Найти в Дзене

Этого нам еще не хватало опять новый вирус.

В Китае в провинции Юньнань местный житель умер от хантавируса. Об этом 24 марта сообщило издание Global Times. Мужчина ехал на работу и скончался в автобусе.
Результаты анализов показали, что он был заражен хантавирусом, при этом тест на новый коронавирус оказался отрицательным. Смерть жителя провинции Юньнань повлекла за собой ряд проверок, включая тестирование нескольких человек, находившихся
Оглавление

В Китае в провинции Юньнань местный житель умер от хантавируса. Об этом 24 марта сообщило издание Global Times. Мужчина ехал на работу и скончался в автобусе.

Результаты анализов показали, что он был заражен хантавирусом, при этом тест на новый коронавирус оказался отрицательным. Смерть жителя провинции Юньнань повлекла за собой ряд проверок, включая тестирование нескольких человек, находившихся рядом с умершим.

Что известно о хантавирусах?

Хантавирусы (лат. — Orthohantavirus или Hantavirus) — род вирусов человека и животных. Механизмы лечения заболеваний, которые они вызывают, известны, также существуют вакцины. Первая классификация рода хантавирус была выдвинута в 1987 году на докладе в Международном комитете по таксономии вирусов. В 2017 году название рода изменили на Orthohantavirus и включили в него 41 вид. В их числе —хантавирусы Пуумала, Хантаан, Сеул, Амур, Добрава и другие.

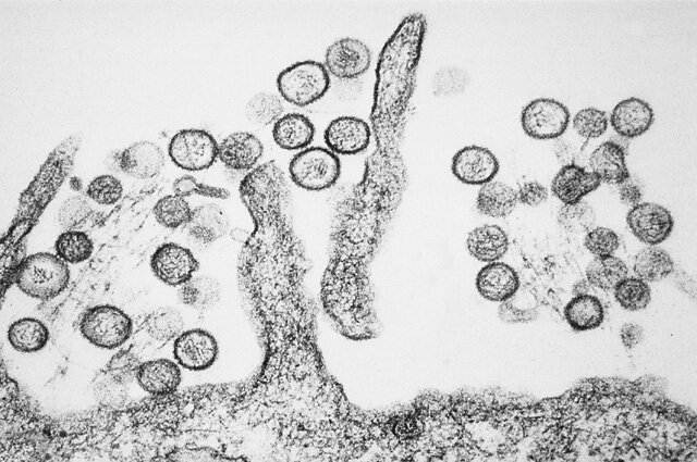
Хантавирус. Фото: Public Domain
Хантавирус. Фото: Public Domain

Принято считать, что впервые этот вирус стал причиной заболевания большого числа людей во время Корейской войны 1950–1953 годов. Тогда свыше 3 000 солдат почувствовали себя плохо. У них открылось внутреннее кровотечение и нарушилась функция почек. Этот эпизод получил название «корейская геморрагическая лихорадка».

Определить возбудителя заболевания сразу не получилось, это произошло лишь в 1976 году. Для этого врачи провели эксперимент, в рамках которого использовали легочную ткань полевой мыши: она показывала специфическую реакцию на сыворотку крови пациентов с данной лихорадкой. В дальнейшем «корейская геморрагическая лихорадка» стала известна, как «геморрагическая лихорадка с почечным синдромом», а ее возбудителем был признан Hantaan orthohantavirus.

Как можно заразиться хантавирусом?

По данным Роспотребнадзора, заразиться хантавирусом можно от грызунов. В Китае также известны случаи, когда заражение происходило вследствие укуса некоторых видов насекомоядных летучих мышей. Считается, что от человека к человеку инфекция не передается, а больные опасности для других людей не представляют. Однако о случаях передачи болезни от человека к человеку заявляли ученые, которые изучали вспышки инфекции в Аргентине и Чили в 1990-е годы.

