Добавить в корзинуПозвонить
Найти в Дзене

Эффективный способ убрать зубной камень

Зубной камень - это отложения, которые есть практически у всех. Они образовываются, как правило, в труднодоступных местах, там, где зубная щетка не справляется. Появляются из-за употребления чая, кофе, а особенно - у тех, кто курит. Стоматологи утверждают, что зубной камень может стать причиной воспаления десен, вызвать пародонтоз и прочие неприятности. Но даже если дело не зайдет так далеко, эти коричневые отложения очень портят внешний вид. Даже если вам кажется, что никто не видит ваши зубы с внутренней стороны, это заблуждения - на расстоянии метра человек заметит и пятна, и полосы на ваших зубах. Конечно, самый простой и безопасный способ вернуть чистоту и белизну улыбке - сходить на профессиональную чистку. Но она дорого стоит. И делать ее рекомендуется не чаще раза в год, а если после чистки вы продолжите курить, пить красящие напитки и пренебрегать гигиеной, в скором времени все станет, как и до чистки. Скажу сразу, я пробовала и соду, и перекись, и соль, и даже кока-колу, но

Зубной камень - это отложения, которые есть практически у всех. Они образовываются, как правило, в труднодоступных местах, там, где зубная щетка не справляется. Появляются из-за употребления чая, кофе, а особенно - у тех, кто курит.

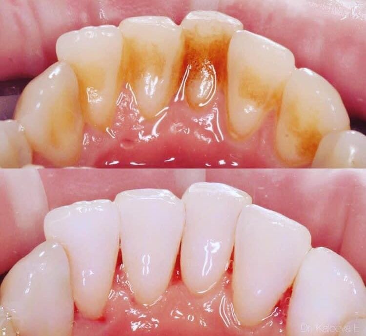
Картинка показывает зубы до и после профессиональной чистки
Картинка показывает зубы до и после профессиональной чистки

Стоматологи утверждают, что зубной камень может стать причиной воспаления десен, вызвать пародонтоз и прочие неприятности. Но даже если дело не зайдет так далеко, эти коричневые отложения очень портят внешний вид. Даже если вам кажется, что никто не видит ваши зубы с внутренней стороны, это заблуждения - на расстоянии метра человек заметит и пятна, и полосы на ваших зубах.

Конечно, самый простой и безопасный способ вернуть чистоту и белизну улыбке - сходить на профессиональную чистку. Но она дорого стоит. И делать ее рекомендуется не чаще раза в год, а если после чистки вы продолжите курить, пить красящие напитки и пренебрегать гигиеной, в скором времени все станет, как и до чистки.

Скажу сразу, я пробовала и соду, и перекись, и соль, и даже кока-колу, но все это было неэффективно. От соды у меня воспалялась слизистая, перекись сделала зубы чувствительными, а солью я расцарапала эмаль.

В итоге, методом проб и ошибок, для себя в вывела простой и безопасный способ привести рот в порядок. Мне помогает обычный сахар!

-2

Его огромный плюс в том что сахар начинает быстро растворяться, и поэтому своими кристаллами не царапает эмаль. Его кристаллики словно обтачиваются под действием воды и щетки, и мягко снимают даже затвердевший и старый налет.

Все проще простого: влажную щетку макаем в сахар и чисти зубы.

Правда, этот способ не подойдет тем. у кого есть дырки в зубах - попадая в них, сахар вызовет боль. А в целом, способ эффективный, безопасный и доступный каждому.

Буду рада вашим комментариям!