Добавить в корзинуПозвонить
Найти в Дзене
Серый-волк

Как аппараты ИВЛ убивают коронавирусных больных и их врачей

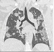
Сейчас для лечения тяжелобольных коронавирусной инфекцией широко применяются аппараты искусственной вентиляции легких (ИВЛ). Однако это оправдано только для лечения больных с неинфекционными заболеваниями сердца и легких. В случае инфекции, особенно такой опасной, как коронавирусная, применение ИВЛ способствует распространению инфекции не только в дыхательных путях больного, но и в помещении, где находится он и медперсонал. Сейчас больных COVID-19 подключают к аппарату ИВЛ в случае выраженной дыхательной недостаточности, то есть когда значительная часть легких уже поражена вирусной пневмонией. КТ-картина при этом выглядит примерно так. На фоне больших пневмонических очагов выявляются не пораженные участки легких. Во время искусственной вентиляции здоровые участки легких получают зараженный вирусами воздух из так называемого «мертвого пространства» (трахея, бронхи) собственной дыхательной системы больного, так и дополнительно из шлангов аппарата ИВЛ. Причем этот воздух нагнетается под д

Сейчас для лечения тяжелобольных коронавирусной инфекцией широко применяются аппараты искусственной вентиляции легких (ИВЛ). Однако это оправдано только для лечения больных с неинфекционными заболеваниями сердца и легких. В случае инфекции, особенно такой опасной, как коронавирусная, применение ИВЛ способствует распространению инфекции не только в дыхательных путях больного, но и в помещении, где находится он и медперсонал.

Сейчас больных COVID-19 подключают к аппарату ИВЛ в случае выраженной дыхательной недостаточности, то есть когда значительная часть легких уже поражена вирусной пневмонией. КТ-картина при этом выглядит примерно так. На фоне больших пневмонических очагов выявляются не пораженные участки легких.

Во время искусственной вентиляции здоровые участки легких получают зараженный вирусами воздух из так называемого «мертвого пространства» (трахея, бронхи) собственной дыхательной системы больного, так и дополнительно из шлангов аппарата ИВЛ. Причем этот воздух нагнетается под давлением, которое способствует расправлению альвеол и уверенно вызывает их заражение вирусом.

-2

Кроме того, все время пребывания тяжелого больного на искусственной вентиляции легких будет сопровождаться активным обсеменением вирусом окружающего пространства, включая палату интенсивной терапии и прилегающую к палате часть коридора. Это происходит благодаря постоянно работающему компрессору аппарата ИВЛ, который усиливает циркуляцию воздуха в помещении. Так быстрее заражается медперсонал, работающий в этой палате. Активной циркуляцией воздуха можно объяснить, в частности, быстрое распространение COVID-19 по каютам круизных кораблей, где есть мощная централизованная вентиляционная система.

Искусственной вентиляцией легких можно продолжить на некоторое время жизнь любого умирающего больного, даже онкологического. Но в случае с коронавирусной инфекцией вентиляция только ускоряет летальный исход. Намного эффективней применение для лечения дыхательной недостаточности у коронавирусных больных кислородной дотации и ЭКМО (экстракорпоральной мембранной оксигенации крови).

Смертельную опасность аппаратов ИВЛ для пациентов с коронавирусом отмечают американские и китайские врачи. Однако эти сведения остаются без внимания медицинских чиновников, которые упорно продолжают закупку этих аппаратов вместе с ядовитым плаквенилом, что прикрывает банальный распил бюджетных денег.