Найти в Дзене
Доктор Аникин

Как выглядят пораженные китайской заразой легкие

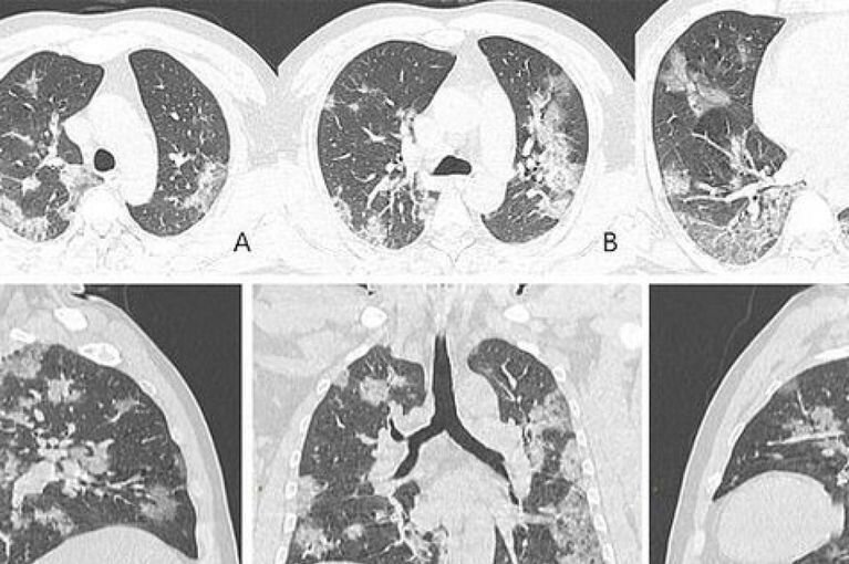
Шокирующие рентгеновские снимки 44-летнего пациента из Китая, умершего от китайской заразы, показывают, что эта болезнь делает с человеческими легкими. Перед нами самое опасное осложнение вируса, переходящего в тяжелую пневмонию. Опубликованы рентгеновские снимки и компьютерная томография 44-летнего китайского пациента. По ним хорошо видно, как именно вирус разрушает легочную ткань. По утверждениям медиков, повреждения похожи на те, что обнаруживались в легких жертв атипичной пневмонии и ближневосточного респираторного синдрома. Китаец поступил в больницу в декабре 2019 года, поскольку около двух недель у него наблюдался сильный кашель и высокая температура. По итогу врачи диагностировали пневмонию и острый респираторный дистресс-синдром. Помочь пациенту не удалось, он скончался неделю спустя. На фото видны все увеличивающиеся со временем белые пятна в нижней части дыхательных органов. Радиологи называют это симптомом "матового стекла", который отражает различные патологические изме
Снимок лёгких зараженного пациента
Снимок лёгких зараженного пациента

Шокирующие рентгеновские снимки 44-летнего пациента из Китая, умершего от китайской заразы, показывают, что эта болезнь делает с человеческими легкими. Перед нами самое опасное осложнение вируса, переходящего в тяжелую пневмонию.

Томография зараженного пациента
Томография зараженного пациента

Опубликованы рентгеновские снимки и компьютерная томография 44-летнего китайского пациента. По ним хорошо видно, как именно вирус разрушает легочную ткань. По утверждениям медиков, повреждения похожи на те, что обнаруживались в легких жертв атипичной пневмонии и ближневосточного респираторного синдрома.

Китаец поступил в больницу в декабре 2019 года, поскольку около двух недель у него наблюдался сильный кашель и высокая температура. По итогу врачи диагностировали пневмонию и острый респираторный дистресс-синдром. Помочь пациенту не удалось, он скончался неделю спустя.

На фото видны все увеличивающиеся со временем белые пятна в нижней части дыхательных органов. Радиологи называют это симптомом "матового стекла", который отражает различные патологические изменения в легочной ткани.

Отмечается, что на фото заметно присутствие жидкости в легких мужчины, которое постепенно становится все более выраженным (проследить можно по изображению).

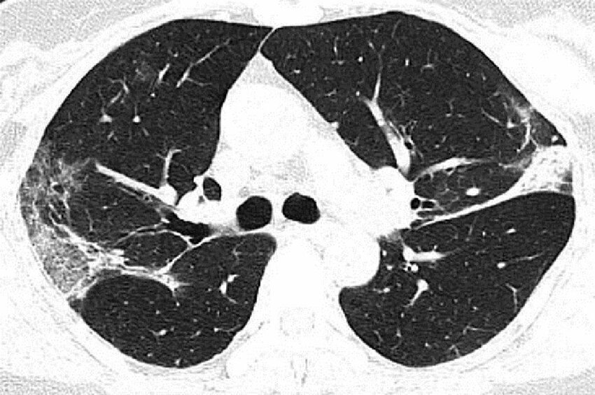
Лёгкие зараженного пациента
Лёгкие зараженного пациента