Добавить в корзинуПозвонить
Найти в Дзене

Флюс на десне — лечение в домашних условиях

Что такое флюс (периостит) Флюс на десне или периостит — это воспаление десны, при котором у основания зуба образуется гнойный мешочек. Визуально флюс выглядит как шишка на десне, наполненная желтым гноем. Шишка сопровождается отёком окружающих тканей зуба и слизистой. Это серьезное заболевание, которое без своевременного и грамотного лечения переходит в острую форму. Периостит сопровождается зубной болью, которая может отдавать в ухо. Почему появляется флюс Чаще всего флюс на щеке появляется в результате инфекционных заболеваний. Причины воспаления разнообразны, поэтому, как только появился флюс, необходимо обратиться к стоматологу. Своевременная диагностика поможет грамотно установить причину заболевания. Основные причины появления флюса на десне: Внешние признаки флюса Чем раньше вы распознаете внешние признаки флюса и обратитесь к врачу, тем больше шансов на быстрое выздоровление без последствий. Самое первое, что можно заметить — это припухлость десны. Сначала она незначительная
Оглавление

Что такое флюс (периостит)

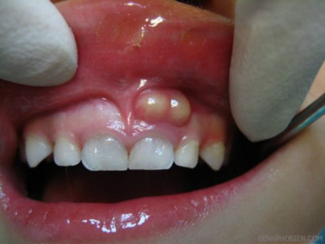
Внешний вид флюса (периостит) на десне.
Внешний вид флюса (периостит) на десне.

Флюс на десне или периостит — это воспаление десны, при котором у основания зуба образуется гнойный мешочек.

Визуально флюс выглядит как шишка на десне, наполненная желтым гноем. Шишка сопровождается отёком окружающих тканей зуба и слизистой.

Это серьезное заболевание, которое без своевременного и грамотного лечения переходит в острую форму.

Периостит сопровождается зубной болью, которая может отдавать в ухо.

Почему появляется флюс

Чаще всего флюс на щеке появляется в результате инфекционных заболеваний. Причины воспаления разнообразны, поэтому, как только появился флюс, необходимо обратиться к стоматологу. Своевременная диагностика поможет грамотно установить причину заболевания.

Основные причины появления флюса на десне:

  • Пульпит — пульпа может воспалиться из-за несвоевременно снятой пломбы или вследствие перегрева при подготовке зуба под коронку. При пульпите пациент ощущает острую боль вдоль всего тройничного нерва.
  • Ангина — воспалительный процесс в горле может стать причиной появления флюса.
  • Периодонтит — серьезное воспаление костной ткани, которое может возникать из-за неграмотного лечения пульпита, недолеченного кариеса и даже гайморита. Осложнением периодонтита является одонтогенная киста.
  • Травмы челюсти — в результате травмы повреждаются десны, слизистая оболочка, и к зубной боли добавляется флюс на щеке.

Внешние признаки флюса

Чем раньше вы распознаете внешние признаки флюса и обратитесь к врачу, тем больше шансов на быстрое выздоровление без последствий. Самое первое, что можно заметить — это припухлость десны. Сначала она незначительная, но достаточно быстро разрастается. К ней добавляется пульсирующая боль, которая усиливается при жевании. Воспаленный участок десны имеет ярко-красный цвет, на ощупь мягкий.

Когда у пациента раздуло щеку, значит, наступила следующая стадия заболевания — абсцесс. При этом начинают опухать близлежащие слизистые оболочки. Если воспаление образовалось на нижней десне, то опухоль распространяется на подчелюстную область, губы и шею. При периостите верхней челюсти опухает область под глазами.

На этой стадии пациенты нередко жалуются на сильную стреляющую боль, которая может отдавать в ухо. Все вышеперечисленные симптомы могут сопровождаться повышением температуры до 39 градусов.

При обнаружении описанных симптомов не откладывайте поход к врачу. Если флюс сопровождается сильной болью и повышенной температурой, то только стоматолог сможет назначить грамотное лечение в зависимости от причины заболевания.

