Найти в Дзене
Султан Сулейман

Что происходит с легкими людей, когда они получают коронавирус?

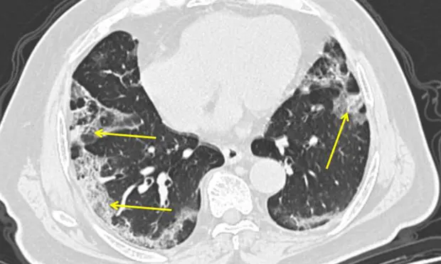
Врач-респиратор Джон Уилсон объясняет диапазон воздействия Covid-19. Это изображение показывает компьютерную томографию мужчины с Covid-19. Пневмония, вызванная новым тяжелым острым респираторным коронавирусом 2, может проявляться как характерные мутные пятна на внешних краях легких, обозначенные стрелками. То, что стало известно как Covid-19 или коронавирус, началось в конце 2019 года как группа случаев пневмонии с неизвестной причиной. Установлено, что причиной пневмонии является новый вирус - тяжелый острый респираторный синдром, коронавирус 2 или Sars-CoV-2. Болезнь, вызванная вирусом - Covid-19. В настоящее время объявленная Всемирной организацией здравоохранения (ВОЗ) пандемией, большинство людей, которые болеют Covid-19, страдают только легкими симптомами, напоминающими простуду. ВОЗ говорит, что около 80% людей с Covid-19 выздоравливают без какого-либо специального лечения. Только один человек из шести серьезно заболел и «с трудом дышит». Итак, как Covid-19 может развиться
Оглавление
Врач-респиратор Джон Уилсон объясняет диапазон воздействия Covid-19. Это изображение показывает компьютерную томографию мужчины с Covid-19. Пневмония, вызванная новым тяжелым острым респираторным коронавирусом 2, может проявляться как характерные мутные пятна на внешних краях легких, обозначенные стрелками.
-2

То, что стало известно как Covid-19 или коронавирус, началось в конце 2019 года как группа случаев пневмонии с неизвестной причиной. Установлено, что причиной пневмонии является новый вирус - тяжелый острый респираторный синдром, коронавирус 2 или Sars-CoV-2. Болезнь, вызванная вирусом - Covid-19.

В настоящее время объявленная Всемирной организацией здравоохранения (ВОЗ) пандемией, большинство людей, которые болеют Covid-19, страдают только легкими симптомами, напоминающими простуду.

ВОЗ говорит, что около 80% людей с Covid-19 выздоравливают без какого-либо специального лечения. Только один человек из шести серьезно заболел и «с трудом дышит».

Итак, как Covid-19 может развиться в более серьезное заболевание с пневмонией, и что это делает с нашими легкими и остальным телом?

Как вирус влияет на людей?

Профессор Джон Уилсон, избранный президент Королевского австралийского колледжа врачей и врач-респиратор.

Он говорит, что почти все серьезные последствия Covid-19 характеризуются пневмонией.

Уилсон говорит, что людей, которые ловят Covid-19, можно разделить на четыре широкие категории.

Наименее серьезными являются те люди, которые являются «субклиническими» и имеют вирус, но не имеют симптомов.

Далее идут те, у кого инфекция верхних дыхательных путей, которая, по словам Уилсона, «означает, что у человека жар и кашель и, возможно, более легкие симптомы, такие как головная боль или конъюнктивит».

Он говорит: «Люди с незначительными симптомами все еще могут передавать вирус, но могут не знать об этом».

Самая большая группа из тех, кто положительно относится к Covid-19, и люди, которые чаще всего обращаются в больницы и на хирургические операции, - это те, у кого появляются те же симптомы гриппа, которые обычно не дают им работать.

У четвертой группы, по словам Уилсона, разовьется тяжелое заболевание с пневмонией.

Он говорит: «В Ухане выяснилось, что из тех, кто дал положительный результат и обратился за медицинской помощью, примерно 6% имели тяжелые заболевания».

ВОЗ говорит, что пожилые люди и люди с такими проблемами, как высокое кровяное давление, проблемы с сердцем и легкими или диабет, с большей вероятностью могут заболеть серьезным заболеванием.

