Добавить в корзинуПозвонить
Найти в Дзене
Mortochka

Уникальная история одного пациента с ковид-19

Лучшие специалисты, все возможные лекарства и методы лечения. Один здоровый спортивный пациент… на грани смерти. Он выживет? – Ким Белло сжимала телефон в руке. Она вышла во двор, чтобы трое ее детей не слышали разговор с лечащим врачом ее мужа Джима. Джим две недели боролся с коронавирусом в общей больнице Массачусетса. Его подключили к ИВЛ, и последние 9 дней он находился на аппарате искусственного кровообращения. Врач, доктор Эмми Рубин, мягко ответила, что у мужа миссис Белло есть шанс выжить, но «если вас интересует мое мнение, это маловероятно». Джим Белло, 49 лет, спортивный и здоровый юрист, слег с температурой 39.5 в начале марта после похода в Белые горы штата Нью-Хемпшир. Через шесть дней его привезли в пригородное отделение больницы – он не мог дышать. Теперь, несмотря на все усилия врачей, его легкие на последнем рентгеновском снимке были абсолютно белыми, практически без воздуха. «Один из худших рентгеновских снимков грудной клетки, который я когда-либо видел» - проко
Оглавление
Лучшие специалисты, все возможные лекарства и методы лечения. Один здоровый спортивный пациент… на грани смерти.

Он выживет? – Ким Белло сжимала телефон в руке. Она вышла во двор, чтобы трое ее детей не слышали разговор с лечащим врачом ее мужа Джима. Джим две недели боролся с коронавирусом в общей больнице Массачусетса. Его подключили к ИВЛ, и последние 9 дней он находился на аппарате искусственного кровообращения.

Врач, доктор Эмми Рубин, мягко ответила, что у мужа миссис Белло есть шанс выжить, но «если вас интересует мое мнение, это маловероятно».

Джим Белло, 49 лет, спортивный и здоровый юрист, слег с температурой 39.5 в начале марта после похода в Белые горы штата Нью-Хемпшир. Через шесть дней его привезли в пригородное отделение больницы – он не мог дышать.