Вам также будет интересно: Перекись водорода от грибка ногтей — лучшие рецепты, реальные отзывы

Формы периостита

Различают несколько форм периостита в зависимости от пути попадания инфекции:

  • Гематогенная — причиной появления флюса являются патогенные микроорганизмы, которые попали в полость рта по кровяному руслу.
  • Одонтогенная — периостит, вызванный разрушением ткани зуба.
  • Лимфогенная — причина заболевания в инфекции, которая занесена лимфатической системой.

По тяжести заболевания различают простой, гнойный и фиброзный периостит:

  • Простой — редко переходит в хроническую форму, лечение проходит быстро и легко. Для простой формы характерна умеренная боль и небольшая припухлость. Чаще всего причиной такого периостита являются травмы челюсти.
  • Гнойный — острая форма заболевания, которая может перейти в хроническую. Сопровождается сильной болью, повышенной температурой и слабостью. Чаще всего причиной являются стрептококк и стафилококк, которых разносит кровеносная система.
  • Фиброзный — в результате перенесенного ревматоидного артрита, флегмоны, остеомиелита и других системных заболеваний может образовываться уплотнение на десне. Флюс сопровождается небольшой болью, и при своевременном лечении основного заболевания проходит самостоятельно. Если же основное заболевание запущено, и лечение не производится, то периостит может переродиться в злокачественное новообразование.

Как лечит флюс стоматолог

При появлении первых признаков флюса необходимо обратиться за консультацией к стоматологу. Он проведет необходимую диагностику, установит причину и скажет, как вылечить заболевание.

Простую форму периостита обычно лечат с помощью полоскания антисептическими препаратами и назначают прием противовоспалительных и обезболивающих средств. При необходимости врач может вскрыть больной зуб и прочистить каналы.

Чаще всего для лечения гнойной формы периостита прибегают к хирургическому вмешательству. Врач делает маленький надрез на десне для удаления гноя. Больной зуб при этом удаляют. После процедуры на больную область прикладывают охлаждающий компресс, который помогает справиться с отеком. Дополнительно врач назначает антибактериальные препараты и антисептические полоскания.

После операции ни в коем случае нельзя греть больное место и принимать Аспирин, так как он может спровоцировать кровотечение.

Хронический периостит как последствие заболеваний внутренних органов, проходит лишь после устранения основной болезни.

Если лечение грамотное и своевременное, то периостит проходит через 5 дней.

Подробнее о флюсе рассказывает врач-стоматолог Елена Пилипенко:

Лечение в домашних условиях

Если при появлении первых признаков флюса сразу приступить к терапевтическим процедурам, можно избежать ряда осложнений и даже вылечить его в домашних условиях. На помощь приходит народная медицина с рецептами отваров для полосканий, компрессов и мазей.

Как снять опухоль

Для снятия опухоли поможет полоскание настоем из лечебных трав.

Настой для снятия опухоли

Ингредиенты:

  • Синеголовник — 20 гр.
  • Шалфей — 20 гр.
  • Горичник — 20 гр.
  • Вода — 400 мл.

Вам также будет интересно: Настойка коры дуба — лучшее средство от недуга

Как приготовить: Залейте травы кипятком, накройте крышкой, утеплите полотенцем и дайте настояться в течение 2−3 часов.

Как использовать: Полощите полость рта остывшим настоем каждые 2−3 часа. Средство можно использовать для примочек.

Результат: Настой снимает болевой синдром, устраняет припухлость и воспаление.

Антибиотики при флюсе

Антибактериальные препараты назначают для лечения гнойной формы периостита. Они помогают предотвратить распространение инфекции и облегчают симптомы болезни. Чаще всего назначают Амоксициллин, Левомицетин, Ципрофлоксацин и Бисептол. Лечение антибактериальными препаратами необходимо проводить исключительно под контролем специалиста. Данные препараты не подходят для самолечения.

