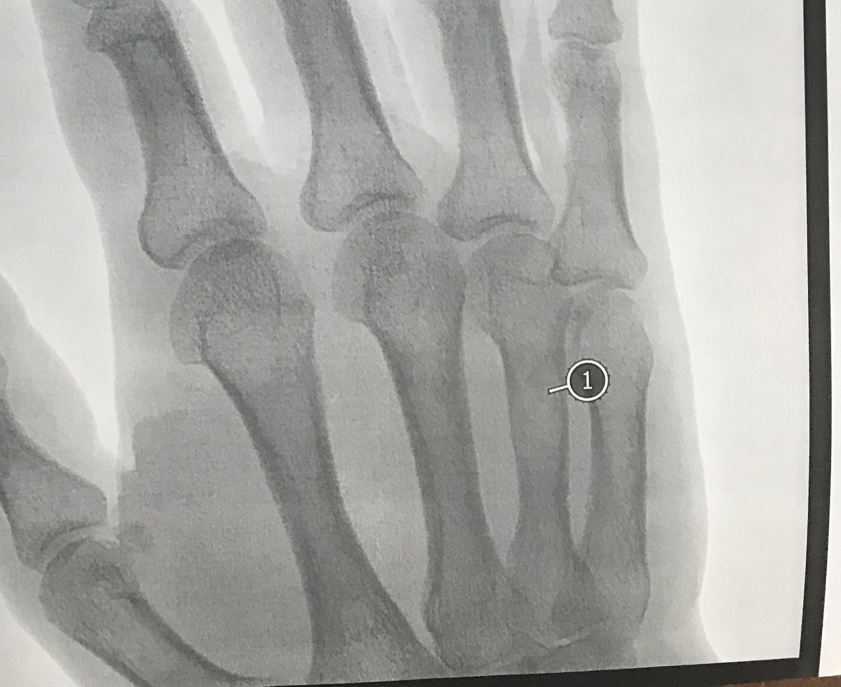
В одной из статеек я рассказывала, что сломала пястную кость правой руки... Ура! Сегодня, спустя месяц с небольшим, гипс сняли! Радуйся, пляши и бросайся в домашние дела. Ведь, наконец вынужденные выходные можно посвятить увлечениям и порядку в доме... Все эти мысли проскочили во время снятия гипса... Большой дяденька Врач, подбодрил: «Ну вот, домой придёшь, полы шваброй помоешь, посуду руками и твоё восстановление гарантировано! В пятницу и на работу можешь шагать!» Домой я не шла - летела, не замечая боль в руке и «побочный эффект» загипсованной конечности. Впервые в жизни ноги несли меня на встречу к швабре! Той, что «чудесным способом» восстановит мою руку. Швабра о своих способностях не знала. Нужно было её с собой к хирургу прихватить! Может быть, дядя Врач умеет наделять эту штуковину чудесными силами? После нескольких попыток двигать кистью и пальцами - сдалась. Швабра не спасёт... Пришлось обращаться к интернету. Он, не обещал быстрого восстановления и остерегал от резк

В одной из статеек я рассказывала, что сломала пястную кость правой руки...

Ура! Сегодня, спустя месяц с небольшим, гипс сняли! Радуйся, пляши и бросайся в домашние дела. Ведь, наконец вынужденные выходные можно посвятить увлечениям и порядку в доме... Все эти мысли проскочили во время снятия гипса...

Большой дяденька Врач, подбодрил: «Ну вот, домой придёшь, полы шваброй помоешь, посуду руками и твоё восстановление гарантировано! В пятницу и на работу можешь шагать!»

Домой я не шла - летела, не замечая боль в руке и «побочный эффект» загипсованной конечности. Впервые в жизни ноги несли меня на встречу к швабре! Той, что «чудесным способом» восстановит мою руку.

Швабра о своих способностях не знала. Нужно было её с собой к хирургу прихватить! Может быть, дядя Врач умеет наделять эту штуковину чудесными силами?

После нескольких попыток двигать кистью и пальцами - сдалась. Швабра не спасёт...

Пришлось обращаться к интернету. Он, не обещал быстрого восстановления и остерегал от резких нагрузок и движений... Вот блин!

Что в итоге? Неспешно разминая руку в течении всего дня, к вечеру - обхватила крупное яблоко, испытывая боль... Сжать кулак - не рискну. У меня глаза из орбит вылетят...

И посуда - в топку!

Швабра стоит у порога, раздумываю завтра прихватить её в больницу... Пусть меня научат секретному способу восстановления конечностей! Может я не верно применяла это средство...

Вот тебе и на работу через пару дней...

Все рекомендации врача нужно соблюдать дословно?

Или это медицинский юмор?

👍🏻✅💬