Найти в Дзене
Микробы рулят!

Почему пневмония это не только Covid-19

Мне задали вопрос: нужно ли привиться от пневмонии? И поможет ли это от ковида?
Разберемся с понятиями. Пневмония - это воспаление легких, которые обусловлено бактериями и вирусами и повреждает альвеолы.
Какие существуют методы борьбы с возбудителями? И какие прививки могут помочь в борьбе с пневмониями.
Оглавление

Мне задали вопрос: нужно ли привиться от пневмонии? И поможет ли это от ковида? 

Пневмония как синдром

Наверное необходимо сначала разобраться с понятиями. Возьмем доступное определение из Википедии.

Пневмони́я (др.-греч. πνευμονία — «болезнь лёгких», от др.-греч. πνεύμων — «лёгкое»), воспаление лёгких — воспаление лёгочной ткани, как правило, инфекционного происхождения с преимущественным поражением альвеол (развитием в них воспалительной экссудации)
Термин «пневмония» объединяет большую группу болезней, каждая из которых имеет свою этиологию, патогенез, клиническую картину, рентгенологические признаки, характерные данные лабораторных исследований и особенности терапии.
Это очень хорошо, когда можно просто поставить диагноз. Все фото by Canva
Это очень хорошо, когда можно просто поставить диагноз. Все фото by Canva

Поэтому пневмония — это синдром, который складывается из нескольких основных симптомов:

1. Жалобы пациента: кашель, с мокротой или без неё, одышка, чувство нехватки воздуха

2. Объективный осмотр: притупление перкуторного звука и крепитирующие хрипы в легких

3. Рентген и КТ: наличие инфильтрации в легочной ткани.

Как показали последние месяцы, первых 2-х признаков может и не быть.

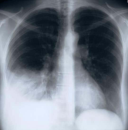
Видна область затемнения в легких.
Видна область затемнения в легких.

Бактерии и вирусы — доля участия 

Как говорил профессор А.Е. Эссель: «Вирус выносит приговор, а бактерии приводят его в исполнение».

Существует много бактерий — возбудителей пневмонии. Это и пневмококки, и кишечные палочки, и клебсиеллы. Большинство возбудителей классических инфекций могут протекать с поражением легких. 

С вирусами немного сложнее. Мы знаем, что есть респираторные вирусы, но только часть из них сразу повреждает лёгкие. Опасность вирусных пневмоний в том, что бактериальная инфекция присоединиться практически всегда. 

И в первую очередь за счёт микробов, которые живут в ротовой и носовой полостях, тех кто живёт на слизистой гортани и даже трахеи (если сильно не повезло с состоянием эпителия). Туда же присовокупим микробов из больных зубов и тех, кто с током крови разносится по организму и оседает в лёгких. 

Растущая антибиотикорезистентность вызывает большую настороженность и опасения у клиницистов.
Растущая антибиотикорезистентность вызывает большую настороженность и опасения у клиницистов.

И про прививку от пневмонии 

Теперь собственно про прививку. Из выше написанного ясно, что можно сделать прививку от конкретного возбудителя. Например, пневмококка, гриппа, БЦЖ (туберкулез ведь тоже специфическая пневмония). Но невозможно обезопасить себя от пневмонии. Потому что возбудителей множество и от большинства — вакцин не существует. 

Если сделать взрослому прививку от пневмококка, то 50% успеха обеспечено. Потому что к половине пневмоний у взрослых причастен именно этот микроб. Особенно, если есть сопутствующие заболевания, которые ослабляют иммунную систему человека. 

В отношении прививки от ковида, уже писала и ещё раз скажу, что в ближайшее время вакцины не будет. А если она появится, то я, несмотря ни на что, не смогу её рекомендовать. Потому что любой препарат должен пройти свои стадии клинических испытаний. 

А такое ускоренное желание заработать деньги — дискредитирует сам метод вакцинопрофилактики. 

Я за полноценные исследования и против "скороспелок"
Я за полноценные исследования и против "скороспелок"

Про инфекции, микроорганизмы и вакцины читайте на канале Микробы рулят! 

Новости в моем инстаграме.