Найти в Дзене

Обострение Неспецифического Язвенного Колита (НЯК) после беременности и родов во время грудного вскармливания

-"Вот родишь и похудеешь.." -"После родов организм омолаживается.." -"После рождения ребенка болеть некогда.." Кто слышал из Вас подобные байки? Мне вот доводилось. А конкретно речь пойдет об обострении после родов язвенного колита. Примечание : Статью я пишу для мамочек, которые столкнулись с обострением подобной болячки и не знают, смогут ли войти в ремиссию и сохранить грудное вскармливание Язвенный колит, или неспецифический язвенный колит (НЯК) — хроническое воспалительное заболевание слизистой оболочки толстой кишки, возникающее в результате взаимодействия между генетическими факторами и факторами внешней среды, характеризующееся обострениями.  По моему мнению беременность, роды, продолжительное кормление грудью изматывают организм женщины настолько, что начинают,в той или иной мере, обостряться все хронические заболевания. А для мамы кормящей грудью это становится настоящей проблемой, так как лечится обычно используемыми препаратами уже не представляется возможным без вреда для

-"Вот родишь и похудеешь.."

-"После родов организм омолаживается.."

-"После рождения ребенка болеть некогда.."

Кто слышал из Вас подобные байки?

Мне вот доводилось. А конкретно речь пойдет об обострении после родов язвенного колита.

Примечание : Статью я пишу для мамочек, которые столкнулись с обострением подобной болячки и не знают, смогут ли войти в ремиссию и сохранить грудное вскармливание

Язвенный колит, или неспецифический язвенный колит (НЯК) — хроническое воспалительное заболевание слизистой оболочки толстой кишки, возникающее в результате взаимодействия между генетическими факторами и факторами внешней среды, характеризующееся обострениями. 
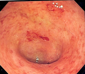
Так выглядит кишечник при воспалении
Так выглядит кишечник при воспалении

По моему мнению беременность, роды, продолжительное кормление грудью изматывают организм женщины настолько, что начинают,в той или иной мере, обостряться все хронические заболевания. А для мамы кормящей грудью это становится настоящей проблемой, так как лечится обычно используемыми препаратами уже не представляется возможным без вреда для ребенка. А заболевание надо сказать, даёт о себе знать очень тяжёлыми и неприятными проявлениями:

  • Учащенный стул с обилием крови и слизи (извините за подробности)
  • Потеря аппетита (а конкретно человек уже начинает бояться есть, чтобы меньше проявлялся первый пункт)
  • Боль в животе, чаще всего слева (а конкретно в моем случае справа, так что все протекает индивидуально)
  • Общая слабость и снижение веса
  • Боли в суставах

Купируются все эти симптомы диетой номер 4 и медикаментозным лечением. Лично меня диета не спасала, и, так как я кормила ребенка грудью, остро встал вопрос о прекращении грудного вскармливания и принятия курса медикаментов. Слава богу, я попала на прием к опытному врачу гастроэнтерогу и нам удалось прийти к ремиссии,а мне продолжить кормить ребенка. Перерыв во время ГВ все равно пришлось сделать,так как нужно принимать антибиотики (подбираются врачом индивидуально),пребиотики, и убойные дозы месалазина (применяется ли лечении всех больных НЯК):

Месалазин, англ. Mesalazine, 5-аминосалициловая кислота — фармацевтическая субстанция, действующее вещество лекарственных средств; противовоспалительное кишечное средство, применяется при лечении неспецифического язвенного колита 

Во время приема лекарств, курсами по десять дней, я сцеживалась, ребенок временно был переведен на искусственное вскармливание. Как обстоит дело на сегодняшний момент? Дочке 9,5 месяцев, грудное вскармливание сохранено, придя к ремиссии один раз в день я использую ректальный суппозитории с месалазином в 500 мг. и не переставаю пить пребиотики. Данные из интернета:

Месалазин плохо абсорбируется в кишечнике, особенно если введение ректально; уровни в плазме очень низкие, и он проходит в небольшом количестве до молока...
Никаких проблем не было описано более чем у 120 младенцев матерей, которые принимали Mesalazine (Xu 2017, Moretti, 1989), за исключением одного изолированного случая диареи (Ito 1993, Nelis 1989, Branski 1986).

Я ни в коем случае не призываю женщин столкнувшихся с той же проблемой следовать моим советам. Рекомендую искать хорошего гастроэнтеролога и, желаю Вам войти в стойкую ремиссию.

Подписывайтесь, ставьте лайки.. Спасибо за внимание😘