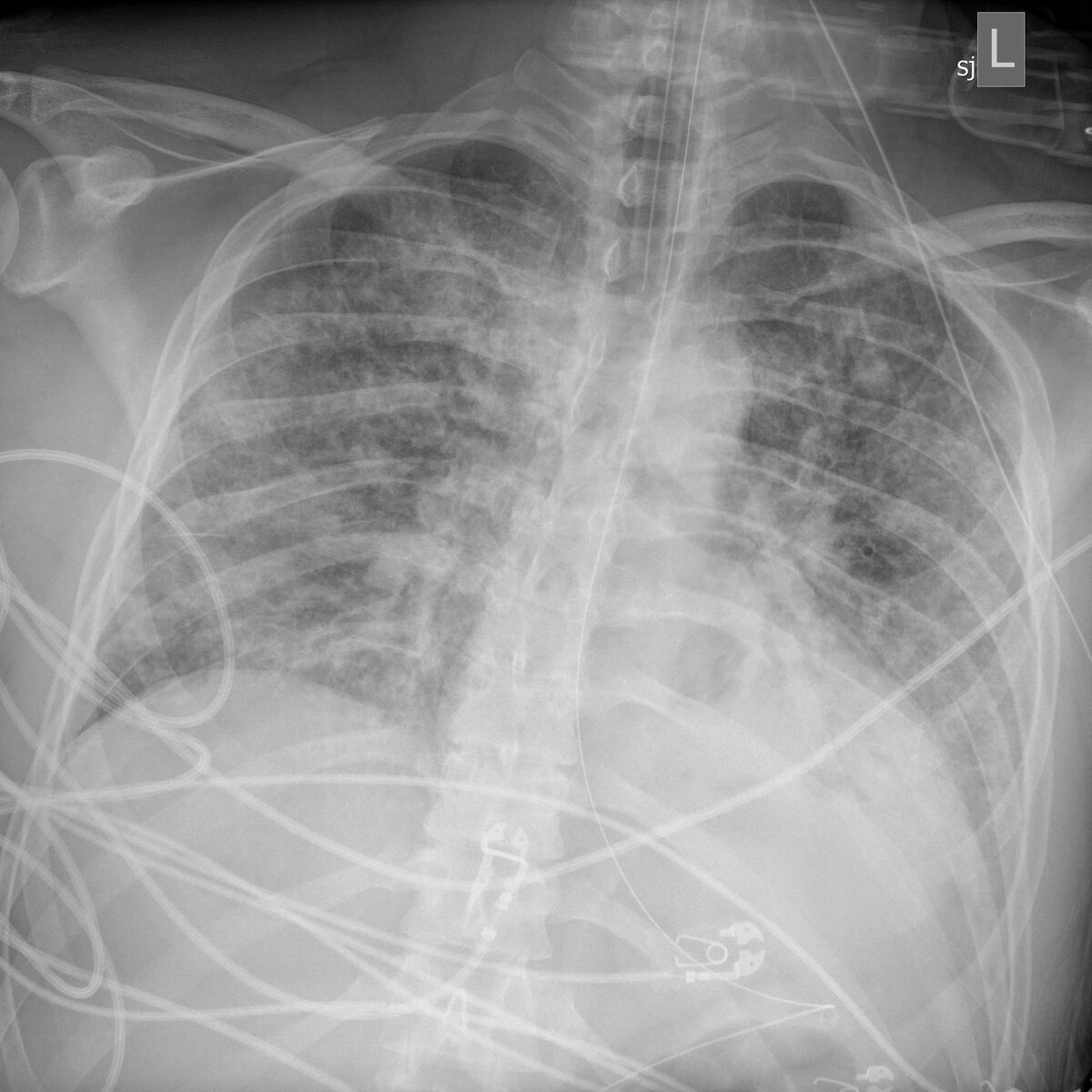
Теперь, несмотря на все усилия врачей, его легкие на последнем рентгеновском снимке были абсолютно белыми, практически без воздуха. «Один из худших рентгеновских снимков грудной клетки, который я когда-либо видел» - прокомментировал доктор Пол Керриер, еще один из его врачей.

Пациенту вкололи сильные седативные препараты и парализовали его, чтобы он не мог шевелиться. Даже небольшие прикосновения вызывали движения в теле Джима. От этого мог резко снизиться уровень кислорода в крови. Врачи беспокоились, что его сердце остановится. Они поняли, что в таком случае не смогут его реанимировать.

Медицинский персонал перепробовал все, чтобы ему помочь, включая экспериментальные препараты, перевороты на живот для улучшения потоков воздуха и самую продвинутую технику для жизнеобеспечения.

Они рассматривали еще один медицинский маневр, но для этого Джима пришлось бы отключить от кислорода на 30 секунд. По мнению врачей, он бы эти 30 секунд не пережил.

Доктор Ювал Раз, главные специалист в команде по лечению Джима Белло пояснил: «Даже если бы это могло ему помочь, попытка что-то сделать убила бы его».

Джим Белло был заядным лыжником, велосипедистом, увлекался бегом. Человек с отличным здоровьем оказался на грани смерти, и профессиональные врачи с доступом ко всем лекарствам и новейшим оборудованием ничего не могли сделать, чтобы спасти его.

В больницах никогда прежде не было так много настолько больных пациентов. Их легкие практически перестали функционировать. Несмотря на весь опыт врачей в борьбе с дыхательной недостаточностью, исход для пациентов с коронавирусом был не предсказуем.

«Как будто они падают со скалы» – объясняет врач Пегги Лай из больницы Массачусетса – «Вы наблюдаете, как молодым пациентам становится все хуже, несмотря на все попытки их вылечить по всем медицинским стандартам. Самое сложное в этой болезни, что у нас нет никаких индикаторов, чтобы понять, насколько сильно кто-то заболеет или понять, когда он идет на поправку».

