Добавить в корзинуПозвонить
Найти в Дзене
Мои воспоминания

Как я заболел вирусной двухсторонней пневмонией

Ничего не предвещало беды. Я учился в университете, никого в группе с пропажей на длительный срок по болезни не наблюдалось. Более того, я не переохлаждался и не дышал холодным воздухом. Ничего примечательного, в общем, не было. Жил как обычно и не тужил. Пока в один день у меня не поднялась температура выше 39 градусов. И началось... Я давно не болел гриппом, поэтому подумал, что это он. Дело в том, что у меня не было насморка и боли в горле, как при обычном ОРЗ. А кости ломило по всему телу так, что "будь здоров". Прошло 5 дней постельного режима. Как я заболел вирусной двухсторонней пневмонией Температура держалась выше 38,5 градусов стабильно. Сбивал периодически жаропонижающими, когда уже было невмоготу терпеть. Благо у меня мама врач-терапевт с 30-летним стажем. На 5-ый день она забила тревогу. Договорилась в поликлинике с рентгенологом и мне без очереди "по блату" сделали рентген. В поликлинику добирался на такси, предварительно сбив температуру. Рентген показал двухстороннюю п
Оглавление

Ничего не предвещало беды. Я учился в университете, никого в группе с пропажей на длительный срок по болезни не наблюдалось. Более того, я не переохлаждался и не дышал холодным воздухом. Ничего примечательного, в общем, не было. Жил как обычно и не тужил. Пока в один день у меня не поднялась температура выше 39 градусов. И началось...

Я давно не болел гриппом, поэтому подумал, что это он. Дело в том, что у меня не было насморка и боли в горле, как при обычном ОРЗ. А кости ломило по всему телу так, что "будь здоров".

Прошло 5 дней постельного режима.

"Ой, ё!"
"Ой, ё!"

Как я заболел вирусной двухсторонней пневмонией

Температура держалась выше 38,5 градусов стабильно. Сбивал периодически жаропонижающими, когда уже было невмоготу терпеть.

Благо у меня мама врач-терапевт с 30-летним стажем. На 5-ый день она забила тревогу. Договорилась в поликлинике с рентгенологом и мне без очереди "по блату" сделали рентген.

В поликлинику добирался на такси, предварительно сбив температуру.

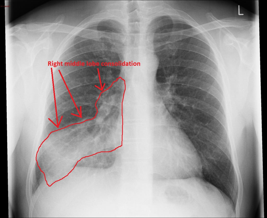
Вот так может выглядеть пневмония на рентгене
Вот так может выглядеть пневмония на рентгене

Рентген показал двухстороннюю пневмонию

Моя мама сама назначила мне антибиотики, начав с самых слабых. Она объяснила мне, что сильные нельзя сразу, потому что мне ещё жить и жить, а у меня выработается резистентность ко всем антибиотикам младших групп, которые мне ещё пригодятся в жизни.

Вот если назначенные антибиотики не помогут, то будем переходить на более сильные.

Через 3 дня приёма антибиотиков мне стало значительно лучше. Температура спала.

За 2 недели я полностью выздоровел

Мама сказала, что если бы я жил в первой половине ХХ века или раньше, то меня бы уже не было в живых. Дело в том, что антибиотики массово стали применять только после ВОВ.

На мой вопрос: "Откуда это воспаление лёгких у меня взялось?" мама ответила: "Очевидно, что это вирусной этиологии, ведь ты же по морозу не бегал, либо ты чего-то не договариваешь". Я ничего не скрывал. Я действительно не припомнил какого-то безответственного поведения за последние несколько недель перед болезнью. Только странно было, от кого же я эту пневмонию подцепил?

Вот такая история из моей жизни!

Будьте здоровы!

И не забудьте поддержать канал лайком!

ПОДПИСЫВАЙТЕСЬ НА МОИ ВОСПОМИНАНИЯ