Для лечения флюса используют не только антибактериальные таблетки, но также мази и внутримышечные или внутривенные инъекции.

Чем полоскать флюс

Для полоскания полости рта назначают антисептические средства. В домашних условиях можно сделать полоскание с отваром лечебных трав.

Раствор для полоскания

Ингредиенты:

  • Кора дуба — 20 гр.
  • Шалфей — 20 гр.
  • Зверобой — 20 гр.
  • Вода — 1 л.

Как приготовить: Измельчите лекарственные травы, залейте литром кипятка и поставьте на медленный огонь. Доведите до кипения и через 5 минут снимите с плиты, остудите до 35 градусов.

Как использовать: Полощите полость рта отваром через каждые 2−3 часа.

Результат: Этот народный рецепт помогает снять воспаление и уменьшает припухлость.

Компрессы

Компресс эффективно помогает снять болевой синдром и снизить воспаление. Главное правило — он должен быть холодный. Горячий компресс снимет боль, но усилит распространение воспаления.

Компресс от флюса

Ингредиенты:

  • Репчатый лук — 1 шт.
  • Яичный желток — 1 шт.
  • Сахар — 1 чайная ложка.
  • Растительное масло — 1 чайная ложка.

Как приготовить: Разотрите яичный желток с сахаром, выдавите сок из одной маленькой луковицы и соедините с желтком. Добавьте растительное масло и перемешайте.

Как использовать: Смочите в полученной смеси марлевую салфетку и приложите к месту боли на 15−20 минут.

Результат: Средство является отличным антисептиком, эффективно борется с воспалением и помогает снизить опухоль.

Мазь от флюса

Для лечения периостита используют лечебные гели и мази. Чаще всего назначают: Левомеколь, мазь Вишневского и Метрогил дента:

  • Левомеколь — антибактериальная мазь широкого спектра действия. Подходит для лечения гнойной формы периостита. Средство применяют три раза в день. Его наносят на марлевую салфетку и прикладывают к очагу воспаления.
  • Мазь Вишневского — средство снимает зубную боль и останавливает воспалительный процесс. Подходит для применения на начальной стадии заболевания или после вскрытия гнойника. Мазь применяют также, как Левомеколь.
  • Метрогил дента — в составе средства хлоргексидин и метронидазол, которые оказывают антибактериальное действие, снимают боль и устраняют очаг воспаления. Средство наносят непосредственно на десну. В течение получаса после процедуры не рекомендуется пить и принимать пищу, чтобы не смыть препарат.

Вам также будет интересно: Как избавиться от косточки на большом пальце ноги в домашних условиях

Подробнее о народных методах лечения флюса вы узнаете из следующего видео:

Флюс у ребенка

С раннего детства необходимо приучать ребенка к гигиене полости рта, чтобы предупредить возникновение различных заболеваний. Проблемы с зубами могут быть наследственными, поэтому необходимо водить ребенка к стоматологу хотя бы 2 раза в год для поддержания здоровья зубов.

Ни в коем случае не оставляйте на самотек кариес молочных зубов, так как он может спровоцировать появление флюса и распространит воспаление на здоровые зубы. Для того чтобы выявить причину заболевания, необходимо обратиться к специалисту. Врач проведет диагностику и скажет, как убрать флюс. Не занимайтесь самолечением и ни в коем случае не давайте ребенку антибактериальные препараты без назначения врача.

Профилактика флюса

В целях профилактики флюса необходимо соблюдать гигиену полости рта и регулярно посещать стоматолога. Не оставляйте без внимания любую зубную боль, так как она может сигнализировать о начале воспалительного процесса. Если у вас появился кариес, то его необходимо начать лечить как можно быстрее, чтобы он не успел спровоцировать появление периостита.

Чистите зубы дважды в день, ополаскивайте полость рта после каждого приема пищи, меняйте зубную щетку раз в месяц. Важная профилактическая мера — удаление зубного камня, на котором скапливаются бактерии. Зубной камень может привести к появлению кариеса, а впоследствие и флюса.