Найти в Дзене
Yellmed.ru

«И пуля не берет»: грудные импланты спасли женщине жизнь

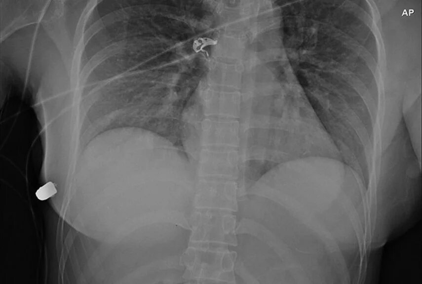
30-летняя жительница Канады не сразу поняла, что случилось. Она шла по улице, когда почувствовала жар и боль в левой части груди, сквозь одежду сочилась кровь. Испуганная женщина направилась в больницу, рассказывает Yellmed со ссылкой на FoxNews. При осмотре пациентки медики обнаружили огнестрельное ранение в левой части грудной клетки. А под кожей на противоположной стороне тела, за правой грудью, прощупывался твердый предмет, похожий на пулю. Взволнованные врачи не могли поверить, что женщина самостоятельно добралась до клиники. Рентген органов подтвердил, что инородный элемент — пуля, пробившая ребро. Компьютерная томография показала ушиб легкого, а также следы осколков. Это значило, что пуля повредила сразу два грудных импланта. Хирурги удалили поврежденные импланты, извлекли пулю 40-го калибра и передали ее полиции. Операция прошла успешно. Позже медики воссоздали путь прохождения снаряда. По словам экспертов, пуля должна была пройти через грудную стенку и, скорее всего, попала бы

30-летняя жительница Канады не сразу поняла, что случилось.

Фото: ScienceAlert
Фото: ScienceAlert

Она шла по улице, когда почувствовала жар и боль в левой части груди, сквозь одежду сочилась кровь. Испуганная женщина направилась в больницу, рассказывает Yellmed со ссылкой на FoxNews.

При осмотре пациентки медики обнаружили огнестрельное ранение в левой части грудной клетки. А под кожей на противоположной стороне тела, за правой грудью, прощупывался твердый предмет, похожий на пулю. Взволнованные врачи не могли поверить, что женщина самостоятельно добралась до клиники.

Рентген органов подтвердил, что инородный элемент — пуля, пробившая ребро. Компьютерная томография показала ушиб легкого, а также следы осколков. Это значило, что пуля повредила сразу два грудных импланта.

Хирурги удалили поврежденные импланты, извлекли пулю 40-го калибра и передали ее полиции. Операция прошла успешно. Позже медики воссоздали путь прохождения снаряда.

По словам экспертов, пуля должна была пройти через грудную стенку и, скорее всего, попала бы прямо в сердце. Но благодаря силиконовому импланту траектория снаряда отклонилась. Пуля пронзила левую сторону, затем срикошетила через грудину вправо и сломала ребро.

«У жуткой истории счастливый конец: пациентка полностью выздоровела», – рассказали эксперты. А вот мотивы стрелявшего и сама его личность до сих пор не раскрыты.

Ранее Yellmed рассказывал о жуке, который защищает людей от аллергии.