Сейчас нет проверенных методов лечения, и врачи оказываются на американских горках проб и ошибок. Они пытаются оценить риски и тщательно настраивают оборудование в надежде помочь легким пациентов восстановиться.

“Все будет хорошо”

7 марта у Джима Белло поднялась температура. После нескольких дней с температурой у него начался кашель, стеснение в груди. Он обратился к врачу, который прописал ему антибиотики от пневмонии. Но к 13 марта он уже практически не мог дышать. Врачи в пригородной больнице Бостона быстро решили, что ему нужен аппарат ИВЛ.

«Что, если я это не переживу?» спросил Джим у своей жены. Она заверила его, что все будет хорошо. «Он подмигнул мне так же, как на нашей первой встрече».

Ночью Джима Белло перевели в больницу Массачусетса. Он стал первым интубированным пациентом с коронавирусом. По словам его первого лечащего врача, доктора Курриер, его случай изначально казался простым и управляемым.

Как и у многих других пациентов с ковид-19, у Белло был острый респираторный дистресс синдром ОРДС. Его легкие настолько были воспалены и залиты жидкостью, что крошечные альвеолы, которые переносят кислород в кровь, превратились в неэффективные раздувшиеся шарики.

Рентген снимок легких Джима Белло 14го марта
Рентген снимок легких Джима Белло 14го марта

Настройки ИВЛ постоянно корректируют: кислород, частота дыхания, объем дыхания и давление. Врачи работают над тем, чтобы оказать достаточное давление, чтобы дыхательные пути были открыты, но не настолько, чтобы растянуть и повредить легкие еще больше.

Пациентов с интубацией часто усыпляют и вкалывают им паралитические препараты, чтобы они не пытались дышать сами, пока за них это делает машина.

К концу первого дня аппарат ИВЛ поставлял 65% кислорода, ниже, чем Белло было необходимо при поступлении. На следующий день показатель снизили до 35%. Это хороший признак, потому что самый низкий показатель, 21% эквивалентен комнатному вохдуху.

«Похоже он шел на поправку» - комментировал доктор Керриер, пульмонолог и врач интенсивной терапии.

Но затем его состояние необъяснимым образом ухудшилось. Пришлось выставить кислород на 100%. Около 2 утра 18го марта команда врачей перевернула Белло на живот, чтобы свести к минимуму давление сердца на легкие. «Это здорово – подумал Керриер перед тем, как немного поспать – мы ему помогли».

Но в течение следующего дня уровень кислорода в крови Белло резко упал.

Лекарства и ЭКМО

Врачи уже начали лечить его всеми препаратами, которые пробовали в других больницах: гидроксихлорохин – противомалярийный препарат, который продвигал президент Трамп; статин, который в конечном счете пришлось убрать, потому что он вредил печени. Белло также зачислили в клинические испытания противовирусного препарата, тестируемого для лечения Ковид-19, Ремдесивир, но никто не знал, получает ли он препарат или плацебо.

В тот день, все больше обеспокоенные его воспалением легких, врачи попробовали иммунодепрессор, тоцилизумаб.

Ничего не получалось. Поэтому врачи обратились к последнему отчаянному способу. Команда из 8 человек перевернула его обратно на спину. Врачи вставили ему большие трубки в шею и ногу и подключили его к специальной шунтирующей установке для искусственного кровообращение.

Этот метод, называемый экстракорпоральной мембранной оксигенацией, или ЭКМО, откачивает кровь из пациента, пропускает ее через оксигенатор и перекачивает обратно в организм. Управлять этой машиной сложно, и такого оборудования нет во многих больницах.

Аппарат ЭКМО
Аппарат ЭКМО

«ЭКМО нельзя назвать хорошей терапией. Много всего плохого может случиться, даже если результат будет хорошим» комментирует директор ЭКМО департамента больницы Массачусетс в Бостоне.

