Найти в Дзене

Акупунктурная точка, с помощью которой можно "настраивать" артериальное давление и ритм сердца

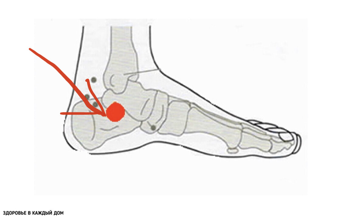
Здравствуйте, дорогие читатели! Сегодня хотелось бы поговорить о такой замечательной вещи, как китайская медицина. Наверное, ни для какого не секрет, что на данный момент в мире, она является одной из лучших. Уступая, наверное, лишь Германии. У китайцев была и до сих пор существует медицинская наука, которая основана на акупунктурных точек. Однако самостоятельно научиться о ней очень сложно и довольно-таки опасно, поскольку можно по незнанию навредить себе. Но, если несколько безопасных точек, с которыми взаимодействовать сможет любой новичок. Сегодня об этом и пойдет речь! На наших ногах есть несколько акупунктурных точек и одна из них называется — Чжао-Хай. Она отвечает за ваше артериальное давление и ритм сердца. Многие могут в это не поверить, но это так. Через данную точку проходят сосуды, которые соединяются с сердцем, поэтому она действительно работает. Конкретное местоположение — стопа, под внутренней лодыжкой. Если вы немного разбираетесь в медицине, то должны знать, что воз

Здравствуйте, дорогие читатели! Сегодня хотелось бы поговорить о такой замечательной вещи, как китайская медицина. Наверное, ни для какого не секрет, что на данный момент в мире, она является одной из лучших. Уступая, наверное, лишь Германии. У китайцев была и до сих пор существует медицинская наука, которая основана на акупунктурных точек. Однако самостоятельно научиться о ней очень сложно и довольно-таки опасно, поскольку можно по незнанию навредить себе. Но, если несколько безопасных точек, с которыми взаимодействовать сможет любой новичок. Сегодня об этом и пойдет речь!

На наших ногах есть несколько акупунктурных точек и одна из них называется — Чжао-Хай. Она отвечает за ваше артериальное давление и ритм сердца. Многие могут в это не поверить, но это так. Через данную точку проходят сосуды, которые соединяются с сердцем, поэтому она действительно работает. Конкретное местоположение — стопа, под внутренней лодыжкой.

Если вы немного разбираетесь в медицине, то должны знать, что воздействие на сердце может влиять в целом на весь организм, поэтому Чжао-Хай также помогает и при других проблемах. Например, при напряжении глаз, болезнях горла или слизистой. Помогает справляться с бессоницей.

-2

Так как же научиться воздействовать с этой точкой? Все до банального просто. Хоть и в профессиональной медицине используют либо прокалывания, либо прожигания. Мы будем массажировать! Да, простой массаж. После того, как бы обнаружим эту точку, нам всего лишь нужно будет ее помассировать. В целом хватает около 45 раз. Поскольку ноги у вас две, то и точек таких же тоже. Следовательно, на каждую ногу делаем по 45 раз. После этого, вы наверняка сможете почувствовать себя лучше. 

Главное не забывать что нужно проделывать это каждый день. Не нужно переусердствовать, но и забывать также не стоит.

Друзья! Если статья вам понравилась, то обязательно оцените ее. Напишите комментарий, или поставьте лайк. Можете подписаться на канал. Так я пойму, что статья вам понравилась!