Найти в Дзене
Newsline

Как убивает коронавирус?

Добрый день! Многие из нас в настоящее время завалены информацией о covid-19. Знают что это за вирус, каковы его симптомы. Но мало кто знает как именно он убивает наш организм. "[Болезнь] может поражать практически все в организме с разрушительными последствиями", - говорит кардиолог Харлан Крумхольц из Йельского университета в Нью-Хейвене Когда зараженный человек выдыхает вирусные капли, а кто-то другой вдыхает их, новый коронавирус, называемый SARS-CoV-2, попадает в нос и горло. Симптомы могут отсутствовать на этом этапе. Или у новой жертвы вируса может развиться лихорадка, сухой кашель, боль в горле, потеря обоняния и вкуса или боли в голове и теле. Если в этот начальный период ваш иммунитет не справляется, болезнь начинает проникать в лёгкие и возникают осложнения с дыханием. Ниже я приведу схему поражений органов. 6. Зрение. Конъюнктивит глаза, воспаление мембраны, которая выстилает переднюю часть глаза и внутреннее веко, чаще встречается у самых тяжело больных пациентов. 7.

Добрый день!

Многие из нас в настоящее время завалены информацией о covid-19. Знают что это за вирус, каковы его симптомы. Но мало кто знает как именно он убивает наш организм.

"[Болезнь] может поражать практически все в организме с разрушительными последствиями", - говорит кардиолог Харлан Крумхольц из Йельского университета в Нью-Хейвене

Когда зараженный человек выдыхает вирусные капли, а кто-то другой вдыхает их, новый коронавирус, называемый SARS-CoV-2, попадает в нос и горло. Симптомы могут отсутствовать на этом этапе. Или у новой жертвы вируса может развиться лихорадка, сухой кашель, боль в горле, потеря обоняния и вкуса или боли в голове и теле.

Если в этот начальный период ваш иммунитет не справляется, болезнь начинает проникать в лёгкие и возникают осложнения с дыханием.

Ниже я приведу схему поражений органов.

  1. Легкие. Поперечное сечение легких показывает, что иммунные клетки скучивают воспаленную альвеолу, стенки которой разрушаются во время атаки вируса, уменьшая поглощение кислорода. Пациенты кашляют, повышается температура, и чтобы дышать, требуется все больше и больше усилий.
  2. Печень. До половины госпитализированных пациентов имеют уровни ферментов, которые сигнализируют о поражении печени. Иммунная система при перегрузке и лекарства для борьбы с вирусом причиняют немало вреда.
  3. Почки. Повреждение почек часто встречается в тяжелых случаях и повышает вероятность смерти. Вирус может поражать почки напрямую, или почечная недостаточность может быть катализатором падения артериального давления
  4. Желудок. Отчеты и данные биопсии предполагают, что вирус может заразить нижний отдел желудочно-кишечного тракта, который богат рецепторами ACE2. Примерно у 20% или более пациентов, проявляется диарея.
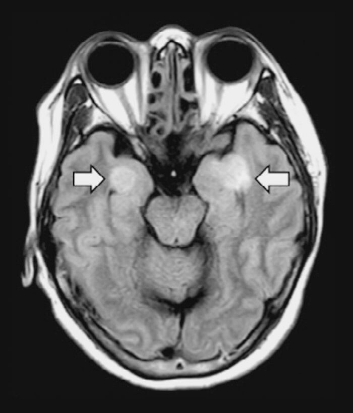
  5. Мозг. У пациентов с COVID-19 наблюдаются инсульты, судороги, спутанность сознания и воспаление мозга. Врачи пытаются понять, что именно из этого вызвано вирусом.
У 58-летней женщины с COVID-19 развился энцефалит, что привело к повреждению тканей головного мозга (стрелки). Н. ПОЯДЖИ  И СОАВТ. ,  РАДИОЛОГИИ , (2020)
У 58-летней женщины с COVID-19 развился энцефалит, что привело к повреждению тканей головного мозга (стрелки). Н. ПОЯДЖИ И СОАВТ. , РАДИОЛОГИИ , (2020)

6. Зрение. Конъюнктивит глаза, воспаление мембраны, которая выстилает переднюю часть глаза и внутреннее веко, чаще встречается у самых тяжело больных пациентов.

7. Нос. Некоторые пациенты теряют обоняние. Ученые предполагают, что вирус может продвигаться по нервным окончаниям носа и повреждать клетки.

8. Сердце и кровеносные сосуды. Вирус проникает в клетки, вероятно, в том числе и в кровеносные сосуды, связывающиеся с рецепторами ACE2 на поверхности клетки. Инфекция может также способствовать образованию тромбов, сердечных приступов и воспалений сердца.

Что именно поражает вирус.
Что именно поражает вирус.

Информация журнала Science.

Будьте здоровы, берегите себя и своих близких.