Риски включают в себя кровотечения и инсульт. Специалисты ЭКМО должны постоянно следить за тем, чтобы объем крови, циркулирующий через аппарат, не был слишком низким или слишком высоким, чтобы пациент не получал слишком много жидкости и кровеносные сосуды не разрушались.

К настоящему моменту ЭКМО используют для сотен пациентов с коронавирусом, по данным некоммерческой организации, регистрирующей статистику. Большинство пациентов все еще подключены к оборудованию, поэтому пока нет данных по выживанию и насколько ЭКМО является эффективным способом в борьбе с ковид-19.

По словам директора департамента ЭКМО в больнице Массачусетса «ЭКМО ничего не исправляет. Оборудование просто поддерживает в тебе жизнь, пока другое лечение, как мы надеемся, помогает поправиться».

“Если у него остановится сердце, мы не сможем его откачать”

Эластичность легких выше 100 у здоровых людей и около 30 у людей с тяжелой дыхательной недостаточностью. У Белло этот показатель был меньше 10. Его легкие могли выдерживать дыхание только объемом со столовую ложку, незначительный показатель по сравнению со здоровым дыханием.

Вокруг трубок начала появляться кровь, пришлось остановить антикоагулянты [лекарства, которые предотвращают свертываемость крови]. Рентгенография грудной клетки не обнадеживала. 13 марта было много жидкости и воспалений, но можно было все еще разглядеть легкие. 18 марта снимок был хуже, но пространство в легких все еще было. К 20 марта его легкие были, как белое полотно.

Ежедневно врачи и медсестры информировали миссис Белло о состоянии ее мужа. Она ушла с работы, чтобы помочь своим детям – Хэдли, 13 лет и близнецам Райли и Тейлору, 11 лет – справиться с болезнью отца. Миссис Белло также собрала несколько тысяч долларов, чтобы кормить врачей в реанимации больницы, которые лечили ее мужа. У нее и Хэдли появились легкие симптомы, но врачи не стали проверять их на коронавирус.

Поскольку в реанимацию не пускали посетителей, медсестра Керри Воелкель несколько раз в день звонила по громкой связи семье Белло из палаты их отца. Воелкель вспоминает: «Хедли испекла торт и пошутила, что у нее не получилось и она попробует еще раз. Тейлор рассказывал про успехи в футбольных тренировках на заднем дворе. Мне было очень больно стоять и слушать, как дети разговаривают со своим отцом».

Рентген снимок легких Джима Белло 27го марта
Рентген снимок легких Джима Белло 27го марта

К 27 марта был девятый день на ЭКМО и Белло не становилось хуже. Если медсестра поправляла его подушку или осторожно перемещала его, чтобы предотвратить пролежни, показатели кислорода в его крови падали.

Доктор Рубин позвонила его жене, чтобы объяснить серьезность ситуации. По ее словам, если у него случится остановка сердца, врачи не смогут его спасти. Миссис Белло согласилась на отказ от реанимационных действий.

Улучшение

На следующее утро, 28 марта, медики снизили дозу паралитических препаратов, чтобы проверить его реакцию. Эффект был поразительным. Он проснулся и попытался открыть глаза. Он сжал обе руки доктора Воелкель, кивал да или нет на простые вопросы. И когда медсестры предложили ему перелечь, он поднял большой палец вверх.

«Мы радовались: о боже! Он там!» комментирует Воелкель. Она рассказала о случившемся миссис Белло:

- Пожалуйста, сделайте все, что можете
- Я даю вам слово, что мы делаем все, что можем.

Но через несколько часов, когда действие паралитиков прекратилось, Белло был один в палате. Он немного пошевелился и из-за этого увеличилось давление на вены. Это происходит, когда мы дышим. Но его состояние было слишком нестабильным. Уровень кислорода в крови резко упал.

Врачи быстро накинули на себя защитные костюмы и бросились к нему. Они смогли его стабилизировать, но было очевидно, что это слишком опасно. Белло пришлось снова парализовать для того, чтобы он оставался жив.

