Добавить в корзинуПозвонить
Найти в Дзене

Розовая эстетика. Закрытие рецессий зубов.

Когда мы говорим о стоматологии, мы подразумеваем здоровье и красоту зубов. И мало кто задумывается о том, что красивая улыбка невозможна без заботы о деснах. В профессиональной среде стоматологов есть выражение «бело-розовая эстетика». Белая эстетика – красота зубов, розовая эстетика – гармоничная линия десны. Одним из заболеваний, нарушающих розовую эстетику, является рецессия. Рецессия десны - это заболевание, в результате которого оголяется корень зуба: линия десны на верхней челюсти поднимается, на нижней - опускается. На начальных этапах рецессия десны не сильно заметна, но с ее развитием пациенты начинают жаловаться на эстетику линии улыбки. Пожалуй, визуальная составляющая – основная причина обращения к стоматологу для процедуры закрытия рецессии. Однако это не единственная проблема. Рецессия десны также ведет к повышенной чувствительности зубов. Корень зуба пористый, он не может сопротивляться агрессивной среде полости рта. Когда происходит оголение корня, т.е. рецессия, пацие
Когда мы говорим о стоматологии, мы подразумеваем здоровье и красоту зубов. И мало кто задумывается о том, что красивая улыбка невозможна без заботы о деснах. В профессиональной среде стоматологов есть выражение «бело-розовая эстетика». Белая эстетика – красота зубов, розовая эстетика – гармоничная линия десны.

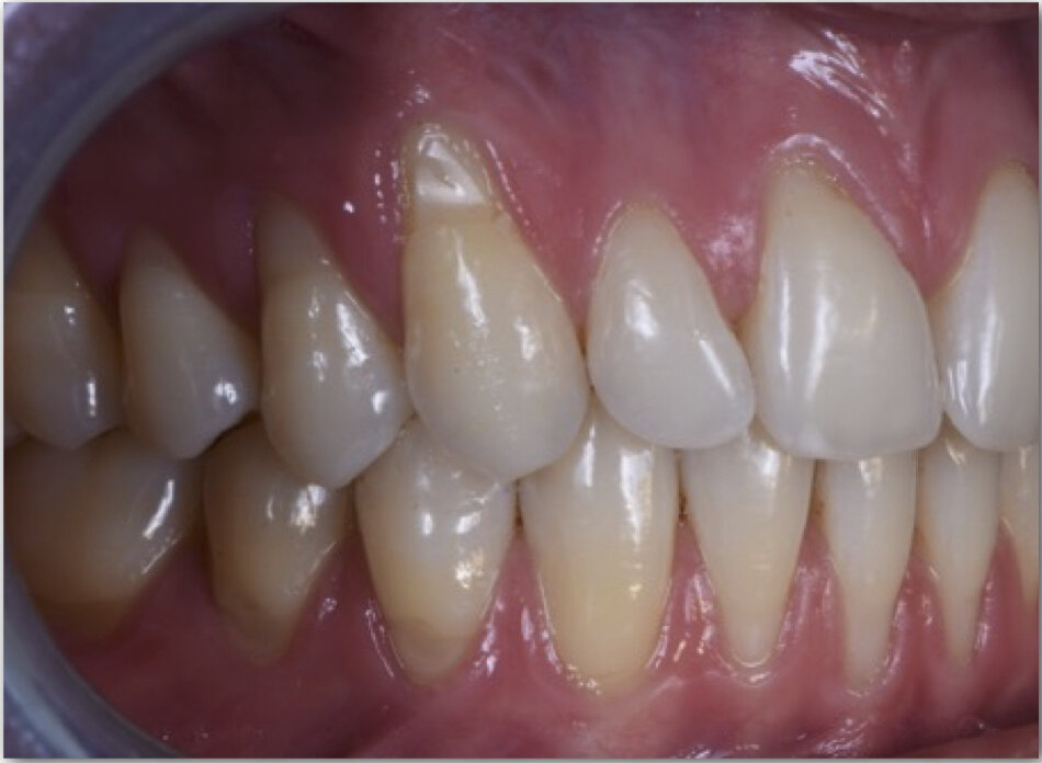
Одним из заболеваний, нарушающих розовую эстетику, является рецессия. Рецессия десны - это заболевание, в результате которого оголяется корень зуба: линия десны на верхней челюсти поднимается, на нижней - опускается.

Рецессии десны
Рецессии десны

На начальных этапах рецессия десны не сильно заметна, но с ее развитием пациенты начинают жаловаться на эстетику линии улыбки. Пожалуй, визуальная составляющая – основная причина обращения к стоматологу для процедуры закрытия рецессии.

Однако это не единственная проблема. Рецессия десны также ведет к повышенной чувствительности зубов. Корень зуба пористый, он не может сопротивляться агрессивной среде полости рта. Когда происходит оголение корня, т.е. рецессия, пациенты начинают испытывать неприятные ощущения: при употреблении определенной пище или перепаде температур.

И нарушение эстетики улыбки, и наличие повышенной чувствительности зубов – это повод обратиться к стоматологу.

Как лечится рецессия десны?

Закрытие рецессии десны – это операция категории пластической микрохирургии полости рта. Мягкие ткани полости рта очень чувствительны и деликатны, поэтому при работе с ними требуется филигранная точность и мастерство.

Микрохирургические инструменты хирурга-стоматолога Копылова Максима Валерьевича для пластики мягких тканей полости рта
Микрохирургические инструменты хирурга-стоматолога Копылова Максима Валерьевича для пластики мягких тканей полости рта

В России первые методики по закрытию рецессий появились в начале нулевых - с нёба брали с участок слизистой и пересаживали в область рецессии, тем самым закрывали ее. Однако операции были более травматичными, болезненными, а эстетический результат не сравним с тем, чего можно добиться сегодня.

Современные методы лечения позволяют сделать лечение максимально комфортным для пациента с наилучшим эстетическим результатом. Максим Валерьевич Копылов является признанным экспертом по работе с мягкими тканями полости рта – он один из немногих выполняет подобные операции, не оставляя шрамов.

Максим Валерьевич чаще всего использует методику своего европейского коллеги профессора Джованни Зукелли, у которого доктор Копылов учился и проходил практику в клинике в Болонье, Италия.

В современном ритме жизни очень важно, чтобы пациент перенес процедуру с максимально безболезненно: не выпадал из активного образа жизни, принимал меньше обезболивающих препаратов. И сегодня это возможно, так как процедура стала более аккуратной. Чем больше мы используем микрохирургию, тем меньше травма, которую мы наносим.

Максим Копылов в своей операционной
Максим Копылов в своей операционной

Во время операции применяется комбинированная анестезия - это сочетание местной анестезии и внутривенной седации - так называемого медикаментозного сна. Таким образом, мы можем провести гораздо больший объем вмешательства, и организм легче реагирует на процедуру.

Недавно своим опытом лечения у Максима Валерьевича в Пародонтологическом центре "MaxTreat" поделилась Тина Канделаки.

В своем блоге на Яндекс.Дзен она рассказала, почему решилась на процедуру, как прошла операция и реабилитационный период.

Читайте полную версию статьи по ссылке:

https://zen.yandex.ru/media/ansaligy/plastika-desen--eto-ne-bolno-zachem-ee-sdelala-tina-kandelaki-5e908e12378f69579230448a