Найти в Дзене
krdzhyan

Поражения мозга при COVID-19

Это осложнение имеет грозное название «острая геморрагическая некротизирующая энцефалопатия», что можно перевести на «человеческий» язык как острое поражение тканей мозга с участками кровоизлияний и некроза. Действительно, для COVID-19 характерно осложнение в виде вирусной пневмонии, развивающееся из-за особой «любви» вируса к тканям легких, а вот неврологические проявления до этого еще не описывались ни разу. Острая геморрагическая некротизирующая энцефалопатия, в целом, иногда встречается при вирусных заболеваниях и развивается скорее не из-за попадания вируса в мозг, а из-за поражения гемато-энцефалического барьера и так называемого цитокинового шторма – бесконтрольной гиперактивации иммунной системы. Подобные явления встречаются очень редко, но уж если развиваются, то представляют собой тяжелейшее осложнение вплоть до летального исхода. К сожалению, предугадывать их сложно. Пациентка, о которой идет речь в описании клинического случая, в течение 50 лет работала в авиакомпании. Он

Это осложнение имеет грозное название «острая геморрагическая некротизирующая энцефалопатия», что можно перевести на «человеческий» язык как острое поражение тканей мозга с участками кровоизлияний и некроза. Действительно, для COVID-19 характерно осложнение в виде вирусной пневмонии, развивающееся из-за особой «любви» вируса к тканям легких, а вот неврологические проявления до этого еще не описывались ни разу.

Острая геморрагическая некротизирующая энцефалопатия, в целом, иногда встречается при вирусных заболеваниях и развивается скорее не из-за попадания вируса в мозг, а из-за поражения гемато-энцефалического барьера и так называемого цитокинового шторма – бесконтрольной гиперактивации иммунной системы. Подобные явления встречаются очень редко, но уж если развиваются, то представляют собой тяжелейшее осложнение вплоть до летального исхода. К сожалению, предугадывать их сложно.

Пациентка, о которой идет речь в описании клинического случая, в течение 50 лет работала в авиакомпании. Она обратилась к врачу с жалобами на кашель, подъем температуры и спутанность сознания в последние три дня. При госпитализации у нее подтвердился SARS-CoV-2 по мазку из зева (ПЦР). Учитывая жалобы со стороны нервной системы, ей сделали люмбальную пункцию и взяли для анализа церебро-спинальную жидкость (ЦСЖ). Бактериальный посев ЦСЖ, анализы на вирус простого герпеса 1 и 2, вирус ветряной оспы и вирус лихорадки оказались отрицательными, а вот анализ ЦСЖ на SARS-CoV-2 по каким-то причинам «оказалось невозможным провести» .

Ей провели компьютерную томографию без контраста, КТ-ангио- и венографию (с введением контрастного вещества), а также магнитно-резонансную томографию с контрастированием. Со стороны сосудов головного мозга никаких изменений не наблюдалось, чего нельзя было сказать про мозговое вещество.

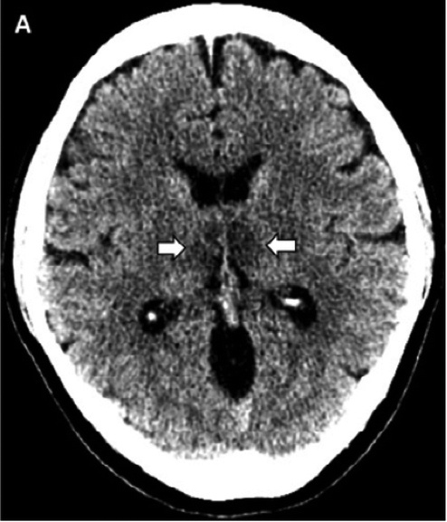
КТ головного мозга пациентки. Стрелочками показаны поражения таламусов (гиподенсные зоны). Credit: Brent Griffith et al. / Radiology 2020
КТ головного мозга пациентки. Стрелочками показаны поражения таламусов (гиподенсные зоны). Credit: Brent Griffith et al. / Radiology 2020

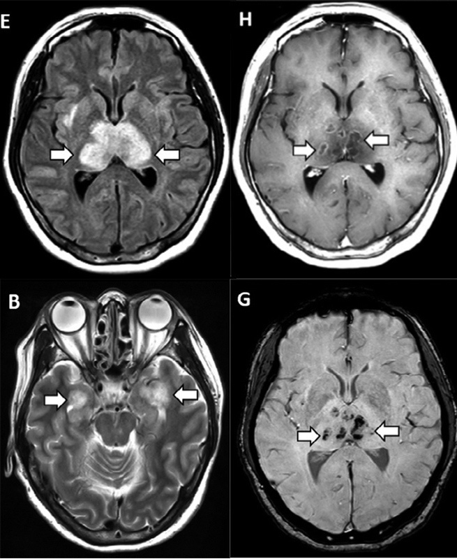
И на КТ, и на МРТ было выявлено симметричное поражение таламусов, на МРТ также обнаружили поражение медиальных отделов височных долей и субостровковых областей. При введении контрастного вещества наблюдалось его кольцевидное накопление, что говорило о нарушении в местах поражения мозговой ткани гемато-энцефалического берьера. Причем, в этих же местах обнаруживались мелкие кровоизлияния.

МРТ головного мозга пациентки. На снимках стрелочками показаны поражения талмудов (Е), медиальных отделов височных долей (B), кровоизлияния (черные точки, G) и кольцевидное накопление контрастного препарата (кольцевидные светлые участки, Н). Credit: Brent Griffith et al. / Radiology 2020
МРТ головного мозга пациентки. На снимках стрелочками показаны поражения талмудов (Е), медиальных отделов височных долей (B), кровоизлияния (черные точки, G) и кольцевидное накопление контрастного препарата (кольцевидные светлые участки, Н). Credit: Brent Griffith et al. / Radiology 2020

Из-за дыхательных нарушений, которые наблюдались у больной, ей не назначили высокие дозы стероидов, как это обычно делают в подобных случаях, а решили обойтись внутривенным введением иммуноглобулина.

Стоит отметить, что это – довольно типичная картина острой геморрагической некротизирующей энцефалопатии. К другим, более редким, областям поражения относят мозжечок, ствол мозга или глубокое белое вещество больших полушарий (здесь мы видим преимущественно субкортикальные поражения). Но в контексте пандемии COVID-19 подобные клинические случаи необходимы, чтобы и рентгенологи, и клиницисты мозгли обратить внимание на возможные симптомы поражения со стороны нервной системы.

Источник: http://neuronovosti.ru/porazheniya-mozga-pri-covid-19/