Врачи решились на еще один маневр: если добавить еще одну трубку к аппарату для искусственного кровообращения, можно попытаться откачать жидкость из легких. Для этого нужно было остановить аппарат на 30 секунд. Врач Рубин, пульмонолог и специалист по интенсивной терапии комментировала состояние Белло: «Он был настолько слаб, что мы честно думали, он не переживет полминуты без ЭКМО».

После смены врач Воелкел плакала всю дорогу до дома. Ее дети были примерно в таком же возрасте, что и дети Белло: «отчаяние, которое я ощущала, от того, что мы не могли спасти этого человека, было за пределами моего понимания».

Прощание с мужем

Доктор Рубин позвонила миссис Белло и предложила ей навестить своего мужа этой же ночью. Ей только однажды до этого разрешили прийти в больницу. В коридорах отделения было жутко. Она надела защитный костюм и зашла в комнату.

- Я чувствовала, что если просто буду с ним говорить, если я буду говорить часами, возможно, он будет в порядке. Я просто говорила ему, как сильно он нам нужен, он должен бороться, он не может нас оставить.

Ей сказали, что у нее будет 15 минут. Но ей дали больше трех часов. Она продолжала говорить с мужем:

- Я сжимаю твою руку, я держу тебя за руку, я лежу на твоей руке, я дотрагиваюсь до твоей головы.

Через три дня на рентгене появился небольшой просвет в левом легком. Сначала ему было чуть лучше, а потом стало намного лучше.

Рентген снимок легких Джима Белло 4го апреля
Рентген снимок легких Джима Белло 4го апреля

4го апреля, 17ый день пациента на ЭКМО, врач по респираторным заболеваниям Тодд Мовер предложил отключить Белло от оборудования. На следующий день его отключили от ЭКМО, но он все также оставался на ИВЛ. Белло неплохо переносил снижение уровня кислорода, поэтому врачи стали постепенно снижать седативные вещества и паралитики.

Возвращение домой

Несколько дней спустя врачи усадили Белло на кровати, чтобы позвонить его жене по видеосвязи. Она увидела, как он пошевелил ногой. «Я люблю тебя, пошли мне воздушный поцелуй» закричала она. Белло, слабый от седативных препаратов с дыхательной трубкой во рту, провел рукой по лицу, изобразив воздушный поцелуй.

11 апреля, спустя почти месяц после госпитализации мужа, миссис Белло снова говорила с мужем по видеосвязи, но ее дети сидели напротив, чтобы не видеть отца в больнице. «Привет папа, мы просто хотим сказать, чтобы ты продолжал сражаться и с тобой все будет хорошо. Мы тебя очень любим». Белло был слишком слаб, чтобы отреагировать.

Врачи говорят, что не знают, почему Белло выжил. Они полагают, что помогло время.

В некоторых случаях людям становится хуже, когда они долго на ИВЛ, но другие пациенты поправляются. Врачи не знают, сработало ли какое-либо из лекарств.

Возможно, помог и визит его жены. «Она была у его кровати три часа, в это самое тяжелое время. Вы просто не можете недооценивать, насколько что-то такое может оказывать влияние» - комментирует врач Курриер.

14 апреля Белло отключили от аппарата ИВЛ и впервые за 32 дня он начал дышать самостоятельно.

На этот раз, когда ей позвонили из больницы по FaceTime, его жена собрала детей. На экране он прошептал первые слова, которые он смог сказать своей семье за ​​месяц: «Я люблю вас».

Когда его вывозили из реанимации в обычную палату, медперсонал выстроился вдоль коридора и зааплодировал ему. Он махнул.

Джим Белло с семьей после возвращения из больницы
Джим Белло с семьей после возвращения из больницы

Через три дня после отключения от аппарата ИВЛ, его перевели в отделение реабилитации. Белло сказал, что с нетерпением ждет возможности вернуться к работе в качестве адвоката, представляющего интересы медицинских работников: «сегодня я жив благодаря им».

Вскоре после этого, в пятницу днем, Белло вернулся домой.

Источник