По данным Роспотребнадзора, в европейской части России чаще всего переносчиком хантавируса является европейская рыжая полевка, на территории Центрального Черноземья — полевая мышь, на юге страны — кавказская лесная мышь, в дальневосточных регионах — полевая и восточно-азиатские мыши, а также серая крыса.

ВОПРОС-ОТВЕТСколько коронавирус и другие вирусы живут вне организма? Инфографика
ВОПРОС-ОТВЕТСколько коронавирус и другие вирусы живут вне организма? Инфографика

Инфицированные грызуны выделяют вирус во внешнюю среду со слюной, мочой, экскрементами. Попав в организм человека, хантавирусы могут стать возбудителем геморрагической лихорадки с почечным синдромом, или «мышиной болезни». Как ранее рассказывала АиФ.ru врач-инфекционист София Русанова, болезнь передается по большей части пылевым путем, то есть при вдыхании испражнений грызунов. Мелкие частички мышиных фекалий могут находиться на любых поверхностях, а также на коврах и чердаках. Больше всего больных заражаются на даче при сборе листвы и уборке помещений. Однако заболеть можно и после прогулки по лесу или выгула собаки.

Чаще всего «мышиной лихорадкой» заражаются весной, летом и осенью. В некоторых случаях болезнь регистрируется в России и в другие времена года.

Какие симптомы у болезни и чем она опасна?

Геморрагическая лихорадка с почечным синдромом (ГЛПС) — это острая природно-очаговая вирусная инфекция человека с характерным поражением мелких кровеносных сосудов, почек и других органов. Ее возбудителями являются хантавирусы Пуумала, Хантаан, Сеул, Амур и Добрава (семейство Буньявириде).

Болезнь начинается остро. С момента заражения до появления первых симптомов обычно проходит до двух недель. Максимальный срок инкубационного периода составляет 50 суток. В начальном периоде ГЛПС похожа на грипп или ОРВИ. У больного повышается температура тела, возникает головная боль, боли в мышцах, озноб, общая слабость, снижается аппетит. Возможно появление тошноты, рвоты и жидкого стула. У некоторых заразившихся также присутствует заложенность носа, сухой кашель, покраснение лица, шеи и верхней половины туловища.

Развитие болезни может привести к острой почечной недостаточности, пиелонефриту, гломерулонефриту и мочекислому диатезу. Кроме того, к болезни могут присоединиться вторичные инфекции бактериальной природы, которые способны стать причиной развития целого ряда опасных заболеваний. Осложнения могут быть тяжелыми и привести к летальному исходу.

Что за хантавирусный синдром?

Хантавирус также может стать причиной возникновения хантавирусного кардиопульмонального синдрома. Этим термином обозначают группу клинически схожих заболеваний, которые встречаются на территории Северной и Южной Америки. Первые симптомы болезни также напоминают обычную простуду, однако во второй стадии состояние больного резкого ухудшается. Тогда обычный кашель переходит в гипоксемию, шок и сердечную недостаточность. В этот период у больного повреждаются сосуды и происходит внутреннее кровотечение, а в дальнейшем болезнь приводит к интерстициальному пневмониту, отекам, воспалению тканей, отложениям фибрина и изменениям в легочной ткани.

ВОПРОС-ОТВЕТ .Что за вирус с неизвестными науке генами нашли в Бразилии?
ВОПРОС-ОТВЕТ .Что за вирус с неизвестными науке генами нашли в Бразилии?

Большинство смертей от хантавирусного кардиопульмонального синдрома фиксируется во время этой фазы, особенно часто — в течение 48 часов после первых признаков ухудшения состояния. 

Как избежать заражения хантавирусом?

На дачном участке необходимо провести дератизацию, после чего регулярно проверять помещения на наличие мышей и крыс. Также не будет лишним защитить пищу и воду от доступа к ним грызунов. Не стоит пренебрегать тщательной термической обработкой еды, а перед каждым приемом пищи нужно тщательно мыть руки.