Как развивается пневмония?

У людей с Covid-19 развивается кашель и лихорадка, Уилсон говорит, что это является результатом инфекции, достигающей дыхательного дерева - воздушных каналов, которые проводят воздух между легкими и внешней средой.

Он говорит: "Поверхность дыхательного дерева повреждается, вызывая воспаление". Это в свою очередь раздражает нервы в слизистой оболочке дыхательных путей. Просто пылинка может стимулировать кашель.

Но если это ухудшается, он проходит только через облицовку дыхательных путей и идет к газообменным узлам, которые находятся в конце воздушных проходов.

«Если они заражаются, они отвечают, выливая воспалительный материал в воздушные мешочки, которые находятся на дне наших легких».

Если воздушные мешочки затем воспаляются, Уилсон говорит, что это вызывает «излияние воспалительного материала [жидкости и воспалительных клеток] в легкие, и мы в конечном итоге с пневмонией».

Он говорит, что легкие, которые наполняются воспалительным материалом, не могут получать достаточное количество кислорода в кровь, снижая способность организма поглощать кислород и избавляться от углекислого газа.

«Это обычная причина смерти от тяжелой пневмонии», - говорит он.

Как можно лечить пневмонию?

Профессор Кристина Дженкинс, председатель Lung Foundation Australia и ведущий врач-респиратор, сказала: «К сожалению, пока у нас нет ничего, что могло бы остановить людей, болеющих пневмонией Covid-19.

«Люди уже опробуют все виды лекарств, и мы надеемся, что мы обнаружим, что существуют различные комбинации вирусных и противовирусных препаратов, которые могут быть эффективными. На данный момент не существует какого-либо установленного лечения, кроме поддерживающего лечения, которое мы даем людям в отделении интенсивной терапии.

«Мы проветриваем их и поддерживаем высокий уровень кислорода, пока их легкие не смогут нормально функционировать, восстанавливаясь».

Уилсон говорит, что пациенты с вирусной пневмонией также подвержены риску развития вторичных инфекций, поэтому их также будут лечить антивирусными препаратами и антибиотиками.

«В некоторых ситуациях этого недостаточно», - говорит он о текущей вспышке. «Пневмония не ослабла, и пациенты не выжили».

Отличается ли пневмония Covid-19?

Дженкинс говорит, что пневмония Covid-19 отличается от наиболее распространенных случаев, по которым люди попадают в больницы.

«Большинство известных нам типов пневмонии, к которым мы обращаемся в больницу, являются бактериальными и реагируют на антибиотик.

Уилсон говорит, что есть доказательства того, что пневмония, вызванная Covid-19, может быть особенно серьезной. Уилсон говорит, что случаи коронавирусной пневмонии имеют тенденцию поражать все легкие, а не только маленькие части.

Он говорит: «Как только у нас есть инфекция в легких и, если она затрагивает воздушные мешки, то реакция организма - сначала попытаться уничтожить [вирус] и ограничить его размножение».

Но Уилсон говорит, что этот «механизм первого реагирования» может быть нарушен в некоторых группах, включая людей с заболеваниями сердца и легких, диабетом и пожилых людей.

Дженкинс говорит, что, как правило, люди в возрасте 65 лет и старше подвержены риску заболеть пневмонией, а также люди с такими заболеваниями, как диабет, рак или хроническое заболевание, поражающее легкие, сердце, почку или печень, курильщики, коренные австралийцы и дети в возрасте до 12 месяцев и младше.

«Возраст является основным показателем риска смерти от пневмонии. Пневмония всегда серьезна для пожилого человека и фактически была одной из основных причин смерти среди пожилых людей. Сейчас у нас очень хорошие методы лечения пневмонии.

«Важно помнить, что независимо от того, насколько вы здоровы и активны, риск заболеть пневмонией возрастает с возрастом. Это потому, что наша иммунная система естественным образом ослабевает с возрастом, и нашим организмам становится все труднее бороться с инфекциями и болезнями ».