Найти в Дзене
Звездец

Что такое базофилы и почему они повышены в анализе крови ?

Что такое базофил(ы) и где они вырабатываются ? Базофилы - это клетки крови округлой формы с размером в 10-12 мкм - которые циркулируют в крови. В норме у человека - базофилы: 0 - 0,08 ед*10^9/л. Базофилы образуются в костном мозге.Базофилы являются одним из типов лейкоцитов. Лейкоциты являются основной составной частью иммунной системы. Зачем нужны базофилы нашему организму ? Какую функцию выполняют базофилы в организме человека ? Базофилы необходимы для полноценного иммунного ответа при проникновении к организм инфекции - микробов, бактерий, вирусов, аллергенов. базофилы выделяют гистамин, который отвечат за воспаление при аллергической реакции. Также, базофилы играют важную роль в предотвращении свертывания крови, выделяя гепарин в кровеносное русло. Почему повышены базофилы в крови и что это значит ? В настоящее время известно довольно много причин из-за которых могут быть повышены базофилы в общем анализе крови, такими причинами являются: аллергии: воспаление: мие
Оглавление

Что такое базофил(ы) и где они вырабатываются ?

Базофилы - это клетки крови округлой формы с размером в 10-12 мкм - которые циркулируют в крови. В норме у человека - базофилы: 0 - 0,08 ед*10^9/л.

Базофилы образуются в костном мозге.Базофилы являются одним из типов лейкоцитов. Лейкоциты являются основной составной частью иммунной системы.

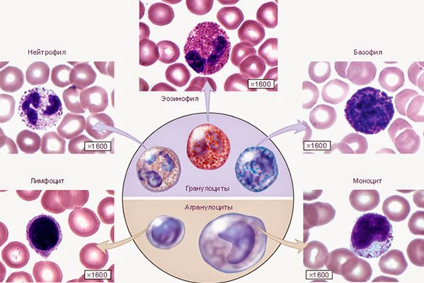
лейкоциты человека
лейкоциты человека

состав крови человека
состав крови человека
Базофил человека
Базофил человека

Зачем нужны базофилы нашему организму ? Какую функцию выполняют базофилы в организме человека ?

Базофилы необходимы для полноценного иммунного ответа при проникновении к организм инфекции - микробов, бактерий, вирусов, аллергенов. базофилы выделяют гистамин, который отвечат за воспаление при аллергической реакции.

Также, базофилы играют важную роль в предотвращении свертывания крови, выделяя гепарин в кровеносное русло.

Почему повышены базофилы в крови и что это значит ?

В настоящее время известно довольно много причин из-за которых могут быть повышены базофилы в общем анализе крови, такими причинами являются:

аллергии:

  • пищевая аллергия
  • лекарственная аллергия
  • лихорадка
  • аллергический ринит

воспаление:

  • воспалительное заболевание кишечника
  • язвенный колит
  • ревматоидный артрит

миелопролиферативные нарушения - состояния, при которых в костном мозге образуется слишком много лейкоцитов, эритроцитов или тромбоцитов:

инфекции:

  • ветрянка
  • туберкулез

Вопросы можете оставить в комментариях под видео.

Также в комментариях под видео имеется ссылка на статью.

При желании можете проконсультироваться со мной по контактам указанным